Milzruptur
| Klassifikation nach ICD-10 | |
|---|---|
| S36.0 | Verletzung der Milz |
| ICD-10 online (WHO-Version 2019) | |
Die Milzruptur ist eine Verletzung (Riss) der Milz, meist durch ein stumpfes Bauchtrauma. Spontane Rupturen der Milz ohne Trauma sind selten und kommen bei speziellen Infektionskrankheiten oder hämatologischen Erkrankungen vor, die mit einer abnormen Vergrößerung der Milz (Splenomegalie) einhergehen. Die Behandlung der Milzruptur erfolgt meist operativ, gelegentlich kann konservativ behandelt werden. Hierbei wird einer organerhaltenden Therapie nach Möglichkeit der Vorzug vor einer Entfernung der Milz gegeben.
Ursachen
Die häufigste Ursache der Milzruptur ist das stumpfe Bauchtrauma, z. B. bei Arbeits-, Verkehrs- oder Sportunfällen. Typisch sind der Sturz auf den Fahrrad- oder Motorradlenker oder auf den Skistock. Auch ein schwerer Schlag oder Tritt in die Bauchgegend kann zu einem Milzriss führen. Bei mehrfachverletzten Patienten ist die Milzruptur häufig die akut bedrohlichste Komponente der Verletzungen im Bauchraum. Als Begleitverletzung können Rippenbrüche im linken unteren Brustkorbbereich vorliegen. Direkte, perforierende Verletzungen, beispielsweise durch Stich- oder Schusswunden, sind seltener. Perforierende Verletzungen können aber auch durch Einspießung stark verschobener, gebrochener Rippen entstehen.
Iatrogene, also durch ärztliche Maßnahmen entstandene Milzverletzungen können bei größeren Bauchoperationen vorkommen. Es handelt sich dabei in der Regel um oberflächliche Kapseleinrisse durch Zug am Magen oder an der linken Flexur des Dickdarms oder aber um Quetschungen durch Einsatz von Bauchhaken.
Neben den traumatischen Milzrupturen kommen selten auch nichttraumatische, sogenannte Spontanrupturen der Milz vor, bei denen es durch ein rasches Anschwellen der Milz zu Kapselrissen mit Blutungen in die Umgebung kommen kann. Ursächlich hierfür kommen Infektionen, z. B. die Mononukleose, Milztumoren, z. B. maligne Lymphome und Angiome, oder die Pfortaderthrombose in Betracht.
Formen und Schweregrade
Das Parenchym der Milz ist von einer zarten bindegewebigen Kapsel umhüllt, die bei entsprechender Krafteinwirkung zerreißen kann. Das Parenchym selbst ist schon bei der gesunden Milz sehr weich und ausgesprochen gut durchblutet. Das Organ ist somit in erster Linie durch seine Lage weit hinten im Bauchraum durch die stabilen Strukturen der Wirbelsäule und der unteren Rippen vor Verletzungen geschützt.
Es kommen unterschiedliche Formen der Verletzung vor: Der reine Kapseleinriss ohne Verletzung des Parenchyms führt in der Regel nur zu geringen Sickerblutungen aus der freiliegenden Parenchymfläche. Sind Kapsel und Parenchym eingerissen, hängt die Schwere der Blutung von der Tiefe des Risses und der gleichzeitigen Verletzung von Blutgefäßen in der Milz ab. Zu sehr schweren, akut lebensbedrohlichen Blutungen (Splenorrhagie) kommt es bei Rissen in der Nähe des Milzhilus, also der vom Pankreasschwanz in die Milz eintretenden Blutgefäße, bei mehrfacher Fragmentierung der Milz und bei hilusnahen Abrissen der Milz.
In einigen Fällen kommt es erst mit deutlicher Verzögerung zur Blutung aus der Milz: Bleibt bei Einrissen des Parenchyms ein Kapseleinriss vorerst aus, dann entwickelt sich ein zunehmender Bluterguss innerhalb der Kapsel („subkapsuläres Hämatom“). Bei zunehmendem Druck reißt die Kapsel dann nach Tagen, im Extremfall auch nach mehreren Wochen, auf und es kommt zur Blutung in den Bauchraum. In diesen Fällen wird von einer zweizeitigen Milzruptur gesprochen, entsprechend wird die Milzruptur mit sofortiger Blutung als einzeitige Milzruptur bezeichnet.[1]
Da diese unterschiedlichen Verletzungsformen direkten Einfluss auf die Prognose und das chirurgische Vorgehen haben, werden fünf Schweregrade unterschieden:
- Grad 1: Kapselrisse, subkapsuläres nicht expandierendes Hämatom
- Grad 2: Verletzung von Kapsel und Parenchym ohne Verletzung von Segmentarterien
- Grad 3: Verletzung von Kapsel, Parenchym und Segmentarterien
- Grad 4: Verletzung von Kapsel, Parenchym und Segment- oder Hilusgefäßen, Abriss des Gefäßstiels
- Grad 5: Ausriss des Organs im Milzhilus mit Devaskularisation (Unterbrechung der Gefäßversorgung)
Symptome und Diagnostik


Der erste Hinweis auf das Vorliegen einer Milzruptur ergibt sich oft bereits aus der Anamnese: Jede stumpfe Verletzung des linken Oberbauches oder der linken Flanke kann mit einer Milzruptur einhergehen. Bei leichteren Verletzungen mit geringer Blutung finden sich unspezifische Oberbauchschmerzen, ein Druckschmerz im Epigastrium, Klopfschmerz im Bereich der linken Flanke und linksseitige atemabhängige Beschwerden. Oft wird von den Patienten eine Schmerzausstrahlung in die linke Schulter (Kehr-Zeichen) angegeben. Die Reizung des Zwerchfells und somit des Nervus phrenicus durch Blutung oder Kapselhämatom führt zu Schmerzen in der linken Halsseite (Saegesser-Zeichen).
Bei höheren Verletzungsgraden mit starker Blutung treten die Zeichen des drohenden oder manifesten Volumenmangelschocks in den Vordergrund: Beschleunigter Puls bei erniedrigtem Blutdruck (Tachykardie und Hypotonie), beschleunigte Atmung (Tachypnoe bis hin zur Hyperventilation), blasse, kalte und kaltschweißige Haut, Angst und Unruhe. Eine zunehmende Bewusstseinstrübung infolge des cerebralen Sauerstoffmangels zwingt zu sofortigen lebensrettenden Maßnahmen.
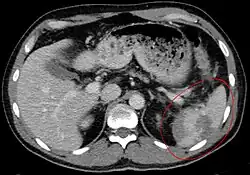
Die apparative Basisdiagnostik bei einem Verdacht auf Milzruptur ist die Sonographie der Bauchorgane. Der Nachweis von freier Flüssigkeit gelingt damit bereits bei kleinen Mengen, gröbere Parenchymverletzungen der Milz oder große subkapsuläre Hämatome lassen sich ebenfalls darstellen. Bei unauffälligem sonographischem Befund aber klinisch weiter bestehendem Verdacht muss die Untersuchung engmaschig wiederholt werden, um eine zweizeitige Ruptur oder ein zunehmendes Kapselhämatom nicht zu übersehen. Röntgenaufnahmen des Thorax und des Abdomens erbringen keine weiteren Hinweise auf das Vorliegen einer Milzruptur, werden aber zum Ausschluss weiterer Verletzungen (beispielsweise Rippenfrakturen mit Pneumothorax) durchgeführt. Bei stabilen Kreislaufverhältnissen kann eine Computertomographie des Abdomens genaueren Überblick über das Ausmaß der Milzverletzung geben. Die noch bis in die 1990er Jahre regelmäßig durchgeführte Peritoneallavage ist mittlerweile wegen ihrer hohen Fehlerquote nicht mehr gebräuchlich.
Laborchemische Untersuchungen dienen in erster Linie der Abschätzung des Blutverlustes (Hämoglobin, Erythrozytenzahl, Hämatokrit) und der allgemeinen Beurteilung von Organfunktionen (Niere, Leber etc.). Die Blutgasanalyse gibt Auskunft über die Sauerstoffsättigung des Blutes und zeigt gegebenenfalls bei zunehmendem Schock eine Übersäuerung des Blutes (Azidose). Im Blutbild zeigt sich bei Milzrupturen regelhaft eine hochgradige Steigerung der Leukozytenzahl.
Therapie
Das therapeutische Vorgehen wird in erster Linie durch den Schweregrad der Ruptur bestimmt. Während noch bis in die 1980er Jahre eine Milzruptur nahezu ausschließlich durch die Entfernung der Milz (Splenektomie) behandelt wurde, macht die Verbesserung der konservativen Blutungskontrolle mittlerweile eine differenziertere Therapie unter dem Gesichtspunkt der Organerhaltung möglich.
Rupturen 1. Grades können unter engmaschiger Kontrolle des sonografischen Befundes, der Kreislaufparameter und des Blutbildes oft konservativ behandelt werden, da diese Läsionen sich im Rahmen der körpereigenen Blutstillung (Hämostase) verschließen und abheilen können. Alle übrigen Schweregrade bedürfen einer operativen Intervention.
Das grundsätzliche Ziel des operativen Vorgehens ist der Erhalt der Milz. Hierzu kann bei den Schweregraden 2 und 3 mittels Infrarot- beziehungsweise Elektrokoagulation und Fibrinkleber oft eine Blutstillung erzielt werden, zusätzlich kann die Milz in ein resorbierbares Kunststoffnetz eingehüllt und damit komprimiert werden. Beim Schweregrad 4 kann durch eine Teilresektion manchmal ein funktionstüchtiger Teil der Milz erhalten werden, während beim 5. Grad nur die Splenektomie in Betracht kommt.
Die Auswahl des geeigneten operativen Vorgehens hängt allerdings nicht nur vom Schweregrad der Verletzung ab. Während bei Kindern und Jugendlichen eine Organerhaltung mit allen Mitteln versucht wird, kommt im höheren Alter eher die Splenektomie zum Einsatz. Der Grund liegt zum einen in der geringeren Komplikationsrate (Postsplenektomie-Syndrom) bei Erwachsenen, zum anderen in häufig vorliegenden Begleiterkrankungen, die das Risiko intra- oder postoperativer Komplikationen bei langwierigen Erhaltungsversuchen mit hohem Blutverlust steigen lassen. Auch ungünstige anatomische Verhältnisse, wie sie zum Beispiel bei ausgeprägtem Übergewicht (Adipositas) vorliegen, können die Entscheidung in Richtung der einfacher durchführbaren Splenektomie lenken.[1]
Komplikationen
Nach organerhaltender Therapie treten in der Regel keine spezifischen Komplikationen auf. In der Frühphase sind unspezifische Operationskomplikationen wie Nachblutung, Wundinfektion oder Thrombosen, ggf. mit Lungenembolie möglich.
Frühe postoperative Komplikationen der Splenektomie sind in erster Linie Komplikationen der Atmungsorgane: Pneumonie, Atelektasen, Pleuraergüsse. In etwa 1–3 % der Fälle treten Pankreasfisteln durch unerkannt gebliebene Verletzungen des Pankreasschwanzes auf.[1] Nach Splenektomie kann es zu einer erhöhten Infektanfälligkeit, in 1–5 % der Fälle auch zu einem gefährlichen Postsplenektomie-Syndrom, einer foudroyant verlaufenden Sepsis, kommen.[2] Außerdem neigen Patienten nach Splenektomie aufgrund der ansteigenden Thrombozytenzahlen vermehrt zum Auftreten thromboembolischer Ereignisse.
Literatur
- Souza-Offtermatt, Staubach u. a.: Intensivkurs Chirurgie. Elsevier/Urban & Fischer, München 2004, ISBN 3-437-43490-X, S. 474 ff.
- J. R. Siewert, R. B. Brauer: Basiswissen Chirurgie. 2. Auflage. Springer, Berlin – Heidelberg 2010, ISBN 3-642-12379-1, Kap. 7.17 Milz, S. 330 ff.
- H. Emminger, T. Kia: Exaplan: das Kompendium der klinischen Medizin. 6. Auflage. Band 2. Urban & Fischer bei Elsevier, Stuttgart – Berlin 2009, ISBN 3-437-42463-7, Kap. 28 Milz, S. 547 ff.
Weblinks
Einzelnachweise
- ↑ a b c J. R. Siewert: Chirurgie. 7. Auflage. Springer, Berlin – Heidelberg 2010, ISBN 3-540-30450-9, 37 Milz, S. 760 ff.
- ↑ D. Reinhard: Therapie der Krankheiten im Kindes- und Jugendalter. 8. Auflage. Springer, Berlin – Heidelberg 2007, ISBN 3-540-71898-2, Kap. 56.9 Splenektomie, S. 709 (Vorschau auf google books [abgerufen am 27. Juli 2011]).