Lymphknoten

Ein Lymphknoten oder (fälschlich) eine Lymphdrüse ist eine „Filterstation“ für die Lymphe (Gewebswasser) und gehört zum Lymphsystem. Jeder Lymphknoten ist für die Aufnahme und Filtration der Lymphe einer Körperregion zuständig. Dieses gefilterte Areal wird tributäres Gebiet genannt, der Lymphknoten ist der regionäre Lymphknoten dieses Gebiets. Lymphknoten gehören zum Abwehrsystem (Immunsystem) eines Organismus. Menschen haben 300 bis 700 Lymphknoten.[1] Man findet sie bei allen Säugetieren, in primitiver Form auch bei Vögeln.
Lateinische Synonyme sind: Nodus lymphoideus,[2] Nodus lymphaticus,[2][3] Nodus lympharis[4] (Abkürzung jeweils Nodus lymphaticus = Nl., Plural Nodi lymphatici = Nll.) oder Lymphonodus[2][5] (Abkürzung Ln., Plural Lnn.). Der Begriff Lymphe entstammt dem Lateinischen lympha „Quellwasser“.
Größe
Lymphknoten sind beim Menschen normalerweise circa 5–10 mm groß und oval oder unregelmäßig geformt, in der Leiste und am Hals können sie auch bis 20 mm groß werden. Sind sie größer als 2 cm und nehmen eine kugelförmige Gestalt an, dann sind sie aktiviert und mit der Abwehr von Krankheiten beschäftigt. Bei manchen Tieren können Lymphknoten zu sehr großen Gebilden verschmelzen. So ist beispielsweise der Kniefaltenlymphknoten beim Rind bis zu 11 cm lang und 2 cm dick.[6]

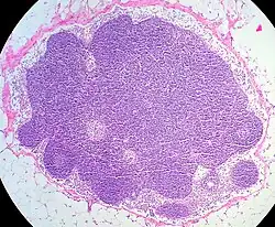
.jpg)
1 Kapsel, 2 Randsinus
3 Sekundärfollikel
4 Parafollikulärer Raum
5 Trabekel

Aufbau und Funktion
Ein Lymphknoten ist von einer Kapsel umgeben, von der Bindegewebssepten (Trabekel) ins Innere ziehen. Das funktionelle Gewebe im Inneren ist ein lymphoretikuläres Gewebe. Es besteht aus Retikulumzellen und freien Zellen (Lymphozyten, antigenpräsentierende Zellen). Das lymphoretikuläre Gewebe des Lymphknotens ist in drei Gebiete gegliedert, in denen die Lymphozyten an körperfremden Eiweißen immunologisch „reifen“:
- In der Rinde (Cortex nodi lymphoidei) sind die Lymphozyten zu Rindenfollikeln (Lymphknötchen) organisiert. Sie dienen der Vermehrung und Differenzierung der B-Lymphozyten.
- Im Mark (Medulla) ist das lymphoretikuläre Gewebe in Strängen gelagert.
- Zwischen Rinde und Mark liegt eine Übergangszone (Paracortex). Dort findet die Vermehrung der T-Lymphozyten statt.
Die Retikulumzellen bilden im Lymphknoten ein dreidimensionales Maschenwerk, dessen Hohlräume als Sinus lymphaticus bezeichnet werden. Dieser wird in den unter der Kapsel liegenden Randsinus, den im Bereich des Marks befindlichen Marksinus (Syn. Medullarsinus) und den dazwischenliegenden Intermediärsinus untergliedert.
Die Lymphe aus dem Einzugsgebiet des Lymphknotens wird als Primärlymphe bezeichnet. Sie tritt über zuführende Lymphgefäße (Vasa lymphatica afferentia, Singular Vas lymphaticum afferens) durch die Kapsel und durchströmt primär das Sinussystem. Die Sinuswandzellen und Makrophagen vollziehen unspezifische Phagozytose. Ein geringer Teil der Primärlymphe sickert in das lymphatische Gewebe ein und regt bei Vorhandensein von Antigenen die Differenzierung von Lymphozyten an. Die dabei entstehenden ausdifferenzierten T-, Plasma- und Gedächtniszellen gelangen somit in die Lymphe, die damit zur Sekundärlymphe wird. An der Austrittspforte (Hilum oder Hilus) wird die Sekundärlymphe über ein abführendes Lymphgefäß (Vas lymphaticum efferens) abgeleitet. Diese Sekundärlymphe fließt häufig noch durch weitere Lymphknoten, die als Sammellymphknoten bezeichnet werden.
Bei den Lymphknoten der Schweine sind die Verhältnisse von Mark, Rinde, Gefäßen und damit auch der Stromweg umgekehrt. Das zuführende Gefäß tritt durch den Hilum, das Mark ist peripher, die Rinde zentral angeordnet und die abführenden Gefäße verlassen den Lymphknoten durch die Kapsel.[6]
Die wichtigsten Regionen mit Lymphknoten

- Kopf
- hinter dem Ohr: Lymphonodi retroauriculares
- unterhalb des Ohrs: Parotislymphknoten (Lnn. parotidei oder Lnn. praeauriculares)
- am Hinterhaupt: Hinterhauptlymphknoten (Lnn. occipitales)
- im Gesicht: Gesichtslymphknoten (Nll. faciales)
- am Unterkiefer: Unterkieferlymphknoten (Lnn. submandibulares)
- am Kinn: Kinnlymphknoten (Lnn. submentales)
- Hals
- Nacken: Retropharyngeallymphknoten
- entlang der Halsgefäße: Halslymphknoten
- oberhalb des Schlüsselbeins: Nodi lymphoidei supraclaviculares
- in der Achselhöhle: Achsellymphknoten
- Brust
- Bauch
- Bauchwand: Leistenlymphknoten, Kniefaltenlymphknoten
- im Bauch: Lendenlymphknoten, Magenlymphknoten
- Untere Extremität: Kniekehllymphknoten
In der Tiermedizin werden Lymphknotengruppen eines bestimmten Gebietes unter dem Begriff Lymphzentrum zusammengefasst.[6]
Untersuchungsmöglichkeiten

Oberflächlich gelegene Lymphknoten lassen sich mit den Fingern tasten. Für genauere Untersuchungen und die Darstellung tiefer Lymphknoten finden Ultraschall, Computertomografie (CT), Magnetresonanztomografie (MRT), Lymphografie und Szintigrafie (siehe Wächterlymphknoten) Anwendung.
Die anatomische Struktur des Lymphknotens kann im Ultraschall dargestellt werden und zeigt als Normalbefund einen fettigen echoarmen Hilus. Bei unspezifisch reaktiv veränderten Lymphknoten wird dieses Hiluszeichen betont und der Lymphknoten behält seine ovale Form. Ein Fehlen des Hiluszeichens kann auf eine Infiltration durch ein Malignom hinweisen. Sowohl bei reaktiven als auch malignen Lymphknoten kann sich eine Hypervaskularisation zeigen. Ein Verlust der ovalen Form zu Gunsten einer kreisrunden Form des Lymphknotens kann ebenso auf eine Malignominfiltration hinweisen. Nekrosen im Lymphknoten zeigen sich oft echofrei und können sowohl durch abscedierende Infektionen wie auch Einschmelzung einer Tumorabsiedlung entstehen.[7]
Durch eine gezielte Gewebsprobe (Biopsie) aus dem Lymphknoten oder die chirurgische Entnahme eines auffälligen Lymphknotens kann Untersuchungsmaterial für eine histopathologische Untersuchung gewonnen werden.
Erkrankungen
Bei Erkrankungen im tributären Gebiet gelangen Fremdzellen und -partikel in den regionären Lymphknoten und es kommt zu einer Reaktion. Das in Flussrichtung davor (peripherer) liegende Gebiet muss dann als Ort der Erkrankung angesehen werden. Antigene lösen die Vermehrung von B- und T-Lymphozyten aus. Der Lymphknoten schwillt infolgedessen an (Lymphadenopathie, krankhafte Lymphknotenschwellung) und wird meist erst dadurch wahrgenommen (Lymphadenitis bzw. Lymphom). Aktivierte Lymphknoten haben im Ultraschallbild einen verbreiterten dunklen Rand und sind vermehrt durchblutet. Die für ein bestimmtes Organ primär zuständigen Lymphknoten werden auch als Wächterlymphknoten bezeichnet. Diese werden bei Krebserkrankungen zuerst untersucht. Finden sich in ihnen keine Krebszellen, geht man davon aus, dass sich noch keine Metastasen auf dem Lymphweg verbreitet haben.
Es gibt Krebsarten, die direkt die Lymphknoten befallen (Morbus Hodgkin, Non-Hodgkin-Lymphome).
An Mäusen wurde 2018 gezeigt, dass in Lymphknoten implantierte Krebszellen binnen 3 Tagen, rascher als bisher angenommen, in Blutgefäße auswandern können und so in andere Organe gelangen und dort Metastasen begründen können.[8]
Literatur
- Johannes W. Rohen, Elke Lütjen-Drecoll: Funktionelle Anatomie des Menschen: Lehrbuch der makroskopischen Anatomie nach funktionellen Gesichtspunkten. Schattauer, Stuttgart 2006, ISBN 978-3-7945-2440-2, S. 147–148.
- L.C. Junqueira, J. Carneiro: Histologie: Lehrbuch der Cytologie, Histologie und mikroskopischen Anatomie des Menschen. Springer, Berlin 2013, ISBN 978-3-662-21996-6, S. 310–311.
Weblinks
Einzelnachweise
- ↑ Karl Zilles, Bernhard Tillmann: Anatomie. Springer-Verlag, 2011, ISBN 978-3-540-69483-0, S. 366
- ↑ a b c Federative Committee on Anatomical Terminology (FCAT) (1998). Terminologia Anatomica. Stuttgart: Thieme.
- ↑ His, W. (1895). Die anatomische Nomenclatur. Nomina Anatomica. Der von der Anatomischen Gesellschaft auf ihrer IX. Versammlung in Basel angenommenen Namen. Leipzig: Verlag Veit & Comp.
- ↑ Triepel, H. (1910). Nomina Anatomica. Mit Unterstützung von Fachphilologen. Wiesbaden: Verlag J. F. Bergmann.
- ↑ Stieve, H. (1949). Nomina Anatomica. Zusammengestellt von der im Jahre 1923 gewählten Nomenklatur-Kommission, unter Berücksichtigung der Vorschläge der Mitglieder der Anatomischen Gesellschaft, der Anatomical Society of Great Britain and Ireland, sowie der American Association of Anatomists, überprüft und durch Beschluß der Anatomischen Gesellschaft auf der Tagung in Jena 1935 endgültig angenommen. Vierte Auflage. Jena: Verlag Gustav Fischer.
- ↑ a b c Uwe Gille: Herz-Kreislauf- und Abwehrsystem, Angiologia. In: Franz-Viktor Salomon u. a. (Hrsg.): Anatomie für die Tiermedizin. Enke-Verlag Stuttgart, 2. Aufl. 2008, S. 404–463. ISBN 978-3-8304-1075-1
- ↑ C. Görg: Lymphknoten in Günter Schmidt, Lucas Greiner, Dieter Nürnberg: Sonografische Differenzialdiagnose, 3. Auflage, Stuttgart, 2014 S. 237–262
- ↑ Wie Lymphknoten Krebszellen verbreiten orf.at, 23. März 2018, abgerufen am 23. März 2018.