Holzanatomie




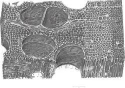
Die Holzanatomie oder Xylotomie ist ein Teilbereich der Pflanzenanatomie und der Holzforschung. Forschungsgegenstand ist die Beschreibung von Makro- und Mikrostrukturen der verschiedenen Holzarten sowie deren Auswirkung auf biologische und physikalische Holzeigenschaften. Holzarten lassen sich anhand von Gewebeverteilung und Feinstrukturen der Zellen mit holzanatomischen Methoden bestimmen. Als Werkzeuge dienen Lupe, Mikroskop (z. B. Lichtmikroskopie und Elektronenmikroskopie) und das Mikrotom zur Anfertigung von Dünnschnitten in den anatomischen Richtungen radial (parallel zu den Holzstrahlen), tangential (parallel zu den Zuwachszonen) und axial/transversal (Querschnitt). Neben diesen klassischen Untersuchungswerkzeugen, die meist zweidimensionale Bilder generieren, werden in den letzten Jahren auch vermehrt Computertomographiesysteme zur zerstörungsfreien und dreidimensionalen Darstellung von Holz herangezogen. Als mikroskopische Differenzierungsmerkmale werden zum Beispiel die Verteilung des Parenchyms, der Gefäße und der Holzstrahlen, sowie Form und Anordnung der Tüpfel herangezogen.
Holzanatomische Labore befinden sich unter anderem im Zentrum Holzwirtschaft der Universität Hamburg, wo sich eine der größten Holzsammlungen (Xylothek) befindet, sowie im Institut für Holzforschung der Universität München. Europas größte Holzsammlung findet sich im Xylarium des Königlichen Museums für Zentralafrika in Tervuren, Belgien, in dem knapp 14.000 Belege aufbewahrt werden. Heute bestehen holzanatomische Datenbanken, welche die Bestimmung von Holzarten über standardisierte Listen holzanatomischer Merkmale wesentlich erleichtern.
Ein Teilgebiet der Holzanatomie, die Anthrakologie oder Holzkohlenanalyse, beschäftigt sich mit der Bestimmung verkohlter Hölzer. Ihre Haupteinsatzgebiete liegen in der Archäologie bzw. Archäobotanik, wo sie zur Rekonstruktion von Brandereignissen oder zum Erforschen der Holznutzung in früherer Zeit dient. Eine weitere Anwendungsmöglichkeit findet die Holzkohlenanalyse in der Vegetations- und Klimageschichte.
Siehe auch
Literatur
- D. Grosser: Die Hölzer Mitteleuropas. Verlag N. Kessel, 2003, ISBN 3-935638-22-1. (87 Abb., 2 Falttafeln zur Bestimmung der Holzarten)
- F. H. Schweingruber: Anatomie europäischer Hölzer: Ein Atlas zur Bestimmung europäischer Baum-, Strauch- und Zwergstrauchhölzer. Haupt, Bern/Stuttgart 1990, ISBN 3-258-04258-6. (Reprint der Auflage: Verlag Kessel, Remagen 2011, ISBN 978-3-941300-51-4)
- R. Wagenführ: Holzatlas. Hanser-Verlag, 2006, ISBN 3-446-40649-2.
- Ü. Akkemik, B Yaman: Wood Anatomy of Eastern Mediterranean Species. Verlag N. Kessel, 2012, ISBN 978-3-941300-59-0.