Killian-Jamieson-Divertikel
| Klassifikation nach ICD-10 | |
|---|---|
| K22.5 | Divertikel des Ösophagus, erworben |
| ICD-10 online (WHO-Version 2019) | |
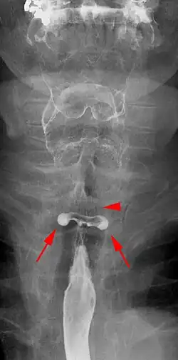
Das Killian-Jamieson-Divertikel ist wie das viel häufigere Zenker-Divertikel ein Pulsionsdivertikel am oberen Speiseröhren-Sphinkter. Es hat seinen Ursprung jedoch unmittelbar unterhalb des Sphinkters und ist somit im Gegensatz zum Zenker-Divertikel tatsächlich ein Divertikel der Speiseröhre.
Killian-Jamieson-Divertikel können als permanente Form (Divertikel auch in der Ruhephase zwischen zwei Schluckakten erkennbar) mit den transienten Pouches dieser Region (nur während des Schluckens hervortretend) zusammengefasst werden.
Die Lokalisation nach ventrolateral unmittelbar unter dem Musculus cricopharyngeus oder nach dorsal durch das Laimer-Dreieck ergibt sich durch die anatomischen Schwachstellen hier. Mitursächlich sind Druckspitzen zwischen einzelnen Muskelpartien der obersten Anteils der Speiseröhre.
Killian-Jamieson-Divertikel erreichen selten eine Größe von mehr als 1,5 cm. Divertikelträger sind in der Regel symptomlos, was sich dadurch erklärt, dass eventuell retinierte Speisereste nicht wie beim Zenker-Divertikel nach oben in den Pharynx oder in die Luftwege gelangen können.


Literatur
- Stefan Feuerbach (Hrsg.): Handbuch diagnostische Radiologie. Gastrointestinales System. Springer, Berlin u. a. 2007, ISBN 978-3-540-41418-6.
- Stephen E. Rubesin, Marc S. Levine: Killian-Jamieson Diverticula. Radiographic Findings in 16 Patients. In: American Journal of Roentgenology. Bd. 177, 2001, S. 85–89, doi:10.2214/ajr.177.1.1770085.