Fabella

Als Fabella (lat. Verkleinerungsform von lat. faba „Bohne“), auch Os sesamoideum musculi gastrocnemii oder Vesalisches Sesambein (nach Andreas Vesalius), bezeichnet man ein Sesambein (ein in eine Sehne eingelagertes Knöchelchen) in der lateralen Ursprungssehne des Musculus gastrocnemius. Es befindet sich an der Hinterseite des Kniegelenks, unmittelbar oberhalb des lateralen Kondylus des Femurs.
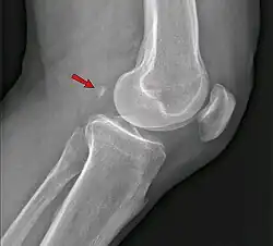
In der Betrachtung von seitlichen Röntgenaufnahmen des Kniegelenkes steht oft die Frage eines traumatisch abgesprengten Knochenfragmentes im Raum. Die Fabella weist jedoch, im Gegensatz zu einem Fragment, eine allseitige Kortikalis ohne Kontinuitätsunterbrechung auf und ist als Normvariante anzusehen.
Weiterhin differentialdiagnostisch miteinzubeziehen ist in diesem Zusammenhang der Stieda-Pellegrini-Köhler-Schatten, eine Verknöcherung im Sehnenansatz des Musculus adductor magnus, Musculus gracilis oder im inneren Knieseitenband, die erworben (Verkalkung) oder traumatisch bedingt sein kann. Diese tritt jedoch nur medial (innenseitlich) auf.
Physiologisch betrachtet ist die Fabella eine Art Umlenkrolle (med. Hypomochlion), die durch günstigere Winkel der Sehnen effektivere Muskelkräfte ermöglicht.
Die Fabella kommt bei 10 bis 20 % aller Menschen im Ursprung des seitlichen Kopfs des Musculus gastrocnemius vor, bei Frauen dabei etwas häufiger als bei Männern. Seltener finden sich 2 oder 3 solcher Knöchelchen (Fabella bi- bzw. tripartita). Bei Raubtieren (z. B. Hunde, Katzen) treten Fabellen stets beidseitig, also in den Sehnen beider Köpfe des Musculus gastrocnemius, auf.
Über die letzten 150 Jahre betrachtet tritt die Fabella beim Menschen vermehrt auf. Eine auf 58 Studien basierte Metastudie ermittelte 2019 eine 3,5-fache Häufigkeitszunahme. Besaßen 1918 noch 11 % der Weltbevölkerung eine Fabelle, waren es 100 Jahre später 39 %.[1][2]
Fabella-Syndrom
Gehen bei einem Patienten Schmerzen von dem Bereich aus, in dem die Fabella liegt, dann wird in manchen Fällen (als Arbeitsdiagnose) der Jargonbegriff Fabella-Syndrom verwendet. Ist die Fabella in besonderen Fällen tatsächlich Ausgangspunkt und Ursache der Beschwerden (Fabella dolorosa) könnte unter Umständen bei wegweisender Indikation eine chirurgische Entfernung durchgeführt werden.
Weblinks
Daniela Albat: Rätselhafter Fabella-Knochen wird häufiger - Knöchelchen im Knie bildet sich abhängig von Genen, Geschlecht und Alter. In: scinexx.de. 21. Oktober 2019, abgerufen am 14. Oktober 2020.
Einzelnachweise
- ↑ Fabella prevalence rate increases over 150 years, and rates of other sesamoid bones remain constant: a systematic review. ResearchGate.net, April 2019; abgerufen am 22. Juli 2019.
- ↑ Tiny Knee Bone, Once Lost in Humans, Is Making a Comeback. the-scientist.com, 19. April 2019; abgerufen am 22. Juli 2019.