Polyp (Geschwulst)

Schnitt durch einen Polypen der Magenschleimhaut

Polypen sind makroskopisch sichtbare, meist gestielte Ausstülpungen der Mukosa (Schleimhaut).

Deskriptiv

Das medizinische Wort Polyp ist rein deskriptiv (z. B. Nasenschleimhautpolyp – entzündlich; Dickdarmpolypneoplastisch) und sagt weder etwas über die Ätiologie noch etwas über die Dignität aus, d. h. ein neoplastischer Polyp kann sowohl gut- als auch bösartig sein. Die Differenzierung kann nur feingeweblich nach Abtragung erfolgen.

Erkrankungen

Klassifikation nach ICD-10
K63.5 Polyp des Kolons
{{{02-BEZEICHNUNG}}}
{{{03-BEZEICHNUNG}}}
{{{04-BEZEICHNUNG}}}
{{{05-BEZEICHNUNG}}}
{{{06-BEZEICHNUNG}}}
{{{07-BEZEICHNUNG}}}
{{{08-BEZEICHNUNG}}}
{{{09-BEZEICHNUNG}}}
{{{10-BEZEICHNUNG}}}
{{{11-BEZEICHNUNG}}}
{{{12-BEZEICHNUNG}}}
{{{13-BEZEICHNUNG}}}
{{{14-BEZEICHNUNG}}}
{{{15-BEZEICHNUNG}}}
{{{16-BEZEICHNUNG}}}
{{{17-BEZEICHNUNG}}}
{{{18-BEZEICHNUNG}}}
{{{19-BEZEICHNUNG}}}
{{{20-BEZEICHNUNG}}}
Vorlage:Infobox ICD/Wartung {{{21BEZEICHNUNG}}}
ICD-10 online (WHO-Version 2019)
Colonoscopie zeigt einen Polypen des Colon sigmoideum mit ca. 1 cm Durchmesser. Die Entfernung erfolgte durch Schlingenkauterisation
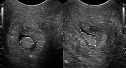
Polyp in Zervix, dargestellt mit Sonographie.

Darmpolypen

Häufig treten Polypen als Adenome im Darm auf. Dort können sie im Rahmen einer Darmspiegelung mittels der Polypektomie entfernt werden, da die Gefahr einer Entwicklung zum Darmkrebs besteht (Adenom-Karzinom-Sequenz).

Über die endoskopische Abtragung von Dickdarmpolypen mit einem flexiblen Instrument wurde erstmals an der Universität Erlangen am 13. März 1971 von P. Deyhle berichtet. Damit wurde in Deutschland die Grundlage für die Vorsorge-Koloskopie gelegt. Gleichzeitig war dies der Beginn der operativen Endoskopie.[1]

Polyposis

Das Auftreten von vielen Polypen wird als Polyposis bezeichnet. Möglich ist solch ein Befund in der Gebärmutter (Polyposis uteri), dem Magen (Polyposis ventriculi), den Nasennebenhöhlen als Nasenpolyp (Polyposis nasi et sinuum), im Mund und Rachenbereich (Peutz-Jeghers-Syndrom) sowie im Rahmen mehrerer Krankheitsbilder im Darm (Polyposis coli).

Gallenblase

Beschrieben werden Cholesterolpolypen in der Gallenblase.

Abgrenzung

Vergrößerte Rachenmandeln heißen Adenoide. Sie kommen häufig bei Kindern vor und werden umgangssprachlich als „Polypen“ bezeichnet.

Commons: Polyp (Geschwulst) – Album mit Bildern, Videos und Audiodateien
Wiktionary: Polyp – Bedeutungserklärungen, Wortherkunft, Synonyme, Übersetzungen

Einzelnachweise

  1. P. Deyhle: Results of endoscopic polypectomy in the gastrointestinal tract. In: Endoscopy. Suppl. 1980, S. 35–46. PMID 7408789