Juveniles Nasenrachenfibrom
| Klassifikation nach ICD-10 | |
|---|---|
| D10 | Gutartige Neubildung des Mundes und des Pharynx |
| D10.6 | Nasopharynx |
| ICD-10 online (WHO-Version 2019) | |
Bei dem juvenilen Nasenrachenfibrom (englisch juvenile nasopharyngeal angiofibroma, JNA) handelt es sich um einen histologisch gutartigen Tumor, der vom Rachendach ausgeht. Es tritt meist bei männlichen Jugendlichen ab dem 10. Lebensjahr auf. Histologisch handelt es sich um ein Angiofibrom, also ein gefäßreiches Fibrom. Es wächst lokal verdrängend und destruierend in die Nasennebenhöhlen, die Orbita, die Fossa pterygopalatina und die Nase ein. Aus diesem Grund ist sein Wachstumsverhalten als bösartig zu betrachten.
Epidemiologie
Juvenile Nasenrachenfibrome sind in westlichen Ländern selten und machen etwa 0,05 % aller HNO-Tumoren aus.[1] In Indien kommen sie etwa 5 Mal häufiger vor.[2]
Symptome
Es kommt zur Behinderung der Nasenatmung. Es kann außerdem zu eitriger Rhinitis, Tubenfunktionsstörung und damit zu einer Schallleitungsschwerhörigkeit kommen. Die Patienten können ebenfalls über Kopfschmerzen klagen und aufgrund des gut durchbluteten Tumors kommt es zu Nasenbluten, da die dünnwandigen Gefäße schnell zerreißen können.
Komplikationen
Bei Schädelbasisinfiltration des juvenilen Nasenrachenfibroms können die Hirnnerven I–VI ausfallen. Wegen der zahlreichen Gefäße können Tumorblutungen zum Beispiel bei einer Gewebeprobe lebensbedrohlich sein. Daher werden vor der definitiven Operation keine Biopsien durchgeführt. Durch Einbruch in die Orbita kann ein Exophthalmus entstehen.
Diagnose
Die Diagnose wird durch die posteriore Rhinoskopie gestellt. Hierbei imponiert ein knolliger, palpatorisch harter, grauroter Tumor von glatter Oberfläche im Nasenrachenraum mit Ausläufern in die Choanen und Gefäßzeichnung an der Oberfläche. Ebenfalls kommen bildgebende Verfahren wie die Magnetresonanztomographie und bei Verdacht auf Knochendestruktion die Computertomographie zum Einsatz. Eine Angiographie mit Embolisation des Tumors kann durchgeführt werden, um die Blutungsgefahr zu senken. Wegen des hohen Blutungsrisikos des Tumors wird keine Biopsie des Tumors entnommen.
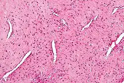
Histologie und Molekularbiologie

Das histologische Bild wird von dünnwandigen Gefäßen ohne Myozyten und Bindegewebszellen geprägt. Zur Molekularbiologie gibt es noch wenig Daten. Es wurde eine erhöhte Expression von c-myc, VEGF, bFGF, PDGF, c-kit, H-Ras und TP53 beobachtet. Auch β-Catenin war überexprimiert.[3] Es bestehen Hinweise, dass das biologische Verhalten durch molekularbiologische Eigenschaften beeinflusst wird. Eine erhöhte Expression von VEGF war mit einer Invasion der Schädelbasis und vermehrter Blutungsneigung assoziiert. Die Befunde müssen jedoch noch an größeren Kollektiven bestätigt werden.[4]
Stadien
Es wurden zahlreiche Stadieneinteilungen publiziert.[5] Eine häufig verwendete ist die von Radkowski:[6]
| Stadium | Ausdehnung | Bemerkungen |
|---|---|---|
| IA | Tumor beschränkt auf die Nase oder den Nasopharynx | |
| IB | Ausbreitung in eine oder mehrere Nasennebenhöhlen | |
| IIA | Minimale Ausdehnung durch das Foramen sphenopalatinum, geringer, medialer Teil der Fossa pterygopalatina | |
| IIB | Ausgedehnte Beteiligung der Fossa pterygopalatina, Verlagerung der hinteren Wand der Maxilla. Laterale oder ventralen Verlagerung von Ästen der Arteria maxillaris. Ausdehnung nach cranial mit Erosion des Orbitabodens. | |
| IIC | Ausdehnung durch die Fossa pterygopalatina in die Weichteile der Wange, in die Fossa temporalis oder nach dorsal zum Processus pterygoideus | |
| IIIA | Erosion der Schädelbasis mit minimaler intracranialer Ausdehnung | |
| IIIB | Erosion der Schädelbasis mit ausgedehnter intracranialer Beteiligung. Mit oder ohne Befall des Sinus cavernosus. | Meistens inoperabel. Mit Strahlentherapie kontrollierbar.[7] |
Therapie und Prognose
Bei großen Befunden ist eine Operation indiziert. Die Operation kann offen oder endoskopisch erfolgen.[8] Die endoskopische Resektion wird bevorzugt eingesetzt, weil weniger postoperative Komplikationen beobachtet wurden als bei offener Resektion.[9] Vorhergehend sollte, wenn möglich, eine Embolisation des Tumors durchgeführt werden, um die Blutungsgefahr zu vermindern. Diese kann zum Beispiel durch superselektive Injektion von Polyvinylalkohol 24 bis 72 Stunden vor der Operation erfolgen.[9] Die Bestrahlung sollte nur bei inoperablen Tumoren durchgeführt werden. Wegen der Nähe von Risikoorganen (Gehirn, Auge, Sehnerv, Hirnnerven, Ohr) sollten moderne Techniken wie IMRT zur Anwendung kommen. Mit Gesamtdosen von 40 bis 46 Gy konnten gute Ergebnisse erzielt werden.[7] Das juvenile Nasenrachenfibrom kann sich nach der Pubertät spontan zurückbilden.
Historie
Die erste Beschreibung eines juvenilen Nasenrachenfibrom findet sich bei Hippokrates, der ein JNA mittels Längsspaltung der Nase entfernte.[10] Die erste moderne Beschreibung und Namensgebung erfolgte durch Chauveau.[11]
Literatur
- P. Nagel: Basics Hals-Nasen-Ohren-Heilkunde. Urban & Fischer, Elsevier 2005, ISBN 3-437-42176-X, S. 80.
- A. Franzen: Hals-Nasen-Ohrenheilkunde: Kurzlehrbuch für den GK 3. Urban & Fischer, Elsevier 2001, ISBN 3-437-42960-4, S. 16.
- Lenarz, Boenninghaus: HNO. 14. Auflage. Springer, 2012, ISBN 978-3-642-21130-0, S. 256.
Einzelnachweise
- ↑ Wanpeng Li, Yang Ni, Hanyu Lu, Li Hu, Dehui Wang: Current perspectives on the origin theory of juvenile nasopharyngeal angiofibroma. In: Discovery Medicine. Band 27, Nr. 150, 2019, ISSN 1944-7930, S. 245–254, PMID 31421693.
- ↑ A. Mishra, S. C. Mishra: Changing trends in the incidence of juvenile nasopharyngeal angiofibroma: seven decades of experience at King George’s Medical University, Lucknow, India. In: The Journal of Laryngology and Otology. Band 130, Nr. 4, April 2016, ISSN 1748-5460, S. 363–368, doi:10.1017/S0022215116000268, PMID 26864451.
- ↑ Praveen Pandey, Anupam Mishra, Ashoak Mani Tripathi, Veerendra Verma, Ritu Trivedi: Current molecular profile of juvenile nasopharyngeal angiofibroma: First comprehensive study from India. In: The Laryngoscope. Band 127, Nr. 3, 2017, ISSN 1531-4995, S. E100–E106, doi:10.1002/lary.26250, PMID 27577998.
- ↑ Anupam Mishra, Subhash Chandra Mishra, Ashoak Mani Tripathi, Amita Pandey: Clinical correlation of molecular (VEGF, FGF, PDGF, c-Myc, c-Kit, Ras, p53) expression in juvenile nasopharyngeal angiofibroma. In: European archives of oto-rhino-laryngology: official journal of the European Federation of Oto-Rhino-Laryngological Societies (EUFOS): affiliated with the German Society for Oto-Rhino-Laryngology – Head and Neck Surgery. Band 275, Nr. 11, 2018, ISSN 1434-4726, S. 2719–2726, doi:10.1007/s00405-018-5110-5, PMID 30171340.
- ↑ Nada Ali Alshaikh, Anna Eleftheriadou: Juvenile nasopharyngeal angiofibroma staging: An overview. In: Ear, Nose & Throat Journal. Band 94, Nr. 6, Juni 2015, ISSN 1942-7522, S. E12–E22, doi:10.1177/014556131509400615, PMID 26053985.
- ↑ D. Radkowski, T. McGill, G. B. Healy, L. Ohlms, D. T. Jones: Angiofibroma. Changes in staging and treatment. In: Archives of Otolaryngology—Head & Neck Surgery. Band 122, Nr. 2, Februar 1996, ISSN 0886-4470, S. 122–129, doi:10.1001/archotol.1996.01890140012004, PMID 8630204.
- ↑ a b Santam Chakraborty, Sushmita Ghoshal, Vijay Maruti Patil, Arun Singh Oinam, Suresh C. Sharma: Conformal Radiotherapy in the Treatment of Advanced Juvenile Nasopharyngeal Angiofibroma With Intracranial Extension: An Institutional Experience. In: International Journal of Radiation Oncology • Biology • Physics. Band 80, Nr. 5, August 2011, S. 1398–1404, doi:10.1016/j.ijrobp.2010.04.048 (elsevier.com [abgerufen am 10. September 2020]).
- ↑ Zain Boghani, Qasim Husain, Vivek V. Kanumuri, Mohemmed N. Khan, Saurin Sangvhi: Juvenile nasopharyngeal angiofibroma: a systematic review and comparison of endoscopic, endoscopic-assisted, and open resection in 1047 cases. In: The Laryngoscope. Band 123, Nr. 4, April 2013, ISSN 1531-4995, S. 859–869, doi:10.1002/lary.23843, PMID 23483486.
- ↑ a b Lorenz Epprecht, Marc Mosimann, Domenic Vital, David Holzmann: Morbidity and Volumetric Progression in Juvenile Nasopharyngeal Angiofibroma in a Long-Term Follow-Up. In: Journal of Neurological Surgery. Part B, Skull Base. Band 79, Nr. 6, Dezember 2018, ISSN 2193-6331, S. 533–537, doi:10.1055/s-0038-1635255, PMID 30456021, PMC 6239873 (freier Volltext).
- ↑ Eric A. Mair, Andrew Battiata, John D. Casler: Endoscopic Laser-Assisted Excision of Juvenile Nasopharyngeal Angiofibromas. In: Archives of Otolaryngology—Head & Neck Surgery. Band 129, Nr. 4, 1. April 2003, ISSN 0886-4470, S. 454, doi:10.1001/archotol.129.4.454 (jamanetwork.com [abgerufen am 10. September 2020]).
- ↑ C. Chauveau: Juvenile nasopharyngeal angiofibroma. In: Arch Int Laryngology. 1906.