Glandula submandibularis

1 Glandula parotidea
2 Glandula submandibularis
3 Glandula sublingualis
Die paarig angelegte Unterkieferspeicheldrüse oder lateinisch Glandula submandibularis (in der älteren Literatur als Glandula submaxillaris, in der Veterinäranatomie als Glandula mandibularis bezeichnet) ist eine der drei großen Speicheldrüsen. Sie ist eine gemischte, seromuköse Drüse und produziert mit den anderen Drüsen zusammen den Speichel (Saliva). Die Unterkieferspeicheldrüse liefert den Hauptteil der Gesamtspeichelmenge. Sie liegt beidseits am Unterkieferwinkel, zwischen Unterkiefer und Musculus digastricus im sogenannten Trigonum submandibulare, und hier innerhalb des oberflächlichen Blatts der Halsfaszie (Fascia cervicalis). Der hintere Drüsenanteil umfasst hakenförmig den Hinterrand des Musculus mylohyoideus. Die tastbare Speicheldrüse kann von weniger erfahrenen Personen mit einer Schwellung der direkt seitlich davon liegenden Unterkieferlymphknoten verwechselt werden.
Der Ausführungsgang der Drüse (Ductus submandibularis, Wharton-Gang) mündet zusammen mit dem der großen Unterzungenspeicheldrüse auf der Caruncula sublingualis („Hungerwarze“), einer kleinen Papille seitlich des Zungenbändchens.
Innervation und Blutversorgung
Die Innervation der Unterkieferspeicheldrüse erfolgt durch das vegetative Nervensystem. Die parasympathischen Nervenfasern entstammen dem oberen Speicheldrüsenkern (Nucleus salivatorius superior) und verlassen mit der Chorda tympani, einem Ast des siebten Hirnnerven (Nervus facialis), die Schädelhöhle. Diese Fasern schließen sich dem Nervus lingualis an, gelangen so zum Ganglion submandibulare (bei Tieren als Ganglion mandibulare bezeichnet), wo sie umgeschaltet werden und dann zur Unterkiefer- und Unterzungenspeicheldrüse ziehen.
Die Blutversorgung erfolgt durch die Arteria facialis, der venöse Abfluss über die Vena submentalis und die Vena sublingualis. Regionäre Lymphknoten sind die Kinn- (Nodi lymphoidei submentales) und die Unterkieferlymphknoten (Lymphonodi submandibulares).
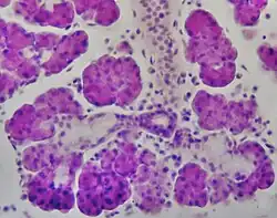
Mikroskopische Anatomie
Die Glandula submandibularis ist eine gemischte, seromuköse Drüse. Im mikroskopischen Schnittbild sieht man seröse, d. h. dünnflüssiges Sekret erzeugende Endstücke, die vereinzelt in muköse, d. h. dickflüssiges Sekret absondernde Tubuli münden. Schaltstücke, Röhrchen aus flachem Epithel, bilden den Übergang zum Ausführungsgangsystem.
Literatur
- Karl Zilles, Bernhard Tillmann: Anatomie. Springer, 2010, ISBN 978-3-540-69483-0, S. 438.
- Franz-Viktor Salomon: Mundhöhle, Cavum oris. In: Franz-Viktor Salomon u. a. (Hrsg.): Anatomie für die Tiermedizin. 2. Auflage. Enke, Stuttgart 2008, ISBN 978-3-8304-1075-1, S. 239–264.