Endometriumhyperplasie
| Klassifikation nach ICD-10 | |
|---|---|
| N85.0 | Endometriumhyperplasie |
| ICD-10 online (WHO-Version 2019) | |

Die Endometriumhyperplasie (von griechisch Endo- ένδον, innen, Metrium μήτρα, Gebärmutter, Hyper ΰπερ über, hinaus, Plasie πλασις das Bilden) ist eine umschriebene oder generalisierte Größenzunahme (Hyperplasie) der Gebärmutterschleimhaut (Endometrium). Im Gegensatz zur Hypertrophie ist die Größenzunahme bei der Hyperplasie durch eine Vermehrung der Zellzahl verursacht.
Entstehungsmechanismus
Sie entsteht durch eine anhaltende Stimulation der Schleimhaut durch Östrogene bei fehlender simultaner Stimulation durch Gestagene. Entsprechend fördern Erkrankungen, die mit einer pathologisch erhöhten Östrogenproduktion einhergehen, die Ausbildung einer Endometriumhyperplasie. Dazu gehören die Follikelpersistenz, das Polyzystische Ovarialsyndrom und östrogen-produzierende Geschwülste (meist von den Eierstöcken ausgehend).
Einteilung

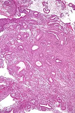
Die einfache Hyperplasie besteht aus zystisch erweiterten Schleimhautdrüsen (Schweizer-Käse-Muster) mit reichlich Bindegewebe (Stroma) zwischen den Drüsen.
Die komplexe Hyperplasie ist durch eine Zunahme des Drüsen-Stroma-Verhältnis gekennzeichnet. Außerdem sind die Drüsen durch Aufzweigungen und Knospungen unregelmäßiger gestaltet.
Die atypische Hyperplasie weist zusätzlich zu den Veränderungen der Gewebsarchitektur Veränderungen auf zellulärer Ebene auf: abgerundete, blasse Zellkerne, große Nucleoli.
Prognose
Je nach mikroskopischem Bild neigen die drei Formen in unterschiedlichem Ausmaße dazu, in eine bösartige Wachstumsform zu entarten. So entstehen aus 1 % der einfachen, 3 % der komplexen und 10–30 % der atypischen Hyperplasien ein bösartiges Geschwür.
Tiermedizin
Eine glandulär-zystische Hyperplasie des Endometriums ist vor allem bei Hunden, Hasenartigen und Meerschweinchenartigen relativ häufig.
Literatur und Quellen
- Pschyrembel: Klinisches Wörterbuch. 258. Auflage. de Gruyter, Berlin 1998, ISBN 3-11-014824-2.
- W. Böcker, H. Denk, Ph. U. Heitz: Pathologie. 2. Auflage. Urban & Fischer, München 2008, ISBN 978-3-437-43401-3