Midichloria
| Midichloria | ||||||||||||
|---|---|---|---|---|---|---|---|---|---|---|---|---|
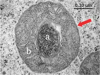
TEM-Aufnahme von „Ca. M. mitochondrii“ (a) im Mitochondrium einer Eizelle des Gemeinen Holzbocks (Ixodes ricinus: Schildzecken); | ||||||||||||
| Systematik | ||||||||||||
| ||||||||||||
| Wissenschaftlicher Name | ||||||||||||
| Candidatus Midichloria | ||||||||||||
| Sassera et al. 2006 |




„Candidatus Midichloria“ (informell kurz Midichloria) ist eine Kandidaten-Gattung gramnegativer, nicht endosporenbildender Bakterien. Ihre Zellen sins stäbchenförmig mit einem Durchmesser von ca. 0,45 μm und einer Länge von ca. 1,2 μm. Die Stämme der erstmals 2004 unter dem vorläufigen Namen „Ixodes ricinus endosymbiont 1“ (IricES1) beschriebene Typusart „Candidatus Midichloria mitochondrii“ sind Symbionten mehrerer Arten von Schildzecken (Familie Ixodidae) wie z. B. dem Gemeinen Holzbock (Ixodes ricinus), Ixodes holocyclus,[1] Ixodes uriae und Rhipicephalus bursa.[2] Sie leben in den Zellen des Eierstocks (Ovarien) der Weibchen dieser Zeckenarten, wo sie in den Mitochondrien dieser Wirtszellen beobachtet wurden. Dieses Phänomen wurde zuvor bei keinem anderen Symbionten von Tieren beschrieben.[3]
Parasitismus
„Candidatus Midichloria“-Bakterien scheinen die von ihnen parasitierten Mitochondrien als Energiequelle zu nutzen und von den dort vorzufindenden Substanzen zu leben und für ihre Vermehrung zu nutzen. Die genaue Beziehung dieser Symbionten zu ihrem Wirt war 2006 noch nicht bekannt, obwohl die bei manchen Schildzecken 100-prozentige Prävalenz in den Weibchen der Wirtszecken deutete auf eine mutualistische Beziehung hin.[3] Obwohl es keine Beweise dafür gibt, dass die bis zu 20 Bakterienzellen in den Mitochondrien der Schildzecke Rhipicephalus bursi schädliche Auswirkungen auf den Wirt haben, wurde die Prävalenz in R. bursi 2008 auf 33 % bei Weibchen und 14 % bei Männchen geschätzt. Dies könnte darauf hindeuten, dass die Beziehung möglicherweise komplizierter ist als bis dato angenommen.[2] Bei Gemeinen Holzbock (Ixodes ricinus) waren 2004 zwischen 10 und 20 Bakterienarten bekannt, die schädliche Auswirkungen auf ihren Wirt haben, was die Annahme nahelegt, dass auch „Ca. Midichloria mitochondrii“ seinen Wirt parasitiert, indem dieses Bakterium die Mitochondrien aufbraucht (verkonsumiert).[4]
Systematik
Bis 2024 war in dieser Gattung ist nur eine Kandidatenspezies, die Typusart „Ca. Midichloria mitochondrii“, bekannt.[5] Zinnia Judith Molina-Garza et al. identifizierten im Februar 2024 einen für seinen Zeckenwirt nicht pathogenen Stamm als weiteres Mitglied der Gattung (Spezies „Ca. Midichloria massiliensis“).[6] Metagenomik-Untersuchungen haben jedoch das Vorhandensein verwandter Bakterien in anderen Zeckenarten, sowie in anderen blutsaugenden Arthropoden nachgewiesen, was auf die Möglichkeit einer horizontalen Übertragung dieser Bakterien (Spillover) hindeutet.[7]
Äußere Systematik
Für die Kandidatengattung wurde eine eigene Familie, „Candidatus Midichloriaceae“ Montagna et al. 2013, innerhalb der Ordnung Rickettsiales eingerichtet.[8] Die hier angegebene Liste der Midichloriaceae-Gattungen folgt, wo nicht anders angegeben, der List of Prokaryotic names with Standing in Nomenclature (LPSN), Stand 12. September 2024:[9]
Familie „Candidatus Midichloriaceae“ Montagna et al. 2013(G,N)
- Gattung „Ca. Anadelfobacter“ Vannini et al. 2010(G,N) – in der LPSN ein nicht-klassifiziertes Mitglied der Rickettsiales
- Gattung „Ca. Aquirickettsia“ corrig. Klinges et al. 2019 „Ca. Aquarickettsia“ Klinges et al. 2019(G,N)
- Gattung „Ca. Bandiella“ Senra et al. 2016(G,N)
- Gattung „Ca. Cyrtobacter“ Vannini et al. 2010(G,N)
- Gattung „Ca. Defluviella“ Boscaro et al. 2013(N)
- Gattung „Ca. Euplotella“ Boscaro et al. 2019(N)
- Gattung „Ca. Fokinia“ Szokoli et al. 2016(G,N)
- Gattung „Ca. Grelliella“ corrig. Gruber-Vodicka et al. 2019 [„Ca. Grellia“ Gruber-Vodicka et al. 2019]
- Gattung „Ca. Jidaibacter“ Schulz et al. 2016(G,N)
- Gattung „Ca. Lariskella“ Matsuura et al. 2012(N)
- Spezies „Ca. Lariskella arthropodorum“ corrig. Matsuura et al. 2012 [„Ca. Lariskella arthropodarum“ Matsuura et al. 2012(N), Uncultured Rickettsiales bacterium 'Montezuma'[10][11][12]] – Endosymbiont von Nysius plebeius Distant, 1883 (Bodenwanzen)
- Referenzstamm NpLaMto
- Spezies „Ca. Lariskella guizhouensis“ Lu et al. 2022(N)[10]
- Stämme QDN-15, QDN-20, QDN-22, QDN-26[10]
- Spezies „Ca. Lariskella arthropodorum“ corrig. Matsuura et al. 2012 [„Ca. Lariskella arthropodarum“ Matsuura et al. 2012(N), Uncultured Rickettsiales bacterium 'Montezuma'[10][11][12]] – Endosymbiont von Nysius plebeius Distant, 1883 (Bodenwanzen)
- Gattung „Ca. Midichloria“ Sassera et al. 2006 – Details s. u.(G,N)
- Gattung „Pseudolyticum“ Boss et al. 1987(N)
Nur in der NCBI-Taxonomie gelistet:
- Gattung „Ca. Nicolleia“ Matsumoto et al. 2006(N)
- Spezies „Ca. Nicolleia massiliensis“ Matsumoto et al. 2006(N)[13][14][1][15][16] – Fundort: Frankreich, Wirt: Gemeiner Holzbock (Ixodes rizinus); diese Spezies ist möglicherweise identisch mit „Ca. Midichloria massiliensis“ (s. u.), die ihrerseits nur in der LPSN geführt wird; der Gattungsname „Ca. Nicolleia“ wäre dann ein Synonym von „Ca. Midichloria“.[A. 2]
- … (weitere Kandidaten)
Anmerkungen:
- (G) – nach der Genome Taxonomy Database (GTDB)[17]
- (N) – nach der Taxonomie des National Center for Biotechnology Information (NCBI)[18]
Artenliste
Ebenfalls nach der LPSN, gehören mit Stand 11. September 2024 folgende Mitglieder zu der Kandidatengattung:[19]
Gattung „Candidatus Midichloria“ Sassera et al. 2006[5]
- „Ca. Midichloria massiliensis“ Molina-Garza et al. 2024[6][20] – Mitteldarm-Mikrobiota in Schildzecken (Amblyomma maculatum) von Weißwedelhirschen (Odocoileus virginianus) aus Nordmexiko und dem Gemeinen Holzbock (Ixodes ricinus)
- „Ca. Midichloria mitochondrii“ Sassera et al. 2006 [Ixodes ricinus endosymbiont 1[21]] (Typusart)[5][14][16] – Wirt: Gemeiner Holzbock (Ixodes ricinus), Ixodes holocyclus,[1] beschränkt auf Eierstock-Zellen; ursprünglicher Fundort: Italien
- Referenzstamm IricES1[15] alias IrES1[21] – Wirt: Gemeiner Holzbock (Ixodes ricinus), Italien
- Stamm IricVA[22][23] – Gemeiner Holzbock (Ixodes ricinus), beschränkt auf Eierstock-Zellen eines adulten Weibchens, bei Varese, Italien
- Stamm IRE19[1] [BDE/CTVM14[24](N)[25]][A. 3]
- Stamm BDE14[1] [IRE/CTVM19[24](N)[26]][A. 3]
- Midichloria sp030060845(G) [Ca. Midichloria sp. isolate IholoSidney(N)]
- Referenzstamm IholoSidney – Wirt: Ixodes holocyclus str. Sidney, Eierstock-Zellen; Sydney, Australia:
- Midichloria sp030073355(G) [Ca. Midichloria sp. isolate HscuESP(N)]
- Referenzstamm HscuESP – Wirt: Hyalomma scupense str. ESP, Eierstock-Zellen; La Rioja, Spanien
Anmerkungen:
- (G) – nach der Genome Taxonomy Database (GTDB)[27]
- (N) – nach der Taxonomie des National Center for Biotechnology Information (NCBI)[7]
Etymologie
Der Name dieser Bakteriengattung „Ca. Midichloria“ leitet sich ab von den fiktiven Midi-Chlorianern im fiktiven Universum der Filmreihe Star Wars ab; dort eine symbiotische, mikroskopische Lebensform, die es den Wesen ermöglicht, mit „der Macht“ zu kommunizieren.[5]
- Das Art-Epitheton massiliensis ist das lateinische Adjektiv massiliensis und bedeutet ‚aus Marseille‘ oder ‚zu Marseille gehörig‘[19]
- Das Art-Epitheton mitochondrii ist neulateinischer Genitiv von mitochondrium, altgriechisch μίτοχονδρίον mitochondrion und bedeutet ‚des Mitochondriums‘.[19]
Wirte
„Ca. M. mitochondrii“ ist ein gramnegativer intrazellulärer Symbiont, den seine Wirte „vertikal“ an ihre Nachkommen vererben. Wirte sind Schildzecken, hauptsächlich der Gemeine Holzbock (Ixodes ricinus) und der Golfküstenzecke (Amblyomma maculatum, englisch Gulf Coast tick).[20]
Genom
Das Genom von „Ca. M. mitochondrii“ wurde von einem internationalen wissenschaftlichen Konsortium sequenziert, das sich aus Forschern der Universität Mailand, der Universität Sydney, der Universität Valencia, der Universität Pavia und der Universität Mailand-Bicocca zusammensetzte (Veröffentlichung 2011).[22]
Das Genom ist 1,2 Mbp (Megabasenpaare) groß und ähnelt in den meisten Merkmalen den Genomen anderer Rickettsiales-Mitglieder; mit zwei bemerkenswerten Ausnahmen: Das Genom von „Ca. M. mitochondrii“ enthält die Gensätze für die Synthese der Geißel (Flagellum) und die Cytochrom-c-Oxidase cbb3. Dies lässt vermuten, dass der gemeinsame Vorfahr der Rickettsiales bereits über eine Geißel zur Fortbewegung verfügt hat.[22]
Phylogenetische Position
| Schematische rRNA-Phylogenie der Alphaproteobakterien | |||||||||||||||||||||||||||||||||||||||||||||||||||||||||||||||||||||||||||
|---|---|---|---|---|---|---|---|---|---|---|---|---|---|---|---|---|---|---|---|---|---|---|---|---|---|---|---|---|---|---|---|---|---|---|---|---|---|---|---|---|---|---|---|---|---|---|---|---|---|---|---|---|---|---|---|---|---|---|---|---|---|---|---|---|---|---|---|---|---|---|---|---|---|---|---|
| |||||||||||||||||||||||||||||||||||||||||||||||||||||||||||||||||||||||||||
| Das Kladogramm der wurde 2013 von Ferla et al. aus dem Vergleich der 16S- und 23S-rRNA-Sequenz abgeleitet[23] |
Ein neueres Kladogramm nach Hördt et al. findet sich bei Iodidomonas §Phylogenie. Die Proto-Mitochondrien entspringen dort der oben mit ‚※‘ gekennzeichneten Klade, zu der auch die ihnen dort am nächsten stehende Ordnung Iodidimonadales gehört.[28] Zuvor wurde allgemein angenommen, dass die Rickettsiales die nächsten Verwandten der Mitochondrien sind.
Anmerkungen
- ↑ 1. Zeile: vor der Dotter-Erzeugung (engl. previtellogenic phase), 2. Zeile frühe, 3. Zeile mittlere, 4. Zeile: späte Dottererzeugung (engl. vitellogenic phase).
- ↑ Auch die bei Najm (2012) in Fig. 1 angegebene Phylogenie sprechen für eine Synonymisierung, Nicolleia massiliensis liegt dort in einer Klade von Stämmen von Ca. Midichloria mitochondrii.[1]
- ↑ a b Offenbar wurden die beiden Stämme IRE19 und BDM14 an irgendeiner Stelle verwechselt.
Weiterführende Literatur
- Nathan Lo, Tiziana Beninati, Luciano Sacchi, Claudio Bandi: An alpha-proteobacterium invades the mitochondria of the tick Ixodes ricinus. In: Kostas Bourtzis, Thomas A. Miller (Hrsg.): Insect Symbiosis, Band 2, CRC Press, Boca Raton, 23. Juni 2006; doi:10.1201/9781420005936 (Buch), doi:10.1201/9781420005936-6 (Kapitel), ResearchGate:299637723 (der hier angegebene Kapitel-DOI ist fehlerhaft) – (englisch).
- Francesco Comandatore, Giacomo Radaelli, Sebastiano Montante, Luciano Sacchi, Emanuela Clementi, Sara Epis, Alessandra Cafiso, Valentina Serra, Massimo Pajoro, Domenico Di Carlo, Anna Maria Floriano, Fabrizia Stavru, Claudio Bandi, Davide Sassera: Modeling the Life Cycle of the Intramitochondrial Bacterium “Candidatus Midichloria mitochondrii” Using Electron Microscopy Data. In: ASM Journals: mBio, Band 12, Nr. 3; 22. Juni 2021; doi:10.1128/mbio.00574-21, PMC 8262999 (freier Volltext), PMID 34154402 (englisch).
- Fabrizia Stavru, Jan Riemer, Aaron Jex, Davide Sassera: When bacteria meet mitochondria: The strange case of the tick symbiont Midichloria mitochondrii. In: Cellular Microbiology, Band 22, Nr. 4, 2020, S. e13189; doi:10.1111/cmi.13189, HAL-Pasteur:03103198 (englisch).
- Zerrin Uzum, Dmitry Ershov, Michael J. Pavia, Adeline Mallet, Olivier Gorgette, Olivier Plantard, Davide Sassera, Fabrizia Stavru: Three-dimensional images reveal the impact of the endosymbiont Midichloria mitochondrii on the host mitochondria. In: Nature Communications, Band 14, Nr. 4133, 12. Juli 2023; doi:10.1038/s41467-023-39758-x (englisch).
- Melina Garcia Guizzo, Tereza Hatalová, Helena Frantová, Ludek Zurek, Petr Kopáček, Jan Perner: Ixodes ricinus ticks have a functional association with Midichloria mitochondrii. In: Frontiers in Cellular and Infection Microbiology, Sec. Bacteria and Host, Band 12, 2022, Research Topic: Tick-Borne Pathogens and their Interactions with Ticks; doi:10.3389/fcimb.2022.1081666, PMC 9868949 (freier Volltext), PMID 36699720, Epub 9. Januar 2023 (englisch).
- Romain Daveu, Cindy Laurence, Agnès Bouju-Albert, Davide Sassera, Olivier Plantard: Symbiont dynamics during the blood meal of Ixodes ricinus nymphs differ according to their sex. In: Ticks and Tick-borne Diseases, Band 12, Nr. 4, Juli 2021; doi:10.1016/j.ttbdis.2021.101707 (englisch).
- Khemraj Budachetri, Deepak Kumar, Gary Crispell, Christine Beck, Gregory Dasch, Shahid Karim: The tick endosymbiont Candidatus Midichloria mitochondrii and selenoproteins are essential for the growth of Rickettsia parkeri in the Gulf Coast tick vector. In: BMC: Microbiome, Band 6, Nr. 141, 13. August 2018; doi:10.1186/s40168-018-0524-2 (englisch).
Weblinks
- M. K. D. Dueholm, K. S. Andersen, AK. C. Korntved et al.: Genus: Candidatus Midichloria. Universität Aalborg: MiDAS 5: Global diversity of bacteria and archaea in anaerobic digesters. In: Nature Communications, Band 15, Nr. 5361, 6. Juli 2024; doi:10.1038/s41467-024-49641-y (englisch).
Einzelnachweise
- ↑ a b c d e f Nour-Addeen Najm: In Vitro Culture Studies of Tick Cell Lines. “Endosymbionts in tick cell culture and evaluation of media conditions”. Inaugural-Dissertation zur Erlangung der tiermedizinischen Doktorwürde der Tierärztlichen Fakultät der Ludwig-Maximilians-Universität München, München, 21. Juli 2012. PDF (uni-muenchen.de).
- ↑ a b Sara Epis, Davide Sassera, Tiziana Beninati, Nathan Lo, Lorenza Beati, Joseph Piesman, Laura Rinaldi, Karen D. McCoy, Alessandra Torina, Luciano Sacchi, Emanuela Clementi, M. Genchi, S. Magnino, Claudio Bandi: Midichloria mitochondrii is widespread in hard ticks (Ixodidae) and resides in the mitochondria of phylogenetically diverse species. In: Parasitology, Band 135, Nr. 4, April 2008, ISSN 1469-8161, S. 485–494, doi:10.1017/S0031182007004052, PMID 18205982, ResearchGate:5645603, Epub 21. Januar 2008 (englisch).
- ↑ a b Nathan Lo, Tiziana Beninati, Davide Sassera, Edwin A. P. Bouman, Sabrina S. Santagati, Lise Gern, Vittorio Sambri, Toshiyuki Masuzawa, Jeremy S. Gray, Thomas Gustav Tore Jaenson, Ali Bouattour, Martin J. Kenny, Ece S. Guner, Igor G. Kharitonenkov, Bitam Idir, Claudio Bandi: Widespread distribution and high prevalence of an alpha-proteobacterial symbiont in the tick Ixodes ricinus. In: Environmental Microbiology, Band 8, Nr. 7, 10. April 2006, ISSN 1462-2920, S. 1280–1287, doi:10.1111/j.1462-2920.2006.01024.x, PMID 16817936, bibcode:2006EnvMi...8.1280L, ResearchGate:6966887 (englisch).
- ↑ Luciano Sacchi, Elisa Bigliardi, Silvia Corona, Tiziana Beninati, Nathan Lo, Alberto Franceschi: A symbiont of the tick Ixodes ricinus invades and consumes mitochondria in a mode similar to that of the parasitic bacterium Bdellovibrio bacteriovorus. In: Tissue and Cell, Band 36, Nr. 1, 1. Februar 2004, ISSN 0040-8166, S. 43–53; doi:10.1016/j.tice.2003.08.004, PMID 14729452 (englisch).
- ↑ a b c d Davide Sassera, Tiziana Beninati, Claudio Bandi, Edwin A. P. Bouman, Luciano Sacchi, Massimo Fabbi, Nathan Lo: ‘Candidatus Midichloria mitochondrii’, an endosymbiont of the tick Ixodes ricinus with a unique intramitochondrial lifestyle. In: International Journal of Systematic and Evolutionary Microbiology, Band 56, Nr. 11, November 2006, S. 2535–2340; doi:10.1099/ijs.0.64386-0, PMID 17082386 (englisch).
- ↑ a b Zinnia Judith Molina-Garza, Mariana Cuesy-León, Lidia Baylón-Pacheco, José Luis Rosales-Encina, Lucio Galaviz-Silva: Diversity of midgut microbiota in ticks collected from white-tailed deer (Odocoileus virginianus) from northern Mexico. In: Parasites Hosts and Diseases, Band 62, Nr. 1, 23. Februar 2024, pISSN 2982-5164, S. 117–130; doi:10.3347/PHD.23006, PMC 10915265 (freier Volltext), PMID 38443775, eISSN 2982-6799 (englisch).
- ↑ a b NCBI Taxonomy Browser: Candidatus Midichloria. Details: Candidatus Midichloria (genus).
- ↑ Matteo Montagna, Davide Sassera, Sara Epis, Chiara Bazzocchi, Claudia Vannini, Nathan Lo, Luciano Sacchi, Takema Fukatsu, Giulio Petroni, Claudio Bandi: "Candidatus Midichloriaceae" fam. nov. (Rickettsiales), an ecologically widespread clade of intracellular alphaproteobacteria. In: Applied and Environmental Microbiology, Band 79, Nr. 10, 24. April 2013, S. 3241–3248; doi:10.1128/AEM.03971-12, PMID 23503305, PMC 3685259 (freier Volltext), bibcode:2013ApEnM..79.3241M (englisch).
- ↑ LPSN: Family "Candidatus Midichloriaceae" Montagna et al. 2013.
- ↑ a b c Miao Lu, Investigation, Methodology, Chao Meng, Bing Zhang, Xiao Wang, Junhua Tian, Guangpeng Tang, Wen Wang, Na Li, Mengyao Li, Xiaoyu Xu, Yue Sun, Chengyu Duan, Xincheng Qin, Kun Li: Prevalence of Spotted Fever Group Rickettsia and Candidatus Lariskella in Multiple Tick Species from Guizhou Province, China. In: MDPI: Biomolecules, Band 12, Nr. 11, 17. November 2022 Nov; S. 1701; doi:10.3390/biom12111701, PMC 9688252 (freier Volltext), PMID 36421715 (englisch).
- ↑ NCBI Taxonomy Browser: uncultured Rickettsiales bacterium 'Montezuma'.
- ↑ Oleg Iu. Mediannikov, Leonid I. Ivanov, Makoto Nishikawa, Reiko Saito, Yury N. Sidel'nikov, Nina I. Zdanovskaia, E. V. Mokretsova, Irina V. Tarasevich, Hiroshi Suzuki: Microorganism "Montezuma" of the order Rickettsiales: the potential causative agent of tick-borne disease in the Far East of Russia. In: Zh Mikrobiol Epidemiol Immunobiol, Band 1, Januar-Februar 2004 Jan-Feb, S. 7–13; PMID 15024973.
- ↑
NCBI Taxonomy Browser: "Candidatus Nicolleia massiliensis" Matsumoto et al., Nucleotide: txid395091[Organism:noexp]: strain="France". Zitat:
- „Matsumoto, K., Bru, J.-P., Parola, P., Raoult, D., and Brouqui, P. "'Candidatus Nicolleia massiliensis', a new genus from the Rickettsiales detected in Ixodes ricinus." Unpublished (as of 21 July 2006)“.
- ↑ a b Aránzazu Portillo, Ana M. Palomar, María de Toro, Sonia Santibáñez, Paula Santibáñez, José A. Oteo: Exploring the bacteriome in anthropophilic ticks: To investigate the vectors for diagnosis. In: PLOS ONE, 19. März 2019; doi:10.1371/journal.pone.0213384 (englisch).
- ↑ a b Ann-Kristin Tveten, Knut K. Sjåstad: Identification of bacteria infecting Ixodes ricinus ticks by 16S rDNA amplification and Denaturing Gradient Gel Electrophoresis. In: Vector-Borne and Zoonotic Diseases, Band 11, Nr. 10, 16. September 2011, S. 1329–1334; doi:10.1089/vbz.2011.0657, PMID 21923264, ResearchGate: 51647937, Word-DOC (ntnu.no), Epub 5. Oktober 2011 (englisch). Quelle: Institut für Biologie (ABF) (Institute for biological sciences), Aalesund University College.
- ↑ a b Claudia Vannini, Filippo Ferrantini, Karl-Heinz Schleifer, Wolfgang Ludwig, Franco Verni, Giulio Petroni: “Candidatus Anadelfobacter veles” and “Candidatus Cyrtobacter comes,” Two New Rickettsiales Species Hosted by the Protist Ciliate Euplotes harpa (Ciliophora, Spirotrichea). In: ASM Journals: Applied and Environmental Microbiology, Band 76, Nr. 12, 15. Juni 2010; doi:10.1128/AEM.03105-09 (englisch).
- ↑ GTDB: Midichloriaceae.
- ↑ NCBI Taxonomy Browser: Candidatus Midichloriacaea.
- ↑ a b c LPSN: Genus "Candidatus Midichloria" Sassera et al. 2006.
- ↑ a b Zhengwei Zhong, Kun Wang, Jingwen Wang: Tick symbiosis. In: Current Opinion in Insect Science, Band 62, April 2024, S. 101163; doi:10.1016/j.cois.2024.101163 (englisch).
- ↑ a b Tiziana Beninati, Nathan Lo, Luciano Sacchi, Claudio Genchi, Hiroaki Noda, Claudio Bandi: A novel alpha-proteobacterium resides in the mitochondria of ovarian cells of the tick Ixodes ricinus. In: ASM Journals: Applied and Environmental Microbiology, Band 70, Nr. 5, 1. Mai 2004, S. 2596–2602; doi:10.1128/aem.70.5.2596-2602.2004, PMID 15128508, PMC 404433 (freier Volltext), bibcode:2004ApEnM..70.2596B (englisch).
- ↑ a b c Davide Sassera, Nathan Lo, Sara Epis, Giuseppe D’Auria, Matteo Montagna, Francesco Comandatore, David Horner, Juli Peretó, Alberto Maria Luciano, Federica Franciosi, Emanuele Ferri, Elena Crotti, Chiara Bazzocchi, Daniele Daffonchio, Luciano Sacchi, Andres Moya, Amparo Latorre, Claudio Bandi: Phylogenomic Evidence for the Presence of a Flagellum and cbb3 Oxidase in the Free-Living Mitochondrial Ancestor. In: Molecular Biology and Evolution, Band 28, Nr. 12, 20. Juni 2011, S. 3285–3296, doi:10.1093/molbev/msr159, PMID 21690562 (englisch).
- ↑ a b Matteo P. Ferla, J. Cameron Thrash, Stephen J. Giovannoni, Wayne M. Patrick: New rRNA gene-based phylogenies of the Alphaproteobacteria provide perspective on major groups, mitochondrial ancestry and phylogenetic instability. In: PLOS ONE, Band 8, Nr. 12, 11. Dezember 2013, S. e83383; doi:10.1371/journal.pone.0083383, PMID 24349502, PMC 3859672 (freier Volltext), bibcode:2013PLoSO...883383F (englisch).
- ↑ a b Nour-Addeen Najm, Cornelia Silaghi, Lesley Bell-Sakyi, Kurt Pfister; Lygia M. Friche Passos. Detection of bacteria related to Candidatus Midichloria mitochondrii in tick cell lines. In: Parasitology Research, Band 110, 12. Juli 2011, S. 437–442; doi:10.1007/s00436-011-2509-y, PMID 21748354, Epub 11. Januar 2012 (englisch).
- ↑ NCBI Nucleotide: HQ638198. Candidatus Midichloria mitochondrii strain BDE/CTVM14 ….
- ↑ NCBI Nucleotide: HQ638199. Candidatus Midichloria mitochondrii strain IRE/CTVM19 ….
- ↑ GTDB: Midichloria.
- ↑ Anton Hördt, Marina García López, Jan P. Meier-Kolthoff, Marcel Schleuning, Lisa-Maria Weinhold, Brian J. Tindall, Sabine Gronow, Nikos C. Kyrpides, Tanja Woyke, Markus Göker: Analysis of 1,00+ Type-Strain Genomes Substantially Improves Taxonomic Classification of Alphaproteobacteria. In: Frontiers in Microbiology, Band 11, 7. April 2020, S. 468; doi:10.3389/fmicb.2020.00468, PMID 32373076, PMC 7179689 (freier Volltext), ResearchGate (englisch).
