Jörgen Nilsen Schaumann
Jörgen Nilsen Schaumann (* 1879; † 1953) war ein schwedischer Dermatologe.[1]
Leben
.jpg)
Jörgen Schaumann studierte an der Universität Lund Medizin und schloss sein Studium 1907 in Stockholm ab. Danach arbeitete er am Universitätslaboratorium für Bakteriologie in Kopenhagen und ab 1908 im Krankenhaus von St. Göran. 1912 wurde er als Arzt am Finsen Institute in Kopenhagen eingestellt, wo er bis zum Ende seiner Laufbahn verblieb. Seine Forschungsgebiete waren die Tuberkulose und die Röntgentherapie.
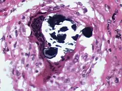
Schaumann differenzierte die verschiedenen Syndrome der von Ernest Besnier als Lupus pernio und von Cæsar Peter Møller Boeck als benignes Sarkoid bezeichneten Sarkoidose (Morbus Besnier-Boeck-Schaumann) und definierte dieses Krankheitsbild als Allgemeinkrankheit, die auch innere Organe befällt.[2] Seine entsprechende Arbeit mit dem Titel Sur le lupus pernio, die er im November 1914 vorlegte, wurde von der Societé Francaise de Dermatologie ausgezeichnet.[3] Die bei Sarkoidose auftretenden Schaumann-Körper oder Schaumann-Körperchen sind nach ihm benannt. Hierbei handelt es sich um kleine Einschlüsse innerhalb von Langhans-Riesenzellen.[4] Aufgrund seines Beitrags zur Erforschung der Sarkoidose wird diese Erkrankung auch als Morbus Besnier-Boeck-Schaumann bezeichnet.[5]
1939 erhielt Jörgen Nilsen Schaumann den Professorentitel und 1940 bekam er den "Jubilee Prize of the Society of Swedish Physicians" ("Svenska Läkaresällskapet"). 1946 wurde er Ehrendoktor der Pariser Universität Sorbonne und im darauffolgenden Jahr korrespondierendes Mitglied der "l'Académie nationale de Médecine". 1946 wurde Schaumann emeritiert, er arbeitete jedoch weitere sieben Jahre an der Erforschung der benignen Lymphogranulomatose, bis er 1953 an einem Herzinfarkt starb.
Publikationen
- Sur le lupus pernio, mémoire présenté en Novembre 1914 à la Société française de Dermatologie et de Syphiligraphie pour le Prix Zambaco. Stockholm 1934.
- Recherches sur le lupus pernio et ses relations avec les sarcoides cutanées et sous-cutanées. In: Nordiskt Medicinskt Arkiv, Stockholm, 1917, avd. II, nr. 17: 1-81. Boeck's sarcoid.
- Étude sur le lupus pernio et ses rapports avec sarcoïdes et la tuberculose. Annales de dermatologie et de syphilographie, Paris, 1917, 5 sér., 6: 357-373.
- Le lupus pernio et les sarcoides au point de vue étiologique. In: Acta Dermato-Venereologica 1923: 679–696.
Einzelnachweise
- ↑ Eintrag zu Jörgen Schaumann in Altmeyers Enzyklopädie (online) Springer, 2017
- ↑ Vgl. Paul Diepgen, Heinz Goerke: Aschoff/Diepgen/Goerke: Kurze Übersichtstabelle zur Geschichte der Medizin. 7., neubearbeitete Auflage. Springer, Berlin/Göttingen/Heidelberg 1960, S. 59.
- ↑ L. Diethelm et al. (Hrsg.): Handbuch der medizinischen Radiologie. Band 9. Springer Verlag, Berlin 1979, ISBN 978-3-642-81169-2, S. 250.
- ↑ Eintrag zu den Schaumann-Körperchen ( des vom 5. August 2014 im Internet Archive) Info: Der Archivlink wurde automatisch eingesetzt und noch nicht geprüft. Bitte prüfe Original- und Archivlink gemäß Anleitung und entferne dann diesen Hinweis. im Roche-Lexikon, online Elsevier-Verlag
- ↑ Eintrag zur Sarkoidose in Altmeyers Enzyklopädie (online) Springer 2017