Epidermoidzyste
| Klassifikation nach ICD-10 | |
|---|---|
| L72 | Follikuläre Zysten der Haut und der Unterhaut |
| L72.0 | Epidermalzyste |
| ICD-10 online (WHO-Version 2019) | |
| Klassifikation nach ICD-11 | |
|---|---|
| EK70.0 | Epidermoidzyste |
| EK70.00 | Infizierte Epidermoidzyste |
| EK70.0Z | Epidermoidzyste, nicht näher bezeichnet |
| ICD-11: Englisch • Deutsch (Entwurf) | |
Epidermoidzysten sind Tumoren, die sich aus Stammzellen entwickeln. Sie gehören damit zu den Teratomen und treten an verschiedenen Stellen des Körpers auf. Dabei gelangen Zellen der Oberhaut in andere Organe (Lederhaut, Gehirn, Keimdrüsen) und vermehren sich dort. Im Bereich des Unterkiefers werden sie zu den Nichtodontogenen Zysten gezählt.
Haut

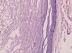
Epidermoidzysten sind in der Lederhaut lokalisierte gutartige Zysten, die aus Zellen der Oberhaut (Epidermis) bestehen, jedoch keine Hautanhangsgebilde aufweisen. Diese Zysten entstehen durch die Zellproliferation von Epidermalzellen in der sie umgebenden Lederhaut. Histologisch bestehen sie aus einer dünnen Plattenepithelschicht mit Hornlamellen, die zum Teil abgeschilfert sein können. Bei Hautverletzungen können kleinere Teile der Oberhaut in die Tiefe der Wunde verlagert werden. Diese verpflanzten Epidermisteile wachsen im Inneren der Wunde weiter und bilden Hornsubstanz, welche dann zur Entstehung einer Epidermoidzyste führt.
Die Epidermoidzysten der Haut finden sich oft im Gesicht sowie im Hals- und Rumpfbereich. Abzugrenzen ist eine Talgzyste (Atherom).
Bei Beschwerden besteht die Therapie, soweit möglich, in einer chirurgischen Entfernung der Zyste. Es ist jedoch nicht immer sicher, dass die Zyste vollständig entfernt werden kann, so dass es oftmals zu Rezidiven kommt.
Gehirn

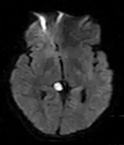
Im Gehirn tritt die Epidermoidzyste als gelappte, unregelmäßige, blumenkohlartige Raumforderung auf. Ihre Dichte ähnelt liquorähnlicher Flüssigkeit, welche keine Kontrastmittelanreicherung aufweist. In der Magnetresonanztomographie ist sie vor allem dadurch zu unterscheiden, dass sie in der Flair-Sequenz nicht vollständig signalsupprimiert ist, d. h., es besteht eine Hyperintensität im Vergleich zu Liquor. In 10 bis 25 % der Fälle sind Verkalkungen vorhanden. Am häufigsten finden sich Epidermoidzysten im Kleinhirnbrückenwinkel (75 %) und im 4. Hirnventrikel (20 %). Sie entstehen beim Embryo aus Einschlüssen an der Oberfläche der Haut während des Neuralrohrverschlusses.
Hoden
Im Hoden tritt die Epidermoidzyste als gutartiger abgekapselter Tumor aus Epidermiszellen auf.
Weblinks
- Artikel aus eMedicine (englisch)