Chirurgische Kronenverlängerung

Unter chirurgischer Kronenverlängerung versteht man einen Eingriff in der Zahnmedizin, der zum Ziel hat, den verbliebenen Teil eines Zahnes zur anschließenden Wiederherstellung mittels einer Krone zu verlängern. Trotz des Fachbegriffs der Kronenverlängerung wird der Zahn nicht tatsächlich verlängert, sondern nur der Wurzelanteil des Zahnes etwas freigelegt. Das Verfahren kommt zur Anwendung, wenn der Zahn ganz oder teilweise bis zur Gingivalgrenze kariös zerstört ist und dadurch eine Kronenversorgung mit dichtem Randabschluss nicht möglich ist.[1]
Biomechanische Grundlagen

Randschluss
Zur Vermeidung einer Sekundärkaries muss eine Krone einen dichten Randschluss zum Zahn aufweisen. Zur Dichtigkeit genügt ein messerscharfer Randabschluss einer Krone nicht, sondern die künstliche Krone muss den Zahn in einer Breite von 1,5 bis 2 mm dicht und wie ein Band umfassen. Dieser Ferrule-Effekt (Fassreifen-Effekt) trägt auch zur Stabilität und zum Halt der künstlichen Krone am Zahn bei. Ebenso notwendig ist ein dichter Abschluss des Gingivalsaums, der die Durchtrittsstelle des Zahnes aus dem Kieferknochen gegenüber eindringenden Keimen aus der Mundhöhle abdichten muss.
Biologische Breite
Durch Gargiulo wurde im Jahre 1961 die mittlere biologische Breite auf 2,04 mm bestimmt. Davon nimmt 1,07 mm das Desmodont ein und etwa 0,97 mm das Saumepithel.[1][2] Wenn es mangels ausreichender Zahnsubstanz nicht möglich ist einen Zahn wiederherzustellen, wird mit diesem Verfahren etwas Knochen am oberen Rand der Alveole entfernt, um idealerweise 3 mm Abstand zwischen der Zahnfleischgrenze und der Oberkante des Alveolarknochens zu schaffen.[3][4][5] Ohne eine solche Maßnahme würde die biologische Breite unterschritten, woraus chronische Schmerzen, eine chronische Gingivitis und ein Abbau an Alveolarknochen resultieren würden.
Ferrule-Effekt
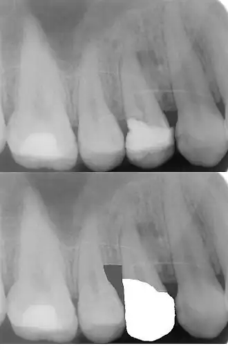
Abgesehen von der Wiederherstellung eines ausreichenden Zahnfleischsaums trägt der Ferrule-Effekt zur Stabilität der künstlichen Zahnkrone bei.[6] Umfasst die zukünftige künstliche Zahnkrone den Zahn nicht bandförmig, steigt die Frakturgefahr eines wurzelbehandelten Zahnes.[6] In der oberen Röntgenaufnahme sieht man die an den Alveolarknochen angrenzende Zahnfüllung (weiß = röntgenopak). Auf der unteren Röntgenaufnahme sieht man die Kronenversorgung des Zahnes nach einer chirurgischen Kronenverlängerung im distalen Bereich, das heißt nach der Entfernung des Knochenseptums. (Die untere Röntgenaufnahme ist keine Originalaufnahme. Sie wurde digital bearbeitet, um das Prinzip der Kronenverlängerung aufzuzeigen).
Kronen/Wurzelverhältnis
Der den Zahn umgebende Alveolarknochen ist im Interdentalraum (Zahnzwischenraum) gleichzeitig der Alveolarknochen des benachbarten Zahnes. Eine chirurgische Kronenverlängerung schwächt deshalb auch die Verankerung des Nachbarzahnes im Kieferknochen. Dies ist bis zu einem gewissen Grad unvermeidbar. Gleichzeitig wird das Kronen-/Wurzelverhältnis des Zahnes und gegebenenfalls des Nachbarzahnes verringert, da gleichzeitig die Verankerung des Zahnes im Kieferknochen reduziert wird.[7] Dies hat einen direkten Einfluss auf die Pfeilerwertigkeit des Zahnes, also die Verwertbarkeit des Zahnes im Rahmen prothetischer Rekonstruktionen.
Risiken
Bei der chirurgischen Kronenverlängerung besteht das Risiko, bei mehrwurzligen Zähnen die Bi- oder Trifurkation freizulegen, was eine erhöhte Infektionsanfälligkeit des Parodontiums bewirken würde. Ferner kann eine Zahnlockerung daraus resultieren. Mitbetroffene Nachbarzähne können mit Überempfindlichkeit gegenüber thermischen Reizen reagieren. Im Frontzahnbereich können ästhetische Beeinträchtigungen eintreten. Rezessionen der Papille oder des Gingivalsaums sind nicht auszuschließen.[8]
Durchführung

Vorbehandlung
In der Regel sind zerstörte Zähne zunächst einer endodontischen Behandlung zu unterziehen. Anschließend erfolgt die Anfertigung eines Stiftaufbaus, mit dem ein künstlicher Zahnstumpfaufbau erfolgt, der später durch eine künstliche Zahnkrone versorgt wird. In einem weiteren Behandlungsschritt wird dann die chirurgische Kronenverlängerung durchgeführt. Der jeweilige Eingriff erfolgt unter örtlicher Betäubung.
Gingivektomie
Ist am Zahn bereits ein Knochenabbau festzustellen, wird die vorhandene Zahnfleischtasche durch eine Gingivektomie verkürzt und dadurch der sichtbare Zahnanteil verlängert.
Verschiebelappen
Durch das Verfahren des apikalen Verschiebelappens – mit oder ohne Knochenresektion – wird ein Teil der Gingiva apikalwärts verschoben und dadurch der sichtbare Kronenanteil vergrößert.
Knochenresektion
Ohne Knochenabbau wird die Gingiva am betreffenden Zahn vorsichtig abpräpariert und der freigelegte Alveolarknochen mit einer Fräse (Rosenbohrer) im benötigten Umfang abgetragen. Um die Wurzeln der Nachbarzähne nicht zu beschädigen, wird dort der Knochen mit Handinstrumenten abgetragen. Der freigelegte Wurzelanteil wird einem Scaling unterzogen, um Reste des Desmodonts zu entfernen, damit ein Reattachment (Wiederanwachsen) vermieden wird.[9] Die Gingivawunde wird mit einer atraumatischen Naht versorgt.
Endgültige Versorgung
Die endgültige Versorgung des Zahnes, beispielsweise mit einer künstlichen Zahnkrone, kann etwa sechs Wochen nach dem Eingriff begonnen werden. In kritischen Fällen sollten drei Monate abgewartet werden. Erst nach Abheilung der Gingivawunde können der Zahn und das ihn umgebende Parodontium dahin gehend beurteilt werden, ob die gewünschte biologische Breite erreicht worden ist.
Prognose
Der Eingriff ist irreversibel. Wurde einmal Alveolarknochen entfernt, ist es fast unmöglich den Kieferknochen wieder aufzubauen, also auf das frühere Niveau zu bringen. Dies kann sich auf eine eventuell später notwendige Implantatversorgung negativ auswirken. Über die Folgen des Eingriffs ist deshalb der Patient ausführlich aufzuklären. Ist die Prognose des Eingriffs fraglich, sollte eine Extraktion des Zahnes in Erwägung gezogen werden.[10]
Kieferorthopädische Kronenverlängerung
In manchen Fällen stellt die kieferorthopädische Kronenverlängerung ein Alternativverfahren dar, nämlich wenn noch so viel Zahnsubstanz vorhanden ist, dass eine kieferorthopädische Apparatur am Zahn angebracht werden kann, um den Zahn geringfügig aus seiner Alveole herauszuziehen. Hierbei wird zwischen der langsamen und forcierten Extrusion unterschieden.[8][11]
Einzelnachweise
- ↑ a b Takei, HH; Azzi, RR; Han, TJ: Preparation of the Periodontium for Restorative Dentistry. In M. G. Newman, H. H. Takei, F. A. Carranza, Carranza’s Clinical Periodontology, 9. Auflage, Philadelphia: W.B. Saunders Company (2002).
- ↑ A. W. Gargiulo et al. Dimensions and relations of the dentogingival junction in humans. J Perio 1961;32:261–267.
- ↑ M. Nevins, H. M. Skurow: The intracrevicular restorative margin, the biologic width, and the maintenance of the gingival margin. In: The International journal of periodontics & restorative dentistry. Band 4, Nummer 3, 1984, S. 30–49, ISSN 0198-7569. PMID 6381360.
- ↑ U. Brägger, D. Lauchenauer, N. P. Lang: Surgical lengthening of the clinical crown. In: Journal of Clinical Periodontology. Band 19, Nummer 1, Januar 1992, S. 58–63, ISSN 0303-6979. PMID 1732311.
- ↑ A. Padbury, R. Eber, H. L. Wang: Interactions between the gingiva and the margin of restorations. In: Journal of clinical periodontology. Band 30, Nummer 5, Mai 2003, S. 379–385, ISSN 0303-6979. PMID 12716328. (Review).
- ↑ a b R. A. Barkhordar, R. Radke, J. Abbasi: Effect of metal collars on resistance of endodontically treated teeth to root fracture. In: The Journal of prosthetic dentistry. Band 61, Nummer 6, Juni 1989, S. 676–678, ISSN 0022-3913. PMID 2657023.
- ↑ N. R. Stankiewicz, P. R. Wilson: The ferrule effect: a literature review. In: International Endodontic Journal. Band 35, Nummer 7, Juli 2002, S. 575–581, ISSN 0143-2885. PMID 12190896. (Review).
- ↑ a b F. Klein, P. Eickholz, Die chirurgische Kronenverlängerung (PDF; 585 kB), Parodontologie, 15/3 (2004) S. 239–244
- ↑ E. S. Rosenberg, D. A. Garber, C. I. Evian: Tooth lengthening procedures. In: The Compendium on continuing education in general dentistry. Band 1, Nummer 3, 1980 May-Jun, S. 161–172, ISSN 0196-1756. PMID 6950832.
- ↑ W. W. Galen, K. Mueller, Restoration of the Endodontically Treated Tooth, in S. Cohen, R. C. Burns, Pathways of the Pulp, 8 Auflage. St. Louis: Mosby, Inc. (2002).
- ↑ A. Borzabadi-Farahani, H. H. Zadeh: Vertical Alveolar Ridge Augmentation in Implant Dentistry: A Surgical Manual. Hrsg.: L. Tolstunov. John Wiley & Sons, 2016, ISBN 978-1-119-08283-5, Orthodontic Therapy in Implant Dentistry: Orthodontic Implant Site Development, S. 30–37, doi:10.1002/9781119082835.ch04 (englisch).