Sprunggelenkfraktur

Klassifikation nach ICD-10
S82 Fraktur des Unterschenkels, einschließlich des oberen Sprunggelenks
S82.5 Fraktur des Innenknöchels
Tibia, mit Beteiligung des oberen Sprunggelenks
S82.6 Fraktur des Außenknöchels
Fibula, mit Beteiligung des oberen Sprunggelenks
S82.8 Frakturen sonstiger Teile des Unterschenkels
– Bimalleolarfraktur
– Trimalleolarfraktur
S93.2 Traumatische Ruptur von Bändern in Höhe des oberen Sprunggelenks und des Fußes
{{{06-BEZEICHNUNG}}}
{{{07-BEZEICHNUNG}}}
{{{08-BEZEICHNUNG}}}
{{{09-BEZEICHNUNG}}}
{{{10-BEZEICHNUNG}}}
{{{11-BEZEICHNUNG}}}
{{{12-BEZEICHNUNG}}}
{{{13-BEZEICHNUNG}}}
{{{14-BEZEICHNUNG}}}
{{{15-BEZEICHNUNG}}}
{{{16-BEZEICHNUNG}}}
{{{17-BEZEICHNUNG}}}
{{{18-BEZEICHNUNG}}}
{{{19-BEZEICHNUNG}}}
{{{20-BEZEICHNUNG}}}
Vorlage:Infobox ICD/Wartung {{{21BEZEICHNUNG}}}
ICD-10 online (WHO-Version 2019)
Vorlage:Infobox ICD/Wartung/Para 05

Die Sprunggelenkfraktur oder Malleolarfraktur ist ein Knochenbruch des oberen Sprunggelenks (OSG). Sie ist bei Erwachsenen der am häufigsten auftretende Knochenbruch der unteren Extremitäten.

Anatomie

Das Sprunggelenk mit seinen Bändern

Das obere Sprunggelenk des Menschen (es gibt auch ein unteres Sprunggelenk [USG] unterhalb des Sprungbeins) besteht aus dem Wadenbein (Fibula), dem Schienbein (Tibia) und dem Sprungbein (Talus). Straffe Bänder halten die mit Knorpeln überzogenen Gelenkenden dieser Knochen zu einem Gelenk zusammen: Das vordere und das kräftigere hintere Syndesmosenband verbinden Waden- und Schienbein zur Sprunggelenkgabel; der Schaft des Wadenbeins und des Schienbeins am Unterschenkel darüber sind durch das funktionell gleichwertige flächige Zwischenknochenband (Membrana interossea) verbunden. Das in die Sprunggelenkgabel eingepasste Sprungbein wird durch die Außen- oder Seitenbänder (Ligamentum fibulotalare anterius, Ligamentum fibulocalcaneare und Ligamentum fibulotalare posterius) und das etwa dreieckige Innenband (Ligamentum deltoideum) beweglich, aber stabil gehalten. Die aktive Stabilisierung des oberen Sprunggelenkes erfolgt über die peronealen (fibularen) und tibialen Sehnen parallel zum Bandapparat und über die gelenkübergreifenden Streck- und Beugesehnen mit der Achillessehne. Die Lastübertragung des Fußes auf den Unterschenkel erfolgt ausschließlich über das Sprungbein und die untere Gelenkfläche des Schienbeins. Die Knöchel dienen dabei der seitlichen Führung des Gelenks. Der Innenknöchel ist integraler Bestandteil des breiten, unteren Schienbeinendes, während der Außenknöchel die gelenkseitig überknorpelte Spitze des Wadenbeins darstellt.

Weil das Sprungbein keine einfache, gleichförmige Knochenwalze ist, sondern mit innen und außen unterschiedlichen Kreisradien ein Zylindersegment darstellt, bildet die Bewegung des oberen Sprunggelenks in Beugung und Streckung keine bloße Scharnierbewegung, sondern eine sogenannte Maulschellenbewegung.

Funktionelle Anatomie

Trotz der individuell unterschiedlich ausgeprägten Keilform der Sprungbeinrolle führt die Gabel des oberen Sprunggelenks das Sprungbein in allen Funktionszuständen weitestgehend formschlüssig. Außen- und Innenknöchel zeigen eine der Keilform entsprechende Konvergenz der Gelenkflächen. Weder ergibt sich bei Plantarflexion eine nachvollziehbar erweiterte Beweglichkeit des Sprungbeins in der Gabel, noch führt die Dorsalextension zu einer mehr als geringen Verbreiterung der äußeren Gabelmaße. Man versuchte, eine solch perfekt Gelenkmechanik durch eine wandernde Bewegungsachse zu erklären.
Der Bewegungsumfang des Sprunggelenks kann für den praktischen Gebrauch mit einer Gelenkachse, die allerdings nicht senkrecht den Innenknöchel schneidet, beschrieben werden: Beim Bewegungsbogen von der Plantarflexion zur Dorsalextension dreht das Sprungbein nach innen und das Wadenbein gleichsinnig um seine Längsachse. Dies wurde durch amerikanische Studenten bestätigt, die im Selbstversuch Bohrdrähte in das Wadenbein schraubten und den Bewegungsumfang der Drehung in Dorsalextension/Plantarflexion um fast 20° zeigen konnten. Zusätzlich wird das Wadenbein in stärkster Dorsalstellung wenig nach lateral (zur Seite) ausgebogen und durch seine seitliche und dorsale Verschiebung die vordere Syndesmose gespannt. Die unterschiedlichen Angaben zum Gelenkschluss in Dorsalextension oder Plantarflexion ergeben sich aus der besonderen Untersuchungssituation von Anatomen und Pathologen: Hier werden die Untersuchungen an auf dem Sektionstisch liegenden Leichen und damit entlasteten Extremitäten durchgeführt. Unter Körperlast beim Schreiten ist der Gelenkschluss der Malleolenwangen dagegen erheblich enger, die Syndesmosen erhalten eine deutliche Vorspannung, und die Auslenkung des Wadenbeins unter der Scharnierbewegung verringert sich.
Zu wenig Beachtung finden außerdem funktionelle Aspekte des sogenannten „hinteren“ oder dritten „Malleolus“: Die weit über die Sprungbeinrolle greifende dorso-laterale Schienbeinkante mit der hier eingreifenden, straffen hinteren Syndesmose als Gelenklippe stellt besonders in Plantarflexion einen wesentlichen Kontaktpunkt des Gelenkes dar: Der im deutschen Sprachraum übliche Begriff Sprunggelenkgabel wird damit weder den anatomischen noch den physiologischen Fakten gerecht. Die Form der Sprunggelenkfläche des Schien- und des Wadenbeins wird deshalb insgesamt auch treffender im Englischen als Mortise, im Französischen als Mortaise bezeichnet. Napf oder Pfanne ist eine funktionsgerechte Eindeutschung.[1]

Unfallmechanismus

Eine klassische Luxationsfraktur noch in Luxationsposition bei Klinikaufnahme: das Sprungbein mit dem daran hängenden Innen- und Außenknöchel ist von vorne dargestellt, die Gelenkfläche der Tibia von der Seite!

Der Bruch des oberen Sprunggelenks entsteht immer über eine mehr oder weniger starke Verrenkung (Subluxation oder Luxation) des Gelenks, d. h. eine Lösung der Knochen des Gelenks aus ihrer normalen gelenkigen Verbindung unter Bruch von mindestens dem Außenknöchel und möglichen knöchernen und ligamentären Begleitverletzungen. Daher heißt die Verletzung grundsätzlich Verrenkungsbruch (Luxationsfraktur). Zur Illustration ist eine Sprunggelenkfraktur noch in Verrenkungsposition abgebildet. Meist reponieren sich die Brüche aufgrund der Elastizität des Weichteilmantels von alleine, oder sie werden durch Sanitäter oder Sporttrainer noch am Unfallort reponiert, so dass solche Röntgenbilder selten in Kliniken entstehen. Der Verletzung, volkstümlich als „Umknicken“ bezeichnet, liegt meist ein Pronationstrauma oder eine Supination zugrunde (beides indirekte Traumata). Dieses Grundmuster wird durch Drehungsanteile (z. B. Eversion, Adduktion) des Fußes ergänzt. Der Sprunggelenkbruch kann auch durch Drehen des Unterschenkels gegen den feststehenden Fuß verursacht werden. Häufig sind zusätzlich die Einflüsse von Stauchungen wirksam, wie z. B. durch den Sprung von einer Mauer. Das röntgenologische Bruchbild lässt sich nach Lauge-Hansen[2] einem jeweils typischen Entstehungsmechanismus zuordnen (= ursächliche Einteilung).

Diagnostik

Bimalleolarfraktur mit kleinem unverschobenem Volkmann’schem Dreieck (seitl.)
Bimalleolarfraktur (a.p.)

Die Diagnostik erfordert neben der Erhebung der Vorgeschichte (Anamnese) und der klinischen (körperlichen) Untersuchung eine Röntgenuntersuchung. Sie wird im a.p. (anterior-posterioren) Strahlengang mit 20° Innenrotation sowie im seitlichen Strahlengang angefertigt. Mit Schrägaufnahmen im Winkel von 45° können Ausrisse am Syndesmosenansatz des Schienbeins (franz. Tubercule de Chaput Tillaux) erkannt werden. Im Zweifelsfall muss immer auch eine Langaufnahme zum Ausschluss einer hohen Wadenbeinfraktur (Maisonneuve-Fraktur) angefertigt werden.[3] Die im Röntgenbild unsichtbaren Verletzungen der Bänder werden bei Verdacht nach Einleitung der Narkose, aber vor Beginn des eigentlichen operativen Eingriffs durch eine gehaltene Röntgen-Bildwandleruntersuchung aufgedeckt.

Bei Skelettanomalien und nach alten Brüchen, besonders aber bei Beteiligung der unteren tragenden Schienbein-Gelenkfläche durch den Bruch, kann eine Computertomographie (digitale Röntgenschichtuntersuchung) Klarheit über den Bruchverlauf verschaffen. Die Computertomographie hat eine wichtige Bedeutung, um eine Gelenkflächenbeteiligung und die Form eines posterioren tibialen Fragmentes (Volkmann-Dreieck) zu beurteilen. Bandschäden und Knorpelschäden z. B. am Sprungbein können gut mit einer digitalen Kernspintomographie untersucht werden.

Klassifikation

Gegenwärtig werden die Brüche für die operative Versorgung bevorzugt anatomisch nach Danis oder abgeleitet nach Weber[2] eingeteilt, und zwar abhängig von der Höhe des Wadenbeinbruchs im Verhältnis zur bindegewebigen Verbindung zwischen Waden- und Schienbein (Syndesmose). Diese Einteilung wurde von der Arbeitsgemeinschaft für Osteosynthesefragen (AO) in ihre Klassifikation übernommen und weiter differenziert:

Danis-Weber-Klassifikation von Sprunggelenksfrakturen (Typ A, B, C)
Klassifikation nach Danis-Weber
Typ Frakturlokalisation Syndesmosenverletzung
A Fraktur unterhalb der Syndesmose Syndesmose immer intakt
B Fraktur auf Höhe der Syndesmose Syndesmose häufig mitverletzt
C Fraktur oberhalb der Syndesmose Syndesmose immer mitverletzt

Das Ausmaß der Gelenkschädigung steigt von A bis C an. Begleitverletzungen wie Innenknöchelbruch und hinteres Schienbeinkantenfragment (Volkmann’sches Dreieck) können das Ausmaß der Gelenkschädigung erhöhen.

Diese Einteilung bezieht sich ausschließlich auf die örtliche Lage des Wadenbeinbruchs. Aus der Zuordnung lässt sich annähernd auf die zu erwartende begleitende Läsion der gabelstützenden Bänder der Syndesmosen-Region und der Membrana interossea schließen.

Seltener wird die Klassifikation nach Lauge-Hansen angewendet.[4] Diese Einteilung ist an der Position des Fußes und der Bewegungsrichtung der Talusrolle zum Unfallzeitpunkt orientiert:

Klassifikation nach Lauge-Hansen
Reihenfolge
der Häufigkeit
Klassifikation Abkürzung Position
des Fußes
Richtung
der Talusbewegung
Häufige Terminologie
1 Supination/Außenrotation SL Inversion Außenrotation Außenrotationsverletzung ohne Diastase
2 Pronation/Abduktion PA Eversion Abduktion Abduktionsverletzung
3 Pronation/Außenrotation PL Inversion Außenrotation Außenrotationsverletzung mit Diastase
4 Supination/Adduktion SA Inversion Adduktion Adduktionsverletzung
5 Pronation/Dorsalflexion PD Eversion Dorsalflexion Vertikale Kompressionsfraktur

Begleitverletzungen

Als Begleitverletzungen kommen zur grundsätzlich immer vorhandenen Läsion am Außenknöchel auch Innenknöchelbrüche und bei Brüchen der Arten Weber B und C auch Läsionen der lasttragenden unteren Schienbeinfläche vor. An ihr setzt nämlich hinten und vorn das jeweilige Syndesmosenband an, so dass bei großer Gabelspannung im Augenblick des Bruchs bei gleichzeitiger Last auf z. B. der hinteren (dreieckigen) Gelenkkante diese in Form eines kombinierten Abriss-Abdrück-Bruches verletzt wird. Diese postero-laterale Schienbeinkante, das sogenannte Volkmann’sche Dreieck (nach Richard von Volkmann 1872), weist prognostisch auf eine schwere Variation eines Weber-B- oder -C-Bruches hin, weil zu seiner Entstehung ein großer Stauchungsanteil nötig ist, der zusätzliche Schäden an den Knorpeln verursacht.

Syndesmosenläsion und Volkmann’sches Dreieck

Volkmann-Dreieck, groß (ca. 40 % der Gelenkfläche), im CT seitlich. Operationsindikation!

Die Instabilität der Sprunggelenkgabel ist eine Folge des typischen Frakturmechanismus, der prinzipiell das Sprungbein (Talus) aus der Gabel kippt. Kommt es dabei zu einer Fraktur des Außenknöchels unterhalb der Syndesmose, ist die Gabelstabilität natürlich immer unverändert (Weber-A-Fraktur). Kommt es bei der Frakturentstehung zu einer Fraktur des Wadenbeins (Fibula) in Höhe der Syndesmose, wird diese zerreißen. Da es sich bei diesem Frakturtyp (Weber-B-Fraktur) um eine Schrägfraktur handelt, zerreißt die vordere Syndesmose, während die hintere (stabilere) mit dem Fragment verbunden bleibt und wie ein Türscharnier mit dem Fragment nach außen aufklappt. Bei Weber-C-Frakturen kommt es durch Kippung des Sprungbeins zunächst zur Sprengung der Syndesmosenregion, bevor die verbleibende Kraft das Wadenbein bricht.

Die Schädigung der Syndesmose kann in zwei Variationen erfolgen: Entweder zerreißen beide Syndesmosenbänder (und Teile der Membrana interossea cruris bis in Höhe der Fibulafraktur). Viel häufiger zerreißt jedoch das vordere, schwächere Syndesmosenband, und das hintere (stabilere) bleibt erhalten; dafür reißt der Bandansatz knöchern am unteren Schienbein breitflächig aus. Hierzu tragen Stauchungskräfte des Talus gegen die distale Tibiagelenkfläche bei. Diese Abrissfraktur mit der Bezeichnung Volkmann’sches Dreieck (oder Volkmann-Dreieck) ist bei Weber B möglich und bei Weber-C-Frakturen sehr häufig sowie die Ursache für eine komplette Gabelinstabilität des oberen Sprunggelenks (siehe Abb.).

Prognose

Beim Bruch des oberen Sprunggelenks bestimmt generell das Ausmaß der Gelenkknorpelschädigung die Prognose. Diese Schäden entstehen entweder gleich beim Unfall durch die Bruchenden, die Verrenkung (s. o.) oder durch einen Stauchungsanteil (Bruch des hinteren Volkmann’schen Dreiecks). Andererseits führt aber auch eine schlechte Gelenkposition oder Instabilität nach Ausheilung des Bruchs zu einem vermehrten Verschleiß des Gelenkknorpels. Sehr frühzeitig, schon etwa nach einem Jahr nach der Verletzung, zeigen sich am oberen Sprunggelenk wegen der ausgeprägten Belastung Verschleißerscheinungen (sekundäre oder auch posttraumatische Arthrose) mit Schmerzen, Bewegungseinschränkung und Schwellneigung. Diese Veränderungen sind dann zum großen Teil irreversibel, d. h. auch jetzt durchgeführte Korrektureingriffe können die Arthrose nicht mehr beseitigen.

Behandlung

Sofortmaßnahmen

Bei Verdacht auf eine Sprunggelenkfraktur sollte das Bein ruhiggestellt und hochgelagert werden, um zusätzliche Schmerzen zu vermeiden und eine Schwellung zu minimieren. Wenn die Haut intakt ist, sollte das Sprunggelenk gekühlt werden, um die Schwellung weiter zu verringern. Eine frühe Behandlung der Schwellung ist nicht nur schmerzlindernd, sondern ermöglicht auch eine frühzeitige Operation, da bei starker Schwellung die Operation meist verschoben werden muss, bis die Weichteilschwellung zurückgegangen ist. Bei einem offenen Bruch muss die Wunde keimfrei abgedeckt werden, um eine Infektion der Wunde und insbesondere eine langwierige Knocheninfektion zu vermeiden.[5][6]

Eine Fehlstellung (Luxation) des Sprunggelenks sollte durch medizinisches Fachpersonal schnellstmöglich nach der Gabe von Schmerz- und gegebenenfalls auch Beruhigungsmitteln (Analgosedierung) behoben werden (Reposition). Dabei wird durch starken gleichmäßigen Zug am Fuß das Sprunggelenk geradegezogen und danach idealerweise mit einer Vakuumschiene ruhiggestellt. Die frühe Reposition bei einer fehlgestellten Sprunggelenkfraktur ist sinnvoll, um die Gefahr von Druckläsionen an der dünnen Haut über dem Innen- und Außenknöchel zu minimieren. Wenn durch die Fehlstellung die Blutzufuhr zum Fuß unterbrochen ist oder Nerven beschädigt sind, muss nach Grobreposition notfallmäßig eine operative Versorgung erfolgen, um bleibende Schäden zu vermeiden.

Konservativ

Voraussetzung für ein gutes Ergebnis ist eine anatomische (also komplett normale) Wiederherstellung der Knochenform und der stabilen Gelenkführung. Nur unverschobene Brüche unterhalb der Syndesmose (Weber-A-Brüche) oder minimal verschobene Weber-B-Brüche sollten daher konservativ ohne Operation durch äußere Stabilisierung (z. B. Gips) behandelt werden. Bei Patienten mit Durchblutungsstörungen beispielsweise auf Grund von Lebensalter, Gefäßerkrankungen, chronischem Nikotinabusus oder Diabetes mellitus sollten aber auch dislozierte Brüche entweder konservativ oder minimal-invasiv operativ versorgt werden. Die Brüche müssen in Narkose eingerichtet und das Repositionsergebnis mit perkutan (durch die Haut) eingebrachten Bohrdrähten gehalten und das Gelenk eingegipst werden. Offene Operationen mit Freilegung der Fragmente haben hier den großen Nachteil von Wundheilungsstörungen, die das klinische Ergebnis erheblich verschlechtern und sogar in letzter Konsequenz zur Amputation des operierten Unterschenkels führen können.

Operativ

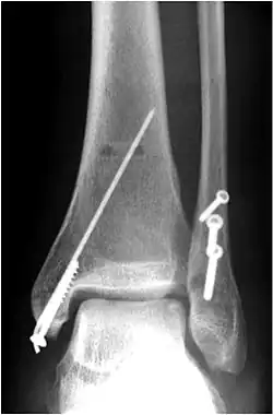
Osteosynthese der Fibula

Sprunggelenkfraktur Weber B, Versorgung des Außenknöchels mit drei Zugschrauben, Innenknöchel mit Zugschraube und Bohrdraht.
Seitliche Projektion der o.a. Osteosynthese
Operativ versorgte Bimalleolarfraktur (6-Loch-1/3-Rohrplatte am Außenknöchel, Zuggurtung am Innenknöchel), Reproduktion eines während einer Operation angefertigten Röntgenprints

Bei allen anderen Brüchen mit verschobenen Knochenbruchstücken und bei Verletzung der Gabelbänder ist in der Regel eine offene Operation mit Knochenverschraubung (Osteosynthese) und Bandstabilisierung notwendig. Die einfachste und biomechanisch stabilste Versorgung erfolgt mit mindestens zwei bis drei Zugschrauben je nach Länge der Schrägfraktur des Wadenbeins (Abb.). Alleinige Schraubenosteosynthesen sind nur bei einfachen Spiral- oder Schrägbrüchen möglich, Mehrfragmentbrüche werden mit Einzelschrauben zu größeren Fragmenten vereinigt, die dann mit einer Platte stabilisiert werden, die längs auf das Wadenbein verschraubt wird. Im anderen abgebildeten Fall kam eine Zugschraube und eine 6-Loch-1/3-Rohrplatte als sogenannte Neutralisationsplatte am Außenknöchel und eine Zuggurtung am Innenknöchel zum Einsatz. Beide Versorgungen sind übungsstabil, auf eine Gipsruhigstellung kann verzichtet werden. Der Patient darf mit leichter Kontaktbelastung an Unterarmgehstützen gehen.

Osteosynthese des Innenknöchels

Meist handelt es sich bei der Innenknöchelfraktur um eine Abrissfraktur. Eine konservative Behandlung ist hier nicht möglich. Daher muss der Innenknöchel über einen Längsschnitt freigelegt werden. In den Bruchspalt ist immer die Knochenhaut eingeschlagen, was eine anatomische Reposition behindert. Nach Beiseiteschieben des Periosts kann die Fraktur einfach anatomisch reponiert werden. Das Fragment wird mit Bohrdrähten oder mit Bohrdraht und Zugschraube fixiert (Abb.). Selten besteht das Innenknöchelfragment aus mehreren Teilen, die durch mehrere Drähte und gegebenenfalls auch eine Drahtcerclage fixiert werden können. Eine Schraubenfixierung ist bei solchen Mehrfragmentbrüchen nicht möglich.

Stabilisierung der Gelenkgabel

Bei Gabelinstabilität mit Zerreißung der Syndesmose muss die vordere Syndesmose inspiziert und gegebenenfalls genäht werden. Das hintere Volkmann’sche Dreieck mit der daranhängenden hinteren Syndesmose ist ein breitbasiges knöchernes Fragment der hinteren unteren Schienbein-Gelenkfläche. Flache Bruchstücke heilen spontan knöchern zuverlässig fest und können bei der Frakturversorgung vernachlässigt werden. Größere Fragmente von mehr als 10 % der distalen Tibiagelenkfläche müssen sicher anatomisch in das Gelenk eingepasst werden. Dazu müssen sie operativ eingerichtet und mit einer oder mehreren Schrauben fixiert werden.

Die Bandverbindung Fibula-Tibia muss zusätzlich gesichert werden. Die dazu verwendete sogenannte Stellschraube hat die Aufgabe, die zunächst stabil versorgte Fibula in das Gelenk zum Schienbein (incisura fibularis) einzupassen und dort im korrekten Abstand einzustellen (daher Stellschraube). Eine Kompressionswirkung darf die Schraube nicht ausüben. Daher muss für die Implantation in beiden beteiligten Knochen (Fibula und Tibia) ein Gewinde erzeugt werden. Da die Sprunggelenkgabel aber nicht absolut stabil werden darf, sondern nur elastisch-stabil, um die Drehbewegung des Wadenbeins im Sprunggelenk zu ermöglichen, wird die Stellschraube immer bereits nach Ablauf von sechs Wochen nach erfolgter Bandheilung entfernt. Länger verbliebene Stellschrauben oder regelhaft belastete Stellschrauben brechen und sind dann nur sehr aufwändig zu entfernen.

Aktuelle Studien zeigen, dass die tibiofibulare Syndesmose mit einem Fadenkonstrukt funktioneller stabilisiert werden kann. Hier besteht der Vorteil, dass die Fibula in ihrer natürlichen Rotationsbewegung durch das Fadenkonstrukt nicht behindert wird und das Implantat im Verlauf nicht entfernt werden muss.

Nachbehandlung

In diesen sechs Wochen muss unbedingt die volle Belastung eines operierten Beines mit Sprunggelenkfraktur vermieden werden, um die Heilung der Syndesmose nicht zu gefährden und den Bruch der Stellschraube zu verhindern. Die Entlastung wird mit Unterarmgehstützen durchgeführt. Bei übungsstabil durchgeführter Osteosynthese ist ein sogenannter Fußsohlenkontakt oder Abrollen unter Verwendung von Unterarmgehstützen sinnvoll. Bis zur Erreichung der Vollbelastung nach etwa sechs Wochen muss eine Thromboseprophylaxe mit Heparin erfolgen. Die Entfernung des zur Bruchstabilisierung eingebrachten Osteosynthese-Materials sollte am Sprunggelenk frühestens nach etwa einem Jahr erfolgen. Einfache Zugschrauben können auch verbleiben.

Komplikationen

Die oft sehr dünnen Hautverhältnisse, zusammen mit der durch Schwellung und knöcherner Fehlstellung erfolgten Bindegewebsschädigung, führen leicht zu Drucknekrosen der Haut, die gelegentlich sogar die vorzeitige Metallentfernung notwendig machen. Besonders kritisch in dieser Hinsicht ist die Situation, bei der nach dem (Verrenkungs-)Bruch das Gelenk in Verrenkungsposition verbleibt, weil dabei die Haut meist über dem gebrochenen Innenknöchel massiv unter Spannung gerät. Hier kann nur eine schnellstmögliche Grobreposition (Einrenkung) durch Längszug an der Ferse – notfalls auch durch Laien (z. B. Sporttrainer) – das Schlimmste verhindern.

Bei zu früher Belastung (mangelnde Compliance) droht eine Verlagerung oder gar der Ausbruch des Osteosynthese-Materials mit der Folge einer ausbleibenden Bruchheilung oder Falschgelenkbildung (Pseudarthrose). Besonders häufig tritt diese Komplikation bei älteren Patienten auf, deren Knochen aufgrund einer Osteoporose kaum Halt für das Osteosynthese-Material bietet und die zudem wegen des höheren Alters auch Probleme bei der sicheren Durchführung der Bruch-Entlastung mittels Unterarmgehstützen haben. Daher kommen für diese Personengruppe oft spezielle Orthesenschuhe zum Einsatz.

Tiefe Wundinfektionen können zu einer Knocheninfektion (Osteomyelitis) und/oder einer frühzeitigen massiven Arthrose des Sprunggelenks führen. Oft ist hier die operative Versteifung des Gelenkes die einzig mögliche definitive Maßnahme, um schmerzfreies Gehen zu ermöglichen.

Die Ruhigstellung oder Entlastung eines Beines führt besonders nach Operationen zu einer deutlichen Erhöhung des Risikos für das Entstehen einer tiefen Venenthrombose. Zur Prophylaxe werden tägliche Injektionen von niedermolekularem Heparin durchgeführt.

Komplikationen sind besonders häufig bei Patienten mit Durchblutungsstörungen (z. B. starke Raucher) oder bei Diabetikern. Diese Tatsache muss bei der Beurteilung der Notwendigkeit einer Operation (das heißt der Indikation) dringend berücksichtigt werden. Auch auf das operative Vorgehen hat dieses Risikoprofil einen Einfluss: So sollte die Operation zur Vermeidung von Wundrandnekrosen und möglichen folgenden Wundinfekten nicht in Blutsperre durchgeführt werden.

Darüber hinaus kann eine unzureichende Reposition des Knochenbruchs zu einer Fehlverheilung (malunion) und schmerzhaften Funktionseinschränkungen bis hin zur posttraumatischen Arthrose führen. Bereits eine Verkürzung oder Verschiebung (Translation) des distalen Außenknöchel-Fragments um 2 mm oder eine Verkippung oder Rotation um 5° führen zu einer deutlichen Veränderung der Biomechanik und zum Risiko einer Instabilität und vorzeitigen Arthrose – weshalb eine exakte intraoperative Reposition notwendig ist. Klassischerweise kommt es bei einem Außenknöchelbruch zu einer Verschiebung des distalen Fragments nach außen (lateral) und nachfolgend zu einer Verkippung der Talusrolle nach außen (Valgisierung). In seltenen Fällen ist eine Korrektur-Osteotomie notwendig.[7]

Eine exakte Reposition ist am ehesten in einer korrekten Röntgenaufnahme des oberen Sprunggelenks (a.p. mit 20° Innenrotation, sogenannte mortise view nach Weber) zu erkennen. Dabei ist der Gelenkspalt innen, außen und oben gleichmäßig weit, eine gedachte Begrenzungslinie der Sprunggelenkgabel zeigt nur einen kleinen Spalt (soft spot) zwischen Tibia und Fibula, jedoch keine Stufenbildung. In Höhe dieses soft spots liegt innenseitig an der Fibula auch ein kleiner Dorn als Ansatz der vorderen Syndesmose, der dem proximalen Knorpelende des oberen Sprunggelenks entspricht und bei einer Verkürzung nach proximal verlagert ist. Außerdem lässt sich im Normalfall ein Kreis exakt in die distale Kontur der Außenknöchelspitze und die seitliche Begrenzung des Processus fibularis tali denken, nicht jedoch bei einer Verkürzung des Außenknöchels. Bei einer Verdrehung des Außenknöchelfragments ist außerdem im CT die Kongruenz zwischen Malleolus lateralis und Incisura fibularis tibiae aufgehoben.[8]

Siehe auch

Literatur

  • Burghard Breitner, Franz Gschnitzer, Ernst Kern, Leonhard Schweiberer: Traumatologie. In: Chirurgische Operationslehre. 2. Auflage. Band VIII, Nr. 1. Urban & Schwarzenberg, München Wien Baltimore 1987, ISBN 3-541-14482-3, Konservative und operative Frakturbehandlung.
  • Burghard Breitner, Franz Gschnitzer, Ernst Kern, Leonhard Schweiberer: Traumatologie. In: Chirurgische Operationslehre. 2. Auflage. Band XI, Nr. 4. Urban & Schwarzenberg, München Wien Baltimore 1987, ISBN 3-541-14512-9, Untere Extremität.
  • Norbert Michael Meenen et al.: Sprunggelenkfraktur. Leitlinien Unfallchirurgie. 2. Auflage. Thieme, Stuttgart New York 1998, ISBN 3-13-110262-4.
  • Norbert Michael Meenen, D. E. Lorke, M. Westerhoff, M. Dallek, K. H. Jungbluth: Isolated fracture of Volkmann’s triangle – a unique injury. In: Unfallchirurgie. Band 19, Nr. 2, 1993, ISBN 3-13-110262-4, S. 98–107.
  • Michael Wagner, Klaus Dann: Sprunggelenk. In: Axel Rüter, Otmar Trenz, Michael Wagner (Hrsg.): Unfallchirurgie. 1. Auflage. Urban & Schwarzenberg, München Wien Baltimore 1995, ISBN 3-541-17201-0, Kap. 29, S. 851 ff.
  • Rüdiger Döhler: Malleolarfrakturen, in ders.: Lexikon Orthopädische Chirurgie. Springer, Berlin Heidelberg New York 2003, Neudruck 2013, ISBN 978-3-642-62529-9, S. 121–122.

Einzelnachweise

  1. N. M. Meenen, D. E. Lorke, M. Westerhoff, M. Dallek, K. H. Jungbluth: Die isolierte Fraktur des Volkmannschen Dreiecks – ein eigenständiges Verletzungsbild. In: Unfallchirurgie. 19, 1993, S. 98–107.
  2. a b Wagner, Dann; 1995, S. 854.
  3. Wagner, Dann; 1995, S. 853.
  4. R. McRae, M. Esser: Praxis der Frakturbehandlung. 4. Auflage. Urban & Fischer bei Elsevier, Stuttgart / München 2009, ISBN 3-437-24850-2, Verletzungen im Bereich des Sprunggelenks, S. 382 (books.google.de [abgerufen am 23. Januar 2011]).
  5. Sprunggelenkfraktur. In: Leitlinien der Deutschen Gesellschaft für Unfallchirurgie. AWMF-Leitlinien-Register Nr. 012/003, Entwicklungsstufe: 1, AWMF online
  6. drk.de
  7. R. K. Marti, L. F. B. Raaymakers, S. Rammelt: Rekonstruktion fehlverheilter Sprunggelenkfrakturen. In: Fuß & Sprunggelenk. 7, 2009, S. 78–87.
  8. B. G. Weber: Lengthening osteotomy of the fibula to correct a widened mortice of the ankle after fracture. In: Int Orthop. 4, 1981, S. 289–293. PMID 7014480