Hypophyse



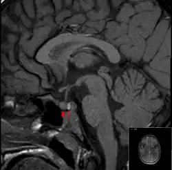
Die Hypophyse (auch griechisch-lateinisch Hypophysis cerebri und kurz Hypophysis, von altgriechisch ὑπόφυσις hypóphysis „das unten anhängende Gewächs“) oder Hirnanhangdrüse, lateinisch Glandula pituitaria, ist eine an der Basis des Gehirns „hängende“, etwa erbsengroße Hormondrüse, die vom Hypothalamus gesteuert wird und der eine zentrale übergeordnete Rolle bei der Regulation des Hormonsystems im Körper zukommt. Sie ist eine Art Schnittstelle, mit der das Gehirn über die Freisetzung von Hormonen Vorgänge wie Wachstum, Fortpflanzung und Stoffwechsel reguliert. Die Hypophyse sitzt dem Türkensattel (Sella turcica), einer knöchernen Vertiefung der mittleren Schädelgrube auf Höhe der Nase, auf.
Aufbau und Physiologie
Die Hypophyse ist mit dem Hypothalamus über den Hypophysenstiel (Infundibulum) verbunden und wird in
- Hypophysenvorderlappen (Lobus anterior hypophysis, Adenohypophyse), bestehend aus
- Pars distalis (der vordere, größte Abschnitt des Vorderlappens),
- Pars infundibularis (Pars tuberalis), den Hypophysenstiel bedeckend, und
- Pars intermedia (Hypophysenzwischenlappen, ein schmaler Mittelstreifen), und
- Hypophysenhinterlappen (Lobus posterior hypophysis, Neurohypophyse)[1]
eingeteilt. Entwicklungsgeschichtlich und funktionell unterscheiden sich die Hypophysenlappen voneinander. Während die Adenohypophyse aus einer Ausstülpung des Rachendaches, der sogenannten Rathke-Tasche, hervorgeht und sich der Neurohypophyse anlagert, ist die Neurohypophyse eine Ausstülpung des Zwischenhirns. Dieser Unterschied ist histologisch[2] zu erkennen, denn während in der Adenohypophyse verschiedene in Ballen angeordnete endokrine Drüsenzellen vorkommen, dominieren in der Neurohypophyse vor allem Nervenzellfortsätze, sogenannte Axone, deren Zellkörper im Hypothalamus liegen. Somit vermag die Adenohypophyse Hormone unter Kontrolle des Hypothalamus selbst zu bilden und die Neurohypophyse ist hingegen als Speicher- und Sekretionsorgan für die im Hypothalamus gebildeten Hormone zuständig. Aus Epithelresten des Stiels der Rathke-Tasche kann zusätzliches Vorderlappengewebe entstehen, das als Rachendachhypophyse bezeichnet wird.[3]
- Blutversorgung
Die Hypophyse wird über vier Arterien mit Blut gespeist. Aus der Pars cavernosa der Arteria carotis interna entspringen zwei Arteriae hypophysiales inferiores, die vor allem im Bereich der Neurohypophyse ein Kapillarnetz bilden, in welches die entsprechenden Hormone abgegeben werden. Aus der Pars cerebralis der Arteria carotis interna entspringen zwei Arteriae hypophysiales superiores, die im Bereich der Eminentia mediana und des Hypophysenstiels Primärplexus bilden, in welchem einige Areale des Hypothalamus ihre Hormone, Liberine und Statine, sezernieren. Über die Venae portales hypophysiales gelangen sie in den Sekundärplexus, der an der Adenohypophyse liegt. In diesem Sekundärplexus gelangen die Hormone des Hypothalamus direkt an ihren Wirkort und es werden die Hormone der Adenohypophyse dort abgegeben, von wo aus sie in den Sinus cavernosus und damit in den Körperkreislauf abfließen, um ihre Wirkungen zu entfalten.
Hormone des Hypophysenvorderlappens (Adenohypophyse)

Unterschieden werden Hormone, die direkt auf ihre Zielorgane einwirken (nichtglandotrope Hormone), und solche, welche die Hormonproduktion nachgelagerter endokriner Drüsen stimulieren (glandotrope Hormone). Die glandotropen Hormone werden auch Steuerungshormone genannt, da sie die Funktion anderer Hormondrüsen regulieren.[4] Direkt auf ihre Zielorgane wirken das Wachstumshormon Somatotropin (STH für somatotropes Hormon bzw. GH für growth hormone) sowie Prolactin. Bei den glandotropen Hormonen werden die auf die Keimdrüsen (Gonaden) wirkenden gonadotropen Hormone follikelstimulierendes Hormon (FSH) und Luteinisierendes Hormon (LH) sowie die nichtgonadotropen Hormone, nämlich das die Nebennierenrinde stimulierende adrenocorticotrope Hormon (ACTH) und das die Schilddrüse stimulierende Thyroideastimulierende Hormon (TSH) unterschieden. Durch Prozessierung eines größeren Vorläuferpeptides, des Proopiomelanocortins, entstehen neben dem ACTH zudem Melanotropin (MSH), β-Endorphin und met-Enkephalin. Die Hormonproduktion der Hypophyse wird mittels Liberinen und Statinen durch den Hypothalamus geregelt.
Hormone des Hypophysenzwischenlappens
Der Hypophysenzwischenlappen ist unter anderem Bildungsort der Melanozyten-stimulierenden Hormone (MSH, Melanotropine).
Hormone des Hypophysenhinterlappens (Neurohypophyse)
Bei den Hormonen, die im Hypophysenhinterlappen gespeichert und ausgeschüttet werden, handelt es sich um das Oxytocin sowie das antidiuretische Hormon (ADH), das auch als Adiuretin oder Vasopressin bezeichnet wird. ADH wird im Nucleus supraopticus (Kerngebiet, das sich oberhalb des Sehnerven befindet), Oxytocin im Nucleus paraventricularis (Kerngebiet im Hypothalamus) des Hypothalamus gebildet.
Krankheiten und Diagnostik
Im Jahr 1901 beschrieb Alfred Fröhlich das Krankheitsbild der Dystrophia adiposogenitalis, später Fröhlich-Syndrom genannt, als eine Dysfunktion der Hypophyse.[5] Der italienische Pathologe Gaetano Fichera (1880–1935) entdeckte 1905 bei Hühnern, denen die Hypophyse entfernt[6] worden war, eine starke Wachstumshemmung, wie sie später auch für Säugetiere nachgewiesen werden konnte. Herbert M. Evans erreichte in Kalifornien dann 1920 durch Verabreichung von Hypophysenextrakt eine Art Riesenwuchs.[7]
Eine Unterfunktion der Hypophyse (Hypophyseninsuffizienz, Panhypopituitarismus) kann vielfältige Ursachen haben.
Tumoren der Adenohypophyse nennt man Hypophysenadenome. Sie verursachen häufig eine übermäßige Hormonbildung. Große Tumoren können auf die Sehnerven drücken, was zu erheblichen Sehstörungen führt. Unbehandelt ist eine Erblindung die Folge. Solche Tumoren werden operativ häufig durch die Nase entfernt, in der Regel kann der Patient direkt nach der Operation wieder normal sehen.
An die körperliche Untersuchung schließen sich Hormonmessungen und Funktionstests an. Bei klinischem Verdacht sollten Hormonuntersuchungen bei einem Endokrinologen vor bildgebenden Verfahren durchgeführt werden, da die bildgebenden Verfahren häufig falsch positive Befunde ergeben („Incidentalome“). Als bildgebende Verfahren finden die Röntgenaufnahme der Sella turcica im Seitbild des knöchernen Schädels, die Computertomografie, die Magnetresonanztomografie und die Somatostatin-Rezeptor-Szintigrafie Anwendung.
Weitere Tumoren, die (neben eosinophilen, basophilen und chromophoben Geschwülsten des Hypophysenvorderlappens) im Bereich des Hypophysen-Zwischenhirnsystems vorkommen können, sind unter anderem Kraniopharyngeome, Hypophysengangszysten, Gliome, Teratome und Schüller-Christian-Granulome.[8]
Siehe auch
Literatur
- Helga Fritsch, Wolfgang Kühnel: Taschenatlas Anatomie. Band 2: Innere Organe. Thieme, Stuttgart 2005, ISBN 3-13-492109-X.
- Lois Jovanovic, Genell J. Subak-Sharpe: Hormone. Das medizinische Handbuch für Frauen. (Originalausgabe: Hormones. The Woman’s Answerbook. Atheneum, New York 1987) Aus dem Amerikanischen von Margaret Auer, Kabel, Hamburg 1989, ISBN 3-8225-0100-X, S. 11 f., 55 f., 74–77, 181 f., 290–292 und 376 f.
- Ulrich Welsch: Sobotta Lehrbuch Histologie. Elsevier, München 2006, ISBN 3-437-42421-1.
Weblinks
Einzelnachweise
- ↑ T. H. Schiebler (Hrsg.): Lehrbuch der gesamten Anatomie des Menschen. Cytologie, Histologie, Entwicklungsgeschichte, Makroskopische und Mikroskopische Anatomie. 3. Auflage. Springer-Verlag, Berlin / Heidelberg / New York / Tokyo 1983, ISBN 3-540-12400-4, S. 684.
- ↑ Vgl. Carl Benda: Beiträge zur normalen und pathologischen Histologie der menschlichen Hypophysis cerebri. In: Berliner Klinische Wochenschrift. Band 37, 1900, S. 1205 ff.
- ↑ Renate Lüllmann-Rauch: Taschenlehrbuch Histologie. Georg Thieme Verlag, Stuttgart 2006, ISBN 978-3-13-129242-1, S. 412.
- ↑ Ulrich Schwabe, D. Paffrath (Hrsg.): Arzneiverordnungsreport 2002, S. 467.
- ↑ Paul Diepgen, Heinz Goerke: Aschoff/Diepgen/Goerke: Kurze Übersichtstabelle zur Geschichte der Medizin. 7., neubearbeitete Auflage. Springer, Berlin/Göttingen/Heidelberg 1960, S. 56.
- ↑ Vgl. etwa Fritz König: Zur Totalexstirpation der Hyphophysis cerebri. In: Berliner klinische Wochenschrift. Band 37, 1900, S. 1040.
- ↑ Otto Westphal, Theodor Wieland, Heinrich Huebschmann: Lebensregler. Von Hormonen, Vitaminen, Fermenten und anderen Wirkstoffen. Societäts-Verlag, Frankfurt am Main 1941 (= Frankfurter Bücher. Forschung und Leben. Band 1), S. 28 f.
- ↑ Ludwig Weissbecker: Krankheiten des Hypophysen-Zwischenhirnsystems. In: Ludwig Heilmeyer (Hrsg.): Lehrbuch der Inneren Medizin. Springer-Verlag, Berlin/Göttingen/Heidelberg 1955; 2. Auflage ebenda 1961, S. 1008–1013, hier: S. 1010.