Mittellinienverlagerung

Die Mittellinienverlagerung (auch Mittellinienshift) ist die Verschiebung des Gehirns über die Mittellinie des Schädels.[1] Sie wird durch eine Raumforderung verursacht und kann mittels Schnittbildgebung dargestellt werden. Als Zeichen eines deutlich erhöhten Hirndrucks ist sie allgemein ein ungünstiges prognostisches Zeichen. Die Therapie erfolgt, abhängig von der Schwere der Verschiebung und der Ursache, mit abschwellenden Medikamenten und/oder einer chirurgischen Entlastung.
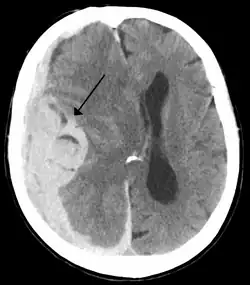
Bildgebung

Eine Mittellinienverlagerung kann bildgebend dargestellt werden, dabei kommen vor allem schnittbildgebende Verfahren wie die Computertomografie (CT) und Magnetresonanztomographie (MRT) zum Einsatz.[1] Das CT ist Goldstandard in der Diagnostik,[2] weist jedoch nur eine Sensitivität von etwa 81 % und eine Spezifität von etwa 43 % für das Vorliegen von erhöhtem Hirndruck auf.[3]
Die Mittellinienverschiebung wird üblicherweise in Millimeter seitlicher Abweichung gemessen.
Ursachen
Jeder ausreichend raumfordernde Prozess im Schädel kann durch einen erhöhten Hirndruck eine Mittellinienverlagerung verursachen. In erster Linie tritt sie im Rahmen schwerer Schädel-Hirn-Traumata,[4][5] Hirnblutungen,[2] Schlaganfällen (insbesondere dem malignen Mediainfarkt),[6] Hirntumoren und Abszessen[7] oder dem begleitenden Ödem auf.[8]
Klinik
Eine Mittellinienverlagerung ist ein Zeichen für einen kritisch hohen Hirndruck gesehen und ist mit ungünstigeren Prognosen assoziiert.[9][10]
Die Therapie hängt vom Grad der Verschiebung und der Ursache des erhöhten Hirndrucks ab. Bei Schädel-Hirn-Traumata stellt eine Mittellinienverlagerung von mehr als 5 mm in der Regel die Indikation zur akuten operativen Entlastung.[4][5]
Anmerkungen
- ↑ Rechts und links werden in der Medizin aus Patientensicht angegeben. Die rechte Seite befindet sich im Bild links und umgekehrt.
Einzelnachweise
- ↑ a b Chun-Chih Liao, Ya-Fang Chen, Furen Xiao: Brain Midline Shift Measurement and Its Automation: A Review of Techniques and Algorithms. In: International Journal of Biomedical Imaging. Band 2018, 2018, ISSN 1687-4188, S. 1–13, doi:10.1155/2018/4303161, PMID 29849536, PMC 5925103 (freier Volltext).
- ↑ a b Jane J. Kim, Alisa D. Gean: Imaging for the Diagnosis and Management of Traumatic Brain Injury. In: Neurotherapeutics. Band 8, Nr. 1, Januar 2011, S. 39–53, doi:10.1007/s13311-010-0003-3, PMID 21274684, PMC 3026928 (freier Volltext).
- ↑ Shannon M Fernando, Alexandre Tran, Wei Cheng et al.: Diagnosis of elevated intracranial pressure in critically ill adults: systematic review and meta-analysis. In: BMJ. 24. Juli 2019, ISSN 0959-8138, S. l4225, doi:10.1136/bmj.l4225, PMID 31340932, PMC 6651068 (freier Volltext).
- ↑ a b S2e-Leitlinie Schädel-Hirn-Trauma im Erwachsenenalter der Deutsche Gesellschaft für Neurochirurgie. In: AWMF online (Stand Dezember 2015)
- ↑ a b S2k-Leitlinie Schädel-Hirn-Trauma im Kindes- und Jugendalter der Deutsche Gesellschaft für Neonatologie und pädiatrische Intensivmedizin. In: AWMF online (Stand Februar 2022)
- ↑ S2e-Leitlinie Akuttherapie des ischämischen Schlaganfalls der Deutschen Gesellschaft für Neurologie. In: AWMF online (Stand 10/2022)
- ↑ S1-Leitlinie Hirnabszess der Deutsche Gesellschaft für Neurologie. In: AWMF online (Stand Januar 2021)
- ↑ S1-Leitlinie Intrakranieller Druck (ICP) der Deutsche Gesellschaft für Neurologie. In: AWMF online (Stand Februar 2023)
- ↑ EC Husson, GM Ribbers, AHP Willemse-van Son et al.: Prognosis of six-month functioning after moderate to severe traumatic brain injury: a systematic review of prospective cohort studies. In: Journal of Rehabilitation Medicine. Band 42, Nr. 5, 2010, ISSN 1650-1977, S. 425–436, doi:10.2340/16501977-0566 (medicaljournalssweden.se [abgerufen am 9. Februar 2024]).
- ↑ James W. Bales, Robert H. Bonow, Richard G. Ellenbogen: Closed Head Injury. In: Principles of Neurological Surgery. Elsevier, 2018, ISBN 978-0-323-43140-8, S. 366–389.e4, doi:10.1016/b978-0-323-43140-8.00025-1 (elsevier.com [abgerufen am 9. Februar 2024]).