Hemisektion


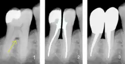
1) Freiliegende Bifurkation (Pfeil);
2) Prämolarisierung und Wurzelkanalbehandlung; 3) Zustand nach Überkronung mit Stiftaufbau; (Darstellung durch Bildbearbeitung);

Unter einer Hemisektion (von Altgriechisch: ήμἰ (hemi) (vergleiche:lat. semi) „halb“ und lat. sectio „das Zerschneiden“) versteht man in erster Linie die Durchtrennung eines unteren Molaren mit einer Teilextraktion einer Zahnwurzel. In sehr seltenen Fällen wird die Hemisektion auch an anderen mehrwurzligen Zähnen durchgeführt. Ein Sonderfall der Hemisektion wird als Prämolarisierung bezeichnet, bei der beide Wurzeln erhalten bleiben.
Indikationen
Die Hemisektion wird in Betracht gezogen, wenn eine Wurzel eines mehrwurzligen Zahnes erkrankt und nicht therapiefähig ist. Dies ist der Fall, wenn eine Wurzelbehandlung nicht ordnungsgemäß durchführbar ist. Dies kann der Fall sein, wenn ein Wurzelkanal obliteriert ist oder eine unvollständige Wurzelfüllung, die nicht revidiert werden kann, vorliegt. Eine weitere Indikation liegt vor, wenn eine der beiden Wurzeln eine apikale Veränderung (Apikale Parodontitis, apikales Granulom) aufweist und eine Revision der Wurzelbehandlung und/oder eine Wurzelspitzenresektion nicht durchführbar oder vom Patienten nicht gewünscht ist. Eine Hemisektion kann auch bei einer freiliegenden Bifurkation, einer Knochentasche, einer Wurzelkaries oder bei einer Zahn- beziehungsweise Wurzelfraktur indiziert sein.[1]
Therapieziel
Das Ziel einer Hemisektion ist, die gesunde(n) Zahnwurzel(n) und einen Teil der Zahnkrone zu erhalten, wenn die verbleibende Wurzel noch gut erhalten ist und ausreichend im Knochen verankert ist. Die erkrankte Wurzel wird entfernt, gesunde Wurzeln bleiben erhalten und können z. B. als Brückenpfeiler dienen.
Vorgehensweise
Vor der Operation wird eine Lokalanästhesie durchgeführt, gefolgt von einer Wurzelbehandlung an der(den) zu erhaltenden Wurzel(n). Dann wird die Zahnkrone mit einem diamantierten Schleifkörper oder einer Hartmetallfräse bis zur Bifurkation oder Trifurkation durchtrennt. Anschließend werden der abgetrennte Zahnkronenanteil und die Wurzel entfernt. Im Anschluss erfolgt die Anfertigung eines Stiftaufbaus und eine Versorgung mit einer künstlichen Krone.
-
Röntgenbild von 46 vor der Wurzelbehandlung und der Hemisektion (21 Jahre alte Frau)
-
Röntgenbild von 46 nach der Hemisektion (mesiale Wurzel entfernt) – die Wurzelfüllung an der verbliebenen distalen Wurzel 46 ist zu erkennen
-
Röntgenbild des gleichen Zahnes nach 16 Jahren.
-
Intraorale Aufnahme der Situation 16 Jahre nach Hemisektion, die 16 Jahre alte Kunststofffüllung ist stark abradiert und insuffizient, weshalb der Zahn nunmehr überkront wurde.
Kosten
Die Hemisektion ist unter bestimmten Voraussetzungen eine Leistung der Gesetzlichen Krankenversicherung und wird gemäß Bewertungsmaßstab zahnärztlicher Leistungen nach BEMA-Nr. 47b mit ca. 60,05 EURO honoriert. Sie ist als Sachleistung nur dann anrechenbar, wenn sie
- zum Erhalt einer geschlossenen Zahnreihe und/oder
- zum Erhalt einer bestehenden prothetischen Versorgung
notwendig ist. Dabei muss die Pfeilerwertigkeit der verbleibenden Wurzel gegeben sein, d. h. die erhaltene Zahnwurzel muss durch ihren Erhaltungsgrad in der Lage sein, langfristig als Zahnersatzpfeiler zu dienen.
In der Privatabrechnung erfolgt die Abrechnung nach der GOZ Nr. 3130 (36,22 € bei 2,3fachen Satz).[2]
Prognose
Seit Ende der 1980er Jahre rückt die Hemisektion therapeutisch zunehmend in den Hintergrund, weil meist durch eine Implantatversorgung langfristig bessere Erfolge auf Grund einer höheren Pfeilerwertigkeit zu erzielen sind.
Prämolarisierung
Ein Sonderfall der Hemisektion wird als „Prämolarisierung“ bezeichnet (nicht zu verwechseln mit Prämolarisation). Dabei wird der Zahn nach durchgeführter Wurzelbehandlung ebenfalls durchtrennt, jedoch bleiben beide Wurzeln erhalten. Hierzu kommen in erster Linie die unteren Molaren in Frage. Damit wird eine freiliegende Bifurkation letztlich beseitigt, indem aus einem Molaren durch die Durchtrennung zwei Prämolaren, also zwei einwurzlige Backenzähne geschaffen werden. Diese sind nun besser zu reinigen und eine rezidivierende Entzündung wird durch die Auflösung der Bifurkation beseitigt. Der Therapieerfolg ist langfristig allerdings nur selten zufriedenstellend.[1]
Die Prämolarisierung selbst stellt keine vertragszahnärztliche Versorgung dar. Wenn bei der Zahnersatzversorgung ein prämolarisierter Zahn eine Versorgungsnotwendigkeit darstellt, kann dadurch ein Festzuschuss der Krankenkasse geleistet werden. Es handelt sich hierbei bei dem einen Zahnanteil um eine sog. gleichartige Versorgung. Die zweite Krone am zweiten Zahnanteil ist privat nach GOZ zu vereinbaren. Das Gleiche gilt für die gegossenen Stiftaufbauten beziehungsweise Schraubenaufbauten, die ebenfalls privat berechnet werden.
Siehe auch
Einzelnachweise
- ↑ a b N. Schwenzer, Mund-Kiefer-Gesichtschirurgie, Thieme Verlag, 2010, ISBN 3-13-593504-3
- ↑ GOZ Nr.3130