Jaffé-Campanacci-Syndrom
| Klassifikation nach ICD-10 | |
|---|---|
| Q74.8 | Sonstige näher bezeichnete angeborene Fehlbildungen der Extremität |
| Q78.9 | Osteochondrodysplasie, nicht näher bezeichnet |
| ICD-10 online (WHO-Version 2019) | |
Das Jaffé-Campanacci-Syndrom ist eine umschriebene Dysplasie der Tibia.[1] Beschrieben wurde sie von Henry Lewis Jaffe und Louis Lichtenstein (1942) und Mario Campanacci.[2][3]

Definition
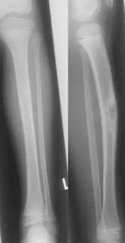
Beim Jaffé-Campanacci-Syndrom handelt sich um eine (mitwachsende) osteofibröse Läsion kortikal vorwiegend in der Tibia mit Auftreten unter 10 Jahren. Histologisch besteht Ähnlichkeit mit dem ossifizierenden Knochenfibrom. Zunehmende Deformierung mit Antekurvation und Zunahme während des Wachstumsalters, Kortikalisdestruktion und periostale Reaktion.[4]
Die Ursache dieser seltenen, nicht malignen Erkrankung ist nicht bekannt. Sie wird als fibrovaskulärer Defekt angesehen. Eventuell handelt es sich um eine Form der Neurofibromatose Typ 1.[5][6]
Klinik
Die Krankheit fällt mit schmerzloser Vorwölbung des Schienbeines in den ersten 5 Lebensjahren auf, Knaben sind häufiger betroffen. Die typische Lokalisation ist ventral in Schaftmitte in der Tibiakortikalis. Mit Ende des Wachstums kommt die Erkrankung zum Stillstand.
Die Diagnose ergibt sich neben der typischen Lokalisation aus dem Röntgenbild. Charakteristisch sind ventrale Kompaktaverdickung mit Auftreibung, den Markraum aussparende strähnige Spongiosklerosen Osteolyseherde umschließend mit insgesamt wabiger, randsklerosierter und scharf abgegrenzter Strukturveränderung.[4][7] In 20 % findet sich eine Zweitmanifestation an der Fibula.[7]
Differentialdiagnostisch abzugrenzen ist das Adamantinom des Knochens sowie die Fibröse Dysplasie.[8][4]
Literatur
- Mario Campanacci, M. Laus: Osteofibrous dysplasia of the tibia and fibula. The Journal of Bone & Joint Surgery [Am] 63-A (1981), S. 367.
- Matthias Napp, Bernd Stengel, Joachim Buschmann, Rüdiger Döhler: Osteofibröse Dysplasie der Tibia Campanacci. Ein 12-Jahresergebnis. Der Chirurg 80 (2009), S. 241–244. doi:10.1007/s00104-008-1591-x
Einzelnachweise
- ↑ Campanacci's syndrome (whonamedit.com)
- ↑ H. L. Jaffe, L. Lichtenstein: Non-osteogenic fibroma of bone. In: The American journal of pathology. Band 18, Nummer 2, März 1942, S. 205–221, PMC 2032933 (freier Volltext), ISSN 0002-9440.
- ↑ M. Campanacci, C. Leonessa: Displasia fibrosa dello scheletro. La Chirurgia degli organi di movimento 59 (1970), S. 195–225. ISSN 0009-4749. PMID 4931053.
- ↑ a b c C. Adler: Knochenkrankheiten. Springer 1983, ISBN 3-540-62836-3, S. 316, 336.
- ↑ R. S. Colby, R. A. Saul: Is Jaffe-Campanacci syndrome just a manifestation of neurofibromatosis type 1? In: American journal of medical genetics. Part A. Band 123A, Nummer 1, November 2003, S. 60–63, doi:10.1002/ajmg.a.20490, PMID 14556247.
- ↑ Eintrag zu Fibromatose, multiple nicht ossifizierende. In: Orphanet (Datenbank für seltene Krankheiten)
- ↑ a b J. Freyschmidt, H. Ostertag, G. Jundt: Knochentumoren. Springer, 2003, ISBN 3-540-40364-7, S. 710.
- ↑ M. Hatori, M. Watanabe, M. Hosaka, H. Sasano, M. Narita, S. Kokubun: A classic adamantinoma arising from osteofibrous dysplasia-like adamantinoma in the lower leg: a case report and review of the literature. Tohoku J Exp Med 209 (2006), S. 53–59, PMID 16636523.