Kugeltalus
| Klassifikation nach ICD-10 | |
|---|---|
| Q66.8 | Sonstige angeborene Deformitäten der Füße |
| ICD-10 online (WHO-Version 2019) | |

Der Kugeltalus, englisch Congenital ball-and-socket ankle joint, ist eine sehr seltene angeborene Fehlbildung des oberen Sprunggelenkes mit kuppelartiger Verformung des Talus und gebogener Form der Gelenkfläche der Tibia.[1]
Verbreitung
Es handelt sich um eine sehr seltene Fehlbildung, eine Assoziation mit einer tarsalen Koalition, anderen Fußfehlbildungen oder Beinverkürzungen (Hemimelie) sind nicht selten.[2]
Ursache
Bei Vorliegen weiterer Fehlbildungen im Sprunggelenk, insbesondere einer tarsalen Koalition ist die abnormale Konfiguration des oberen Sprunggelenkes als Anpassungsphänomen anzusehen. Ansonsten ist die Ursache und der Entstehungsmechanismus unklar.[1][3]
Andere Autoren vertreten die Ansicht, die Kugelform sei stets Folge einer Fehlbildung.[4][5]
Bei Kindern mit Meningomyelozele kann es zu einer erworbenen Form eines Kugeltalus kommen.[5]
Klinische Erscheinungen
Der Kugeltalus verändert die Gelenkmechanik von Scharniergelenk in Richtung Kugelgelenk, macht keine Beschwerden, jedoch kann es häufiger zu einem Supinationstrauma kommen.[1]
Diagnostik
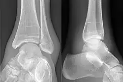
Diagnostische Kriterien im Röntgenbild sind:
- fehlende tafelartige leicht konkave Trochlea tali (Sprungbeinrolle)
- konvexe, bogig-gerundete Trochlea
- der Trochleaform angepasste atypische Konfiguration der Sprunggelenksgabel.[1]
Differentialdiagnostik
Ein Kugeltalus kann ein Hinweis auf eine Talokalkaneale Koalition sein.[6]
Therapie
Eine kausale Therapie ist nicht bekannt. Treten erhebliche Schmerzen meist infolge einer Arthrose auf, kann eventuell eine Arthrodese infrage kommen.[1]
Geschichte
Diese seltene Fehlbildung ist bereits 1931 bzw. 1933 beschrieben worden.[7][8] Der erste Bericht im englischsprachigen Raum stammt von Douglas Lamb aus dem Jahre 1958.[9]
Literatur
- J. S. Lewis, J. K. DeOrio: The adult ball-and-socket ankle joint: surgical management of late ankle and subtalar arthritis. In: Foot & ankle specialist. Bd. 8, Nr. 2, April 2015, S. 112–118, doi:10.1177/1938640014548321, PMID 25205679.
- P. M. Stevens, S. Aoki, P. Olson: Ball-and-socket ankle. In: Journal of pediatric orthopedics. Bd. 26, Nr. 4, 2006 Jul–Aug, S. 427–431, doi:10.1097/01.bpo.0000217713.80233.c5, PMID 16791056.
- D. Bettin, A. Karbowski, L. Schwering: Congenital ball-and-socket anomaly of the ankle. In: Journal of pediatric orthopedics. Bd. 16, Nr. 4, 1996 Jul–Aug, S. 492–496, PMID 8784704.
- M. Steingard, E. Percy: The ball-and-socket ankle: a case history and literature review. In: Foot & ankle international. Bd. 16, Nr. 5, Mai 1995, S. 302–305, PMID 7633589 (Review).
- Y. Takakura, S. Tamai, K. Masuhara: Genesis of the ball-and-socket ankle. In: The Journal of bone and joint surgery. British volume. Bd. 68, Nr. 5, November 1986, S. 834–837, PMID 3782257.
Weblinks
Einzelnachweise
- ↑ a b c d e F. Hefti: Kinderorthopädie in der Praxis. Springer 1998, ISBN 3-540-61480-X, S. 415
- ↑ K. Hiroshima, Y. Kurata, M. Nakamura, K. Ono: Ball-and-socket ankle joint: anatomical and kinematic analysis of the hindfoot. In: Journal of pediatric orthopedics. Bd. 4, Nr. 5, September 1984, S. 564–568, PMID 6490876.
- ↑ J. Hamel, G. Müller, W. Becker: Ein Fall von beidseitiger isolierter talonavicularer Synostose im Kindesalter – Beobachtungen zur Mechanik des Tarsus und der funktionellen Adaptation des Oberen Sprunggelenkes. In: Zeitschrift für Orthopädie und ihre Grenzgebiete. Bd. 131, Nr. 3, 1993 May Jun, S. 275–278, doi:10.1055/s-2008-1040240, PMID 8342315.
- ↑ Y. Takakura, Y. Tanaka, T. Kumai, K. Sugimoto: Development of the ball-and-socket ankle as assessed by radiography and arthrography. A long-term follow-up report. In: The Journal of bone and joint surgery. British volume. Band 81, Nummer 6, November 1999, S. 1001–1004, PMID 10615975.
- ↑ a b F. Pistoia, M. B. Ozonoff, P. Wintz: Ball-and-socket ankle joint. In: Skeletal radiology. Band 16, Nummer 6, 1987, S. 447–451, PMID 3659990.
- ↑ Venugopal Guduri; Mark A. Dreyer: Talocalcaneal Coalition. In: StatPearls
- ↑ G. Politzer: Über Missbildungen des Hand- und Fußskelettes und über ihre formale Genese. In: RöFo: Fortschritte auf dem Gebiete der Röntgenstrahlen. Bd. 43, 1931, S. 605–619
- ↑ E. L. Kewesch: Über hereditäre Verschmelzung der Hand- und Fußwurzelknochen. In: RöFo: Fortschritte auf dem Gebiete der Röntgenstrahlen. Bd. 50, 1933, S. 550–556
- ↑ D. LAMB: The ball and socket ankle joint; a congenital abnormality. In: The Journal of bone and joint surgery. British volume. Bd. 40-B, Nr. 2, Mai 1958, S. 240–243, PMID 13539107.