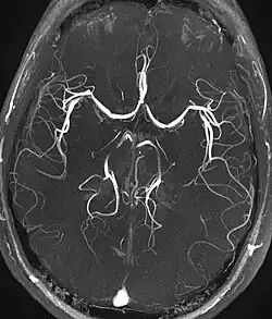
Magnetresonanzangiographie

Die Magnetresonanzangiographie (MR-Angiographie, MRA) ist ein bildgebendes Verfahren zur diagnostischen Darstellung von Blutgefäßen (Arterien und Venen) mit den Methoden der Magnetresonanztomographie (MRT). Zu diesem Zweck können unterschiedliche Techniken eingesetzt werden, die zum Teil vollständig nicht-invasiv sind (also ohne operative Eingriffe und Injektionen auskommen) oder auf der Gabe von MRT-Kontrastmittel basieren. Im Gegensatz zur konventionellen Angiographie werden anstelle von zweidimensionalen Projektionsbildern bei der MRA im Regelfall dreidimensionale Datensätze aufgenommen, die eine Beurteilung der Gefäße aus allen Blickrichtungen ermöglichen. Ein weiterer Unterschied zur konventionellen Angiographie ist, dass bei der MRA kein Katheter in das Blutgefäßsystem eingeführt werden muss. In vielen Bereichen ist die MRA ein zu digitaler Subtraktionsangiographie, CT-Angiographie und Sonographie konkurrierendes Verfahren.[1][2]
Indikationen
Typische Indikationen für eine MRA-Untersuchung sind beispielsweise der Verdacht auf Arterienstenosen (Atherosklerose), Gefäßverschlüsse (Embolien), Venenthrombosen, Gefäßaussackungen (Aneurysmata), Gefäßfehlbildungen und andere Gefäßerkrankungen sowie die Untersuchung der Gefäßverhältnisse von Tumoren.[3]
MRA-Techniken
Es gibt zahlreiche unterschiedliche Techniken, um mit der Magnetresonanztomographie die Blutgefäße darzustellen. Die wichtigsten Techniken sind im Folgenden aufgeführt[4]:
Time-of-Flight-MRA
Die Time-of-Flight-MRA (TOF-MRA) nutzt aus, dass frisch einströmendes Blut im Untersuchungsvolumen eine höhere Magnetisierung aufweist, als das stationäre Gewebe, dessen Magnetisierung durch die einwirkenden HF-Pulse der MRT-Pulssequenz reduziert (gesättigt) wird. Die Blutgefäße mit frisch einströmendem Blut werden daher signalreich dargestellt. Für die TOF-MRA werden gewöhnlich schnelle 2D- oder 3D-Gradientenecho-Techniken (FLASH) eingesetzt; es wird kein Kontrastmittel benötigt.
Signalreich werden jedoch nur Gefäße dargestellt, die frisch einströmendes Blut enthalten. Dies kann zu Artefakten führen, wenn Gefäße beispielsweise über lange Strecken innerhalb des Untersuchungsvolumens verlaufen; in diesem Fall wird mit der Zeit auch die Magnetisierung des Bluts gesättigt. Die Lage des Untersuchungsvolumens kann aus diesem Grund nicht beliebig gewählt werden, sondern muss im Allgemeinen senkrecht zur vorherrschenden Blutflussrichtung liegen.
Der Name Time-of-Flight-MRA bezeichnet die Tatsache, dass die Magnetisierung des Bluts außerhalb des Untersuchungsvolumens erfolgt ist und eine gewisse Laufzeit erforderlich ist, bis das Blut mit höherer Magnetisierung das dargestellte Gebiet erreicht. Deutsche Übersetzungen wie Flugzeit- oder Laufzeit-MRA sind nur selten zu finden.
Phasenkontrast-MRA
Die Bewegung des fließenden Bluts lässt sich mit geeigneten Untersuchungstechniken als Phasenunterschied in den komplexen Bilddaten darstellen. Durch diese Phasenunterschiede unterscheidet sich das fließende Blut vom umliegenden stationären Gewebe und lässt sich daher signalreich darstellen. Die Phasenkontrast-MRA (PC-MRA von engl. phase-contrast MRA, selten auch PK-MRA) basiert gewöhnlich auf schnellen Gradientenecho-Techniken (FLASH) mit zusätzlichen flusskodierenden Gradientenpulsen und benötigt kein Kontrastmittel.
Im Gegensatz zur Time-of-Flight-MRA ist die Lage des Untersuchungsvolumens bei der Phasenkontrast-MRA deutlich flexibler. Andererseits sind die Aufnahmezeiten wesentlich länger als bei der Time-of-Flight-MRA.
Kontrastverstärkte MRA

Durch die Injektion von T1-verkürzendem (meist gadoliniumbasiertem) Kontrastmittel wird das Blut auf T1-gewichteten MRT-Aufnahmen signalreich dargestellt. MRT-Aufnahmen während des Durchflusses des Kontrastmittels durch ein Organ oder eine anatomische Region können daher eingesetzt werden, um die Blutgefäße darzustellen. Die kontrastverstärkte MRA (CE-MRA von engl. contrast-enhanced MRA, gelegentlich auch KM-MRA von Kontrastmittel-MRA) basiert auf schnellen in der Regel dreidimensionalen Gradientenecho-Techniken (FLASH).
Im Vergleich zur Time-of-Flight- oder Phasenkontrast-MRA kann die Aufnahmedauer bei der kontrastverstärkten MRA deutlich verkürzt werden, so dass Aufnahmen bei angehaltenem Atem ebenso möglich werden wie dynamische MRA-Aufnahmen, die den Blutfluss zeitaufgelöst darstellen können (mit Zeitauflösungen bis herab zu 1 Sekunde je 3D-Datensatz).
Weitere Techniken

Spinecho-Techniken, die schnell fließendes Blut signalarm darstellen, können mit EKG-Triggerung kombiniert werden, um so die Arterien in zwei aufeinanderfolgenden Aufnahmen einmal signalarm (Aufnahme während des schnellen systolischen Blutflusses) und einmal signalreich (Aufnahme während des langsamen diastolischen Blutflusses) darzustellen. In der Differenz der beiden Aufnahmen erscheinen die Arterien signalreich, während anderes Gewebe unterdrückt wird.
Auch andere Techniken wie Steady-state-free-precession-Sequenzen oder Arterial-Spin-Labeling-Methoden können eingesetzt werden, um das Blut in den Gefäßen signalreich darzustellen.
Im Gegensatz zur meist angestrebten signalreichen Darstellung der Gefäße gibt es auch die Möglichkeit, die Gefäße signalarm (dunkel) im umliegenden helleren Gewebe darzustellen. Dies wird beispielsweise für die Darstellung von Venen (MR-Phlebographie) mit T2*- und suszeptibilitätsgewichteten Pulssequenzen eingesetzt.
Nachverarbeitung und Darstellung der MRA-Daten
Zur Beurteilung und Diagnosefindung müssen die dreidimensional aufgenommenen Datensätze als zweidimensionale Bilder (am Bildschirm) dargestellt werden. Dafür gibt es verschiedene Nachverarbeitungstechniken: Die Daten können schichtweise entsprechend der ursprünglichen Aufnahmeorientierung betrachtet werden, sie können in beliebigen Ebenen (etwa rechtwinklig zum Gefäß oder mit dem Gefäß in der Bildebene) als multiplanare Rekonstruktionen (MPR) rekonstruiert werden, es können Maximumintensitätsprojektionen (MIP, maximum intensity projection) aus verschiedenen Blickwinkeln berechnet werden oder die Daten können als virtuelle dreidimensionale Objekte im Raum dargestellt werden.
Für alle fortgeschrittenen Darstellungstechniken ist eine Aufnahme möglichst isotroper Daten von Vorteil, bei denen also die Ortsauflösung in alle drei Raumrichtungen etwa gleich ist. Typische Ortsauflösungen liegen mit modernen Techniken (abhängig von der Größe der interessierenden Gefäße und des Aufnahmevolumens) zwischen 1,5×1,5×1,5 mm³ und 0,5×0,5×0,5 mm³.
Einzelnachweise
- ↑ Konrad Meyne: Handbuch arterielle Verschlusskrankheiten. Schlütersche, Hannover 2003, ISBN 3-87706-694-1, S. 77. (eingeschränkte Vorschau in der Google-Buchsuche)
- ↑ Eike Nagel u. a. (Hrsg.): Kardiovaskuläre Magnetresonanztomographie: Methodenverständnis und praktische Anwendung. Steinkopff-Verlag, Darmstadt 2002, ISBN 3-7985-1285-X, S. 107. (eingeschränkte Vorschau in der Google-Buchsuche)
- ↑ Mathias Goyen (Hrsg.): MR-Angiographie mit Vasovist. ABW Wissenschaftsverlag, Berlin 2007, ISBN 3-936072-52-3. (eingeschränkte Vorschau in der Google-Buchsuche)
- ↑ Harald H. Quick: Magnetresonanzangiographie: Grundlagen und Praxis für MTRA. ABW Wissenschaftsverlag, Berlin 2007, ISBN 3-936072-46-9, S. 3–67. (eingeschränkte Vorschau in der Google-Buchsuche)