Konsolidierung (Medizin)
Der Begriff Konsolidierung (lat. Verfestigung, Festwerden) hat in der Medizin mehrere Bedeutungen. Allgemein versteht man darunter die Heilung von Verletzungen, aber auch von Erkrankungen. Beispielsweise werden in diesem Zusammenhang die Knochen- und Wundheilung als Konsolidierung bezeichnet. Auch das Nichtfortschreiten von Erkrankungen wird mit dem Begriff Konsolidierung bezeichnet.
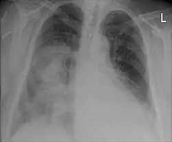
Lungenheilkunde

In der Lungenheilkunde (Pneumologie) versteht man unter Konsolidierung eine Ansammlung von Exsudat, Transsudat oder anderem Gewebe in den Lungenbläschen (Alveolen). Dadurch wird die Luft aus den Alveolen verdrängt und die eigentliche Funktion des Gasaustausches kann nicht mehr erfüllt werden. In Röntgen- und Computertomographiebildern der Lunge stellen sich die Konsolidierungen der Alveolen als röntgendichte (helle) Strukturen dar, da sie für die Röntgenstrahlen weniger durchlässig sind als das normale Lungengewebe. Konsolidierungen der Lunge kommen vor allem im Rahmen von Entzündungen und Fibrose vor, z. B. bei Lungenentzündungen und interstitiellen Lungenerkrankungen.
Literatur
- Hoffmann-La Roche AG, Urban & Schwarzenberg (Hrsg.): Roche Lexikon Medizin. 4. Auflage, Urban & Schwarzenberg, München/Wien/Baltimore 1998, ISBN 3-541-17114-6.