Bulimie

Klassifikation nach ICD-10
F50.2 Bulimia nervosa
F50.3 atypische Bulimia nervosa
F50.4 Essattacken bei anderen psychischen Störungen
F50.5 Erbrechen bei anderen psychischen Störungen
{{{05-BEZEICHNUNG}}}
{{{06-BEZEICHNUNG}}}
{{{07-BEZEICHNUNG}}}
{{{08-BEZEICHNUNG}}}
{{{09-BEZEICHNUNG}}}
{{{10-BEZEICHNUNG}}}
{{{11-BEZEICHNUNG}}}
{{{12-BEZEICHNUNG}}}
{{{13-BEZEICHNUNG}}}
{{{14-BEZEICHNUNG}}}
{{{15-BEZEICHNUNG}}}
{{{16-BEZEICHNUNG}}}
{{{17-BEZEICHNUNG}}}
{{{18-BEZEICHNUNG}}}
{{{19-BEZEICHNUNG}}}
{{{20-BEZEICHNUNG}}}
Vorlage:Infobox ICD/Wartung {{{21BEZEICHNUNG}}}
ICD-10 online (WHO-Version 2019)
Klassifikation nach ICD-11
6B81 Bulimia nervosa
ICD-11: EnglischDeutsch (Entwurf)

Die Bulimie oder Bulimia nervosa (auch Ess-Brechsucht und Bulimarexie genannt)[1] ist eine unter anderem durch übersteigerte übermäßige Nahrungsaufnahme infolge wiederkehrender Essattacken oder Kontrollverluste bei der Nahrungsaufnahme sowie eine übertriebene Beschäftigung mit der Kontrolle des Körpergewichts charakterisierte[2] Erkrankung und gehört zusammen mit der Magersucht, der Binge-Eating-Störung und der Esssucht zu den Essstörungen.

„Bulimie“ stammt über neulateinisch bulimia[3] von altgriechisch βουλιμία boulimía, Heißhunger, wörtlich Ochsenhunger oder Stierhunger, aus βοῦς, „Ochse, Stier, Kuh, Rind“ und λιμός, „Hunger“ und bezeichnet allein streng gesehen lediglich das Symptom des Heißhungers und wird dann auch als Hyperorexie (aus altgriech. ὑπέρ- hypér, „über-“ und ὄρεξις órexis, „Appetit“) bezeichnet.

Epidemiologie

Von Bulimia nervosa betroffen sind nach verbreiteten, aber veralteten Zahlen zu etwa 90 % Frauen. Diese Zahlen bezogen sich allerdings nur auf die Personen in ärztlicher Behandlung und berücksichtigten nicht die Tatsache, dass Männer sich seltener ärztliche Hilfe wegen Essstörungen suchen. Tatsächlich liegt der Männeranteil nicht bei 10 %, sondern bei etwa 20–30 %. Eine Metaanalyse aus dem Jahr 2019 bspw. ermittelte als Lebenszeitprävalenz für Bulimie weltweit für Frauen 1,9 % und Männer 0,6 %.[4]

Berufsgruppen, bei denen geringes Körpergewicht für das Ausüben des Berufs verlangt oder vorteilhaft ist (zum Beispiel Fotomodell, Tänzer, Skispringer), sind für diese Krankheit besonders anfällig.

Merkmale und Symptome

Bulimie-Betroffene sind meist normalgewichtig, können aber auch unter- oder übergewichtig sein. Ein typisches Merkmal sind Essanfälle, nach denen sogenannte gegenregulatorische Maßnahmen ergriffen werden, um eine Gewichtszunahme zu vermeiden: Hierzu zählen selbstinduziertes Erbrechen, Hungern, extreme Diäten, exzessiver Sport, der Missbrauch von Laxantien (Abführmitteln) und Brechmitteln.

Die Essanfälle treten unterschiedlich häufig auf, wobei die Häufigkeit auch im Störungsverlauf variieren kann – zwischen zwei Essanfällen können mehrere Tage liegen, das Essen und anschließendes Erbrechen können auch mehrmals täglich erfolgen. Als Auslöser für Essanfälle gelten insbesondere emotionale Faktoren, psychischer Stress, Unzufriedenheit mit der eigenen Person oder starke Gefühle von Verlassenheit. Später wird Heißhunger über das Energiedefizit, das durch die gegenregulatorischen Maßnahmen wie Hungern und Erbrechen entsteht, mit ausgelöst und weiter verstärkt.

Während der Essanfälle haben die Betroffenen das Gefühl, die Kontrolle über sich selbst und über die Nahrungsmengen, die sie zu sich nehmen, zu verlieren. Die Essanfälle können aber auch geplant stattfinden.

Die Bulimia nervosa beginnt oft in einem wenig höheren Alter als die mit ihr als Gegensatz verknüpfte Anorexia nervosa, etwa mit 17 oder 18 Jahren. In der Vorgeschichte der Betroffenen kann eine Magersucht bestehen. Der Übergang kann zu einem Zeitpunkt stattfinden, wenn, bezogen auf das Gewicht und Essverhalten, eine Remission der Symptome der Magersucht erzielt wurde und die betreffende Person demnach wieder begonnen hat, mehr oder regelmäßiger zu essen. Die Betroffenen leiden meistens unter einer gestörten Selbstwahrnehmung und/oder einer Körperschemastörung (Dysmorphophobie). Die Betroffenen empfinden sich häufig bereits bei Normalgewicht als „zu dick“. Kennzeichnend ist die übergroße Angst vor einer Gewichtszunahme, selbst bei kleineren Gewichtsschwankungen.

Zu den häufigsten psychiatrischen Komorbiditäten und sozialen Problemen zählen:

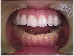
Ausgeprägte Zahndefekte im Unterkiefer durch Magensäure. Der Oberkiefer wurde bereits durch Zahnkronen restauriert.

Infolge einer Bulimie kann es zu einer Reihe von organischen Schäden kommen. Das erhöhte Magensäureangebot im Mund schädigt bei lang anhaltender Symptomatik die Zähne (v. a. Erosionen des Zahnschmelzes und Verlust der Zahnhartsubstanz) sowie die Speicheldrüsen (Anschwellung, Entzündung, was zu einer Erhöhung des Enzyms Amylase führt). Eine Bulimie kann dann akut lebensgefährlich werden, wenn durch das wiederholte Erbrechen oder den Laxantienmissbrauch eine massive Störung des Elektrolyt-Haushaltes (v. a. Kaliummangel) entsteht, die zu lebensbedrohlichen Herzrhythmusstörungen und Nierenschäden führen kann. Weitere gravierende Folgen im Langzeitverlauf sind Pankreatitis und gastrointestinale Störungen (z. B. akute atonische Magenerweiterungen, Magenruptur, Entzündungen oder Ruptur der Speiseröhre). Bei 10–30 % der Betroffenen findet sich trockene Haut (vermutlich in Zusammenhang mit einem gestörten Schilddrüsenhormonhaushalt), und bei ca. 50 % morphologische Veränderungen des Gehirns („Pseudoatrophie“).[6] Zu den häufigen allgemeinen Symptomen zählen Kopf-, Nacken- und Rückenschmerzen sowie Menstruationsbeschwerden bei Frauen und Mädchen.[5] Das langfristige Risiko, eine Osteoporose zu entwickeln, ist bei Bulimiepatientinnen (im Gegensatz zur Anorexia nervosa) vermutlich nicht erhöht.[7]

Betroffene, die an einer Bulimie leiden, versuchen meist, ihre Krankheit zu verbergen. Oft wird sie erst mehrere Jahre, nachdem sie begonnen hat, erkannt/eingestanden und behandelt. Die Prognose ist von der Dauer der Erkrankung abhängig.

Ursachen

Die Ursachen der Bulimie ähneln denen der Magersucht. Nicht selten geht der Bulimie eine anorektische Phase voraus oder wechselt sich mit Phasen der Magersucht ab.

Gründe für das Erbrechen sind vor allem die Angst vor einer möglichen Gewichtszunahme sowie Scham über den eigenen Kontrollverlust/das eigene Versagen. Die Nahrungsmenge kann im Magen auch ein unangenehmes Völlegefühl und Schmerzen verursachen, sodass das anschließende Erbrechen erleichternd wirkt.[8]

Klassische Konditionierung

Jansen (1994[9], 1998) geht davon aus, dass durch klassische Konditionierung vormals neutrale Sinnesreize, reflexartig körperliche Reaktionen auslösen wie Speichelfluss, Insulinausschüttung, Mobilisierung freier Fettsäuren oder Erregung auslösen können, die normalerweise nur mit der Nahrungsaufnahme verbunden sind.[10] Es wird angenommen, dass durch diese konditionierte Reaktion ein Verlangen zu essen ausgelöst werden kann. Der konditionierte Stimulus könne ebenso ein externer (beispielsweise Fernsehen) sein, wie ein interner (beispielsweise Langeweile).[9] Die Neigung mit Verlangen, auf entsprechende Hinweisreize zu reagieren, wird Cue-Reagibilität genannt.[11] Dieser Hypothese folgend kann man versuchen, über eine Konfrontationstherapie mit Reaktionsverhinderung (cue-exposure, Nahrungsmittelexposition) diese reflexartige Reaktion wieder zu löschen.[10]

Operante Konditionierung

Auslöser könnte beispielsweise sein, dass jemand nicht über die ausreichenden sozialen Kompetenzen verfügt, um den eigenen Ärger in Konfliktsituationen auszudrücken. Wenn auf das Essen und Erbrechen relativ zeitnah (kontingent) eine Reduktion der emotionalen Spannung erfolgt, wird dieses Verhalten verstärkt.[12]

Definitionen

Diagnostic and Statistical Manual of Mental Disorders (DSM-5)

Kriterien des DSM-5 (American Psychiatric Association) für Bulimia Nervosa:

  1. Wiederkehrende Episoden von Essanfällen. Ein Essanfall ist durch die folgenden beiden Merkmale charakterisiert:
    • Verzehr einer großen Nahrungsmenge in einem bestimmten Zeitraum (z. B. 2 Stunden), die erheblich größer ist als die Menge, die die meisten Menschen unter vergleichbaren Bedingungen essen würden
    • Gefühl, während der Episode die Kontrolle über das Essverhalten zu verlieren
  2. Wiederholte Anwendung von unangemessenen kompensatorischen Maßnahmen, um einer Gewichtszunahme entgegenzusteuern (z. B. Fasten, Erbrechen, Missbrauch von Abführ- oder Entwässerungsmitteln, exzessive Bewegung)
  3. Essanfälle und unangemessene kompensatorischen Maßnahmen treten im Schnitt mindestens einmal wöchentlich für drei Monate auf.
  4. Die Selbstwahrnehmung ist unangemessen stark durch die Figur und das Gewicht beeinflusst.
  5. Die Störung tritt nicht ausschließlich während Episoden einer Anorexia Nervosa auf (in dem Fall handelt es sich um Anorexia Nervosa: bulimischer Typ).

Internationale statistische Klassifikation der Krankheiten und verwandter Gesundheitsprobleme (ICD-10)

Kriterien des ICD-10, F 50.2 Bulimia Nervosa:

  1. Andauernde Beschäftigung mit Essen, unwiderstehliche Gier nach Nahrungsmitteln.
  2. Essattacken, bei denen in kurzer Zeit sehr große Mengen an Nahrung konsumiert werden.
  3. Versuch, dem dickmachenden Effekt von Nahrungsmitteln durch verschiedene ausgleichende Verhaltensweisen entgegenzusteuern: selbst herbeigeführtes Erbrechen, Missbrauch von Abführmitteln, zeitweilige Hungerperioden, Einnahme von Appetitzüglern, Schilddrüsenpräparaten oder Diuretika. Bei Diabetikerinnen kann es zur Vernachlässigung der Insulinbehandlung kommen („Diabulimie“, insulin purging).
  4. Krankhafte Furcht, dick zu werden, sowie eine scharf definierte Gewichtsgrenze, die weit unter dem prämorbiden, medizinisch als „gesund“ betrachteten Zustand liegt.
  5. Häufige Vorgeschichte einer Episode mit Anorexia nervosa mit einem Intervall von einigen Monaten bis mehreren Jahren. Diese Episode kann voll ausgeprägt gewesen sein oder war eine verdeckte Form mit mäßigem Gewichtsverlust und/oder einer vorübergehenden Amenorrhoe.

Veränderungen vom ICD-10 zum ICD-11

6B81 - Bulimia Nervosa:

Laut der WHO bestand ein Problem im ICD-10 darin, dass die empirischen Daten nicht mit denen der klinischen Praxis zusammenpassten, v. a. in Bezug auf die Trennung von Fütter- und Essstörungen. Ein weiteres Problem lag in der Diagnosen der Kategorien „Atypische“ und „nicht näher bezeichnete“, welche sehr häufig vergeben wurden. In der Praxis zeigte sich, dass die Diagnosekriterien oft nicht vollumfänglich erfüllt sind.

Die Diagnose einer Bulimia nervosa kann gemäß der ICD-11 nun unabhängig vom derzeitigen Körpergewicht vergeben werden. Außerdem wurden Zeitraum und Frequenz der Essanfälle reduziert auf mindestens ein Essanfall pro Woche, über eine Dauer von einem Monat (statt wie bisher mind. 2 ×/Woche über einen Zeitraum von mind. drei Monaten hinweg). In Bezug auf die Essanfälle wurde im ICD-11 auch berücksichtigt, dass der Essanfall subjektiv empfunden wird. Hierdurch ist es unerheblich, wie die tatsächliche Menge der aufgenommenen Nahrung ist. Wichtig ist jedoch der subjektive Kontrollverlust während des Essanfalls sowie der damit verbundene Leidensdruck. Auch hier fehlen im ICD-11 die Diagnosen „atypische Bulimie“ (F50.3), „Essattacken bei anderen psychischen Störungen“ (F50.4) sowie „Erbrechen bei anderen psychischen Störungen“ (F50.5).[13]

Therapie

Zu den Zielen einer Psychotherapie der Bulimie zählen unter anderem die Normalisierung des Essverhaltens, der Abbau von gegensteuernden Maßnahmen wie etwa das Erbrechen, eine Normalisierung der Einstellung zu den Lebensmitteln, um diese nicht weiter nur in Hinblick auf ihren Energiegehalt zu werten, und verzerrte Überzeugungen hinsichtlich ihrer „dick machenden“ Wirkung zu prüfen, die Verbesserung der persönlichen Einstellung zur eigenen Person und zum eigenen Körper, der Aufbau eines stabilen, von äußeren Faktoren weitgehend unabhängigen Selbstwertgefühls und der (Wieder-)Aufbau sozialer Kontakte. Eine empirisch belegte hohe Wirksamkeit haben vor allem die kognitive Verhaltenstherapie und die Dialektisch-behaviorale Therapie.[14] Die Prognose hängt von verschiedenen Faktoren ab, zu denen unter anderem auch die Krankheitsdauer bis zum Beginn einer Psychotherapie und weitere psychische Erkrankungen (Komorbidität) gehören. Studien weisen darauf hin, dass sich die Therapie der Bulimie durch bestimmte Antidepressiva unterstützen lässt. Eine isolierte Behandlung mit Antidepressiva führt jedoch selten zu mehr als einer Reduktion der vordergründigen Symptome, Heißhunger und negativer Stimmung, und ändert nichts an den zugrunde liegenden Ursachen, die zur Entstehung der psychischen Störung beigetragen haben. Des Weiteren ist der Langzeitverlauf nach Absetzen der Medikamente sehr ungünstig, da die Gefahr eines Rückfalls oder der Manifestation anderer psychischer Symptome besteht.

Einordnung der Bulimie im Feld der Essstörungen

Die Gruppe der Essstörungen umfasst die Magersucht (Anorexia nervosa), Bulimie und vermeidend-restriktive Ernährungsstörung sowie die Esssucht (Binge Eating), die mit Übergewicht (Adipositas) einhergehen kann. Die Grenzen zwischen den Störungen sind fließend. Hierfür spricht auch der relativ häufige Übergang von einem Krankheitsbild in das andere, häufig von der Anorexia Nervöse zu einer Bulimia Nervosa oder andersherum.[15]

Für die Diagnostik der spezifischen Störungsbilder können störungsspezifische Symptomfragebögen, wie zum Beispiel der EDI-2, und standardisierte Interviews verwendet werden.[16]

Die psychische Hintergrundproblematik, die zu einer Essstörung führt, unterscheidet unter den einzelnen Störungsbildern nicht wesentlich. Allen Essstörungen gemeinsam sind ein geringes Selbstwertgefühl, Unsicherheit im Selbstbild und in der Selbstwahrnehmung und eine hieraus resultierende erhöhte Anpassung an die Vorstellung und Wünsche anderer. Diese Merkmale bestehen vor der Erkrankung und verschlechtern sich oftmals in deren Verlauf. Bei essgestörten Menschen besteht eine deutlich größere Orientierung auf die Figur, wenngleich dies nicht allein als Auslöser einer Essstörung gilt. Ein weiteres gemeinsames Merkmal ist eine aus unterschiedlichen Gründen schwierige bis gestörte familiäre Interaktion, die weit vor der Manifestation der Störung besteht. Die Kenntnis der Hintergrundprobleme verdeutlicht, dass es sich um psychische und nicht um organisch ausgelöste Erkrankungen handelt.

Literatur

  • Reinhold G. Laessle, Harald Wurmser, Karl M. Pirke: Essstörungen. In: J. Margraf: Lehrbuch der Verhaltenstherapie. Band 2, 2. Auflage. Springer, Berlin 2000, ISBN 3-540-66440-8.
  • Manfred M. Fichter: Magersucht und Bulimie. Mut für Betroffene, Angehörige und Freunde. Karger, Basel u. a. 2008, ISBN 978-3-8055-8208-7.
  • Peggy Claude-Pierre: Der Weg zurück ins Leben. Magersucht und Bulimie verstehen und heilen. Aus dem Amerikanischen von Gabriele Herbst. 4. Auflage. Fischer, Frankfurt 2006, ISBN 3-596-14922-3.
  • C. Keppler: Wenn Nahrung und Körper die Mutter ersetzen: wegweisend, ohne zu zerreden... Patmos, 2002.
  • T. Legenbauer, S. Vocks: Wer schön sein will, muss leiden? Wege aus dem Schönheitswahn- ein Ratgeber. Hogrefe, 2005.
  • Peter J. Cooper: Bulimia nervosa and Binge-Eating. London 1995.
  • S3-Leitlinie Diagnostik und Therapie der Essstörungen der Deutschen Gesellschaft für Psychosomatische Medizin und Ärztliche Psychotherapie e. V. (DGPM) und der Deutschen Gesellschaft für Kinder- und Jugendpsychiatrie, Psychosomatik und Psychotherapie e. V. (DGKJP). In: AWMF online (Stand 05/2018)
Commons: Bulimie – Sammlung von Bildern, Videos und Audiodateien
Wiktionary: Bulimie – Bedeutungserklärungen, Wortherkunft, Synonyme, Übersetzungen

Einzelnachweise

  1. Gesundheitsdirektion des Kantons Zug: Essstörungen (Memento vom 16. Januar 2013 im Webarchiv archive.today)
  2. Diagnostik und Therapie von Essstörungen. Abgerufen am 24. Juli 2024.
  3. dictionary.reference.com
  4. Deutscher Ärzteverlag GmbH, Redaktion Deutsches Ärzteblatt: Essstörungen bei Männern. 9. Februar 2024, abgerufen am 24. Juli 2024.
  5. a b c d e f Helga Simchen: Essstörungen und Persönlichkeit. Magersucht, Bulimie und Übergewicht - Warum Essen und Hungern zur Sucht werden. 1. Auflage. Kohlhammer, Stuttgart 2010, ISBN 978-3-17-020848-3.
  6. Laessle u. a., 2000.
  7. Christina Siebrecht: Osteoporose bei Patientinnen mit Anorexia und Bulimia nervosa: Eine Längsschnittstudie. (PDF)
  8. Ursachen von Bulimia nervosa (Ess-Brechsucht). In: Neurologen uns Psychiater im Netz. Abgerufen am 24. Juli 2024.
  9. a b Brunna Tuschen-Caffier, Irmela Florin: Teufelskreis Bulimie: Ein Manual zur psychologischen Therapie. Hogrefe Verlag, 2012, ISBN 978-3-8409-2372-2 (eingeschränkte Vorschau in der Google-Buchsuche).
  10. a b Tanja Legenbauer, Silja Vocks: Manual der kognitiven Verhaltenstherapie bei Anorexie und Bulimie. Springer-Verlag, 2014, ISBN 978-3-642-20385-5, S. 33 und 140 (eingeschränkte Vorschau in der Google-Buchsuche).
  11. Michael Linden: Verhaltenstherapiemanual. Springer Science & Business Media, 2008, ISBN 978-3-540-75739-9, S. 131 (eingeschränkte Vorschau in der Google-Buchsuche).
  12. Rolf Meermann, Ernst-Jürgen Borgart: Essstörungen: Anorexie und Bulimie: ein kognitiv-verhaltenstherapeutischer Leitfaden für Therapeuten. W. Kohlhammer Verlag, 2005, ISBN 3-17-018458-X, S. 70 (eingeschränkte Vorschau in der Google-Buchsuche).
  13. Klassifikation und Diagnose: Eine historische Betrachtung. Abgerufen am 24. Juli 2024.
  14. AWMF Leitlinienregister. Abgerufen am 24. Juli 2024.
  15. H. Csef: Magersucht und Bulimia nervosa. In: Monatsschrift Kinderheilkunde. Band 147, Nr. 4, 1. April 1999, ISSN 0026-9298, S. 396–406, doi:10.1007/s001120050441.
  16. Diagnostik und Therapie von Essstörungen. Abgerufen am 24. Juli 2024.