GAVE-Syndrom
| Klassifikation nach ICD-10 | |
|---|---|
| K31.8 | Sonstige näher bezeichnete Krankheiten des Magens und des Duodenums |
| ICD-10 online (WHO-Version 2019) | |
.png)
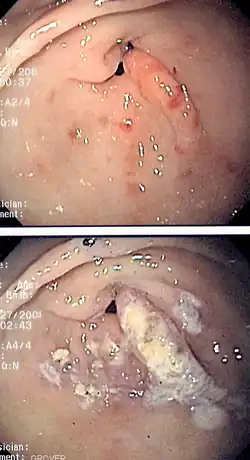
GAVE-Syndrom (von englisch gastric antral vascular ectasia; deutsch auch Wassermelonenmagen) steht für radiär verlaufende Gefäßerweiterungen der Magenschleimhaut, vom Pylorus zum Magenkorpus ziehend. Der Begriff Wassermelonenmagen leitet sich von dem Wassermelonen-ähnlichen rot-streifigen Bild ab, das bei der Magenspiegelung (Gastroskopie) vorgefunden wird, welches auch der hypertensiven Gastropathie ähnelt.[1]
Das GAVE-Syndrom äußert sich als chronischer, okkulter Blutverlust (obere gastrointestinale Blutung), der zu einer Blutarmut (Eisenmangelanämie) führen kann. Durch die Blutungen kann es auch zum Abgang von Teerstuhl (Melaena) kommen. Es tritt bei der portalen Hypertension, chronischem Nierenversagen oder Kollagenosen wie der Sklerodermie auf.
Eine Therapiemöglichkeit ist die wiederholte Behandlung mithilfe der Argongasplasma-Koagulation.[1]
Einzelnachweise
- ↑ a b E. Biecker u. a.: Effiziente Diagnostik und Therapie oberer gastrointestinaler Blutungen. In: Dtsch Arztebl. 2008; 105(5), S. 85–93. doi:10.3238/arztebl.2008.0085
Literatur
- S. Chatterjee: Watermelon stomach. In: CMAJ. 2008 Jul 15;179(2), S. 162. PMID 18625989
- K. W. Burak, S. S. Lee, P. L. Beck: Portal hypertensive gastropathy and gastric antral vascular ectasia (GAVE) syndrome. In: Gut. 2001 Dec;49(6), S. 866–872. Review. PMID 11709525
- S. Sebastian, C. A. O’Morain, M. J. Buckley: Review article: current therapeutic options for gastric antral vascular ectasia. In: Aliment Pharmacol Ther. 2003 Jul 15;18(2), S. 157–165. Review. PMID 12869075