Jones-Fraktur
| Klassifikation nach ICD-10 | |
|---|---|
| S92.3 | Fraktur der Mittelfußknochen |
| ICD-10 online (WHO-Version 2019) | |

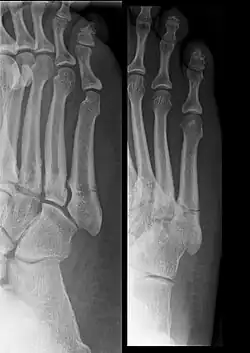
Bei der Jones-Fraktur handelt es sich um einen basisnahen Knochenbruch des 5. Mittelfußknochens im proximalen meta-diaphysären Übergang ohne Beteiligung des tarsometatarsalen Gelenks (meist aber des intermetatarsalen Gelenkes zum Metatarsale 4). Diese Fraktur ist seltener als die Abrissfraktur an der Tuberositas mit Gelenkbeteiligung, jedoch ist die Gefahr eines Nichtverheilens (Pseudarthrose) deutlich höher, vor allem bei konservativer Therapie.[1]
Die bereits dem französischen Chirurgen Malgaigne 1847 bekannt gewesene Fraktur ist benannt nach dem orthopädischen Chirurgen Sir Robert Jones (1858–1933),[2] der sich 1902 diese Fraktur selbst während einer Tanzveranstaltung zugezogen und sie anschließend beschrieben hat. Im Englischen wird diese Fraktur gelegentlich und fälschlicherweise auch dancer’s fracture genannt, obwohl dieser Begriff eigentlich die Abrissfraktur der Tuberositas bezeichnet und synonym der „Pseudo-Jones-Fraktur“ ist.
Anatomie und Einteilung
Die Jones-Fraktur verläuft im meta-diaphysären Übergang quer zur Schaftachse etwa 1,5 bis 2 cm distal des tarsometatarsalen Gelenks, das nicht beteiligt ist. Dieser Bereich ist schlecht durchblutet, was die Ausbildung von Pseudarthrosen begünstigt. Der Bruch ist fast nie verschoben (disloziert). Oftmals werden auch andere Brüche der Basis des fünften Mittelfußknochens als „Jones-Fraktur“ oder als „Pseudo-Jones-Fraktur“ bezeichnet. Eine Einteilung der Knochenbrüche des fünften Mittelfußknochens wurde von Dameron und Quill 1995 vorgeschlagen:
- Dameron-Quill Typ 1: Abriss der Tuberositas (avulsion fracture, Pseudo-Jones’ fracture, dancer’s fracture)
- Dameron-Quill Typ 2: Fraktur im meta-diaphysären Übergang (true Jones’ fracture)
- Dameron-Quill Typ 3: Stressfraktur des proximalen Schafts
- Dameron-Quill Typ 4: distale Frakturen von Schaft, Hals oder Kopf
Andere Autoren gruppieren Typ 2 und 3 zusammen, da die Stressfrakturen auf etwa derselben Höhe im meta-diaphysären Übergang liegen, und sehen in Typ 3 eine verzögert oder nicht geheilte Jones-Fraktur (chronic Jones’ fracture). Dabei lassen eine Sklerosierung des Markraums, ein verbreiterter Bruchspalt und eventuell beginnende Kallus-Bildung auf eine nicht akute Fraktur schließen, mit vollständiger Obliteration des Markraums bei einer Pseudarthrose. Nach dem abnehmenden Heilpotenzial schlugen Torg und Kollegen eine Klassifizierung vor.[3]
- Torg Typ 1 – akuter Knochenbruch
- Torg Typ 2 – Bruch mit verzögerter Bruchheilung bei Markraum-Sklerosierung
- Torg Typ 3 – vollständige Pseudarthrose
In dieser Studie wurden 46 neu diagnostizierte Frakturen der Typen 2 und 3 nach Dameron-Quill (also ohne Beteiligung des tarsometatarsalen Gelenkes) analysiert, und dabei 25 Mal eine akute Fraktur, 12 Mal ein älterer noch nicht verheilter Knochenbruch und neunmal eine vollständige Pseudarthrose festgestellt.
Unterschieden werden muss eine normale Apophysenfuge, die im Alter zwischen 9 und 14 Jahren besteht und einen Verlauf längs zur Schaftachse aufweist, sowie ein akzessorisches Knöchelchen an der Spitze des Tuberositas an der Metatarsale-V-Basis. Dieses Os peroneum wird etwa bei 15 % der Menschen beobachtet.
Therapie
Aufgrund der kritischen Blutversorgung ist die Heilung häufig verzögert und eine knöcherne Durchbauung wird oftmals erst nach 8 bis 10 Wochen Gipsruhigstellung erreicht. Bei Notwendigkeit einer schnellen Wiederherstellung der Mobilität wird oftmals eine Osteosynthese vorgenommen. Angewandt werden beispielsweise eine intramedulläre Schraubenosteosynthese, eine Zuggurtung mit K-Draht oder eine Miniplattenosteosynthese.
Literatur
- S. Rammelt u. a.: Metatarsal fractures. In: Injury, 35, 2004, Suppl 2: SB77–86. PMID 15315882
Einzelnachweise
- ↑ K.-K. Dittel, K. Wiese: Komplikationsmanagement in der Traumatologie. Thieme-Verlag, Stuttgart 2003, ISBN 3-13-129161-3
- ↑ Barbara I. Tshisuaka: Jones, Sir Robert. In: Werner E. Gerabek, Bernhard D. Haage, Gundolf Keil, Wolfgang Wegner (Hrsg.): Enzyklopädie Medizingeschichte. De Gruyter, Berlin / New York 2005, ISBN 3-11-015714-4, S. 704.
- ↑ J. S. Torg u. a.: Fractures of the base of the fifth metatarsal distal to the tuberosity. In: J Bone Joint Surg, 66, 1984, S. 209–214. PMID 2197611 (Review)