Dextrokardie
| Klassifikation nach ICD-10 | |
|---|---|
| Q24.0 | Dextrokardie |
| ICD-10 online (WHO-Version 2019) | |


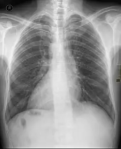
Mit dem Begriff Dextrokardie (Rechtsherzigkeit), abgeleitet von altgriechisch δεξιός dexiós, deutsch ‚rechts‘ und altgriechisch καρδία kardía, deutsch ‚Herz‘, wird in der Medizin ein Phänomen bezeichnet, bei dem sich das Herz ständig oder zeitweilig in der überwiegend rechten statt in der linken Brusthöhle befindet.
Eine Dextrokardie kann angeboren im Rahmen eines sogenannten Situs inversus (totalis) auftreten,[1] bei dem im Brustkorb oder auch im ganzen Körper sämtliche Organe spiegelverkehrt angelegt sind. Auch kann Dextrokardie durch eine Herzdrehung entstanden sein, etwa als Folge einer Lungen- oder Brustfellerkrankung.
Soll eine Defibrillation bei einer Person mit Dextrokardie vorgenommen werden, müssen die Elektroden in umgekehrter Position platziert werden. Statt oben rechts und unten links sollten die Elektroden oben links und unten rechts platziert werden.
Unterschieden werden folgende Formen:[2]
- Spiegelbilddextrokardie bei totalem Situs inversus
- Dextroversio cordis unvollständige Rechtsdrehung der Herzkammern
- Dextropositio cordis ohne Drehungsanomalie bei Verdrängung oder Verziehung des Mediastinums
Bei einigen Menschen mit Pätau-Syndrom (Trisomie 13) liegt Dextrokardie vor, während die übrigen Organe wie üblich angelegt sind.
Weitere Syndrome haben eine Dextrokardie als wesentliches Merkmal:
- Kartagener-Syndrom (25 %)
- PAGOD-Syndrom
- Stratton-Parker-Syndrom[3]
Weblinks
Einzelnachweise
- ↑ Klaus Holldack, Klaus Gahl: Auskultation und Perkussion. Inspektion und Palpation. Thieme, Stuttgart 1955; 10., neubearbeitete Auflage ebenda 1986, ISBN 3-13-352410-0, S. 191.
- ↑ Pschyrembel online
- ↑ Eintrag zu Kleinwuchs-Wormsche Knochen-Dextrokardie-Syndrom. In: Orphanet (Datenbank für seltene Krankheiten)