Buchnera (Bakterium)
| Buchnera | ||||||||||||
|---|---|---|---|---|---|---|---|---|---|---|---|---|
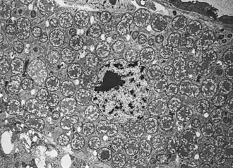
Buchnera aphidicola in einer Wirtszelle | ||||||||||||
| Systematik | ||||||||||||
| ||||||||||||
| Wissenschaftlicher Name | ||||||||||||
| Buchnera | ||||||||||||
| Munson et al. 1991 |
Buchnera Munson et al. 1991 ist eine Gattung (Biologie) von Gammaproteobakterien in der Ordnung Enterobacterales. Es ist nur die eine Art (Spezies) Buchnera aphidicola in dieser Gattung allgemein anerkannt (monotypisch, Stand: 28. August 2021).
Die Gattung ist nicht zu verwechseln mit der gleichnamigen Hemiparasiten-Gattung Buchnera L. 1753 (Sommerwurzgewächse).[1]
Buchnera aphidicola ist ein primärer[Anm. 1] Endosymbiont von Blattläusen und wurde insbesondere in der Erbsenblattlaus (Acyrthosiphon pisum) untersucht.[2] Diese Erbsenläuse leben in Symbiose mit Bakterien der Arten Buchnera aphidicola und Regiella insecticola. Die Bakterien werden von den Blattlausmüttern direkt (über die Eier) an ihre Nachkommen weitergegeben (strikt vertikale Vererbung).
Beschreibung
Die Erbsenlaus A. pisum geht eine obligate endosymbiotische Beziehung mit dem Bakterium Buchnera aphidicola ein, wobei die Erbsenlaus der Wirt ist und Buchnera der primäre Endosymbiont; zusammen bilden sie einen Holosymbionten.[3] Es handelt sich um eine obligate, symbiotische Beziehung, bei der beide Partner vollständig voneinander abhängig sind.[3][4]
Bei einer Behandlung mit Antibiotika zur Entfernung der Buchnera-Bakterien werden Wachstum und Vermehrung der Blattläuse unterbrochen oder reduziert. Umgekehrt fehlt es Buchnera an Genen, die für ein vom Wirt unabhängiges Leben erforderlich sind; Buchnera ist außerhalb des Blattlaus-Wirts nicht kultivierbar.[5]
Die Blattläuse haben ein zweilappiges Organ (Bakteriom), das sechzig bis achtzig sog. Bakteriozyten enthält. In diesen speziellen Zellen spielt sich der Lebenszyklus der mit Blattläusen assoziierten Buchnera-Bakterien ab; für die Blattläuse übernehmen die Bakterien spezielle Aufgaben beim Auf- oder Umbau von Zuckermolekülen und Aminosäuren. Jeder Bakteriozyt enthält mehrere Vesikel, genannt Symbiosomen, die von der Zellmembran abgeleitet sind und in denen sich die Buchnera-Zellen befinden. Eine reife Blattlaus kann schätzungsweise 5,6 × 106 (5,6 Millionen) Buchnera-Zellen tragen.[6]
Genom und Evolution
Das Genom von Buchnera aphidicola wurde bereits um die Jahrtausendwende sequenziert und konnte mit dem der Erbsenlaus verglichen werden. Die Größe des Genoms der verschiedenen Buchnera-Linien liegt im Bereich von 600 bis 650 kbp (Kilobasenpaare) und kodiert für etwa 500 bis 560 Proteine. Viele Stämme enthalten auch ein oder zwei Plasmide (2,3 bis 11 kbp groß).[7]
Man nimmt an, dass Buchnera einen freilebenden gramnegativen Vorfahren hatte, der „modernen“ Enterobacterales wie dem Colibakterium (Escherichia coli) ähnelt. Buchnera-Zellen haben einen Durchmesser von 3 µm und weist einige der Hauptmerkmale der Enterobacterales auf, wie etwa die gramnegative Zellwand. Im Gegensatz zu den meisten anderen gramnegativen Bakterien fehlen Buchnera jedoch die Gene zur Produktion von Lipopolysacchariden für die äußere Zellmembran. Die lange Assoziation mit Blattläusen und die Einschränkung von Rekombinations-Ereignissen aufgrund der strikt vertikalen Übertragung hat zum Verlust (Deletion) von Genen geführt, die für die anaerobe Atmung, die Synthese von Aminozuckern, Fettsäuren, Phospholipiden und komplexen Kohlenhydraten erforderlich sind.[8] Dies hat nicht nur zu einem der kleinsten bekannten Genome aller lebenden Organismen geführt, sondern auch zu einem der genetisch stabilsten.[8] Es scheint jedoch im Laufe der Evolutionsgeschichte wenig Gentransfer zwischen den beiden Arten stattgefunden zu haben.
Die symbiotische Beziehung zu Blattläusen begann vor etwa 160 bis 280 Millionen Jahren.[9] Sie hat sich seitdem durch Co-Evolution und Co-Speziation (gemeinsame Artbildung) erhalten und weiterentwickelt.
Mitglieder
Durch die Ko-Evolution von Blattläusen und ihren Buchnera-Endosymbionten gibt es eine weitgehende Entsprechung von Blattlausarten und Buchnera-Sonderformen (formae speciales)[10] Die Gattung Buchnera hat (mit Stand 28. August 2021) folgende Mitglieder (Auswahl):
Gattung Buchnera Munson et al. 1991[11][12][13]
- Sonderform Buchnera aphidicola (Acyrthosiphon pisum)[14] – Endosymbiont in der Erbsenlaus (Erbsenblattlaus, Acyrthosiphon pisum)
- Sonderform Buchnera aphidicola (Acyrthosiphon kondoi)[15] – Endosymbiont in der Blattlaus der Blauen Luzerne (Acyrthosiphon kondoi). Evtl. eigene Spezies „Acyrthosiphon kondoi endosymbiont“[16]
- Sonderform Buchnera aphidicola (Acyrthosiphon lactucae)[17] – Endosymbiont in der Salatlaus (Acyrthosiphon lactucae)
- Sonderform Buchnera aphidicola (Acyrthosiphon solani)[18] – Endosymbiont in der Grünfleckigen Kartoffellaus (Aulacorthum solani)[19]
- … (gut über 400 Sonderformen)
- Spezies Buchnera endosymbiont of Lasius sp.[20] – Endosymbiont in Wegameisen
- Spezies Buchnera sp. 150
- … (gut 30 unklassifizierte mögliche Spezies)
Buchnera und Pflanzenviren
Buchnerea produziert ein Protein namens Symbionin, das sich an die Virushülle (Kapsid) von Pflanzenviren bindet und sie im Inneren der Blattlaus schützt. Dadurch wird es wahrscheinlicher, dass das Virion (Virusteilchen) überlebt und eine andere Pflanze bei der nächsten Mahlzeit der Blattlaus infizieren kann. Die Eigenschaft der Blattläuse als Virusvektoren werden so verstärkt.[9]
Etymologie und Forschungsgeschichte
Buchnera wurde von Paul Baumann und Kollegen nach dem Biologen Paul Buchner benannt, die die erste molekulare Charakterisierung eines symbiontischen Bakteriums durchführten.[11][12] Diese Studien über Buchnera leiteten später Studien über Symbionten vieler Insektengruppen ein, die von zahlreichen Forschern durchgeführt wurden. Unter anderem untersuchten Paul und Linda Baumann, Nancy Moran, Serap Aksoy[21] und Roy Gross,[22][23] die gemeinsam Symbionten von Blattläusen, Tsetsefliegen, Ameisen, Zwergzikaden, Schmierläusen, Mottenschildläusen der Familie Aleyrodidae (Weiße Fliegen), Blattflöhen der Familie Psyllidae und anderen.
Weblinks
- V. Pérez-Brocal, R. Gil, S. Ramos, A. Lamelas, M. Postigo, J. Michelena, F. Silva, A. Moya, A. Latorre: A small microbial genome: the end of a long symbiotic relationship? In: Science. Band 314, Nr. 5797, 2006, S. 312–3, doi:10.1126/science.1130441, PMID 17038625.
- A. E. Douglas: Nutritional interactions in insect-microbial symbioses: Aphids and their symbiotic bacteria Buchnera. In: Annual Review of Entomology. Band 43, 1998, ISSN 0066-4170, S. 17–38, doi:10.1146/annurev.ento.43.1.17, PMID 15012383.
- Buchnera Genome Projects (from Genomes OnLine Database)
- Comparative Analysis of Buchnera Genomes, United States Department of Energy – Integrated Microbial Genomes System (IMG system)
- Nancy A. Moran, Jacob A. Russell, Ryuichi Koga, Takema Fukatsu: Evolutionary Relationships of Three New Species of Enterobacteriaceae Living as Symbionts of Aphids and Other Insects. In: Applied and Environmental Microbiology. Band 71, Nr. 6, 2005, ISSN 0099-2240, S. 3302–3310, doi:10.1128/AEM.71.6.3302-3310.2005, PMID 15933033, PMC 1151865 (freier Volltext).
- Daniel J. Funk, Jennifer J. Wernegreen, Nancy A. Moran: Intraspecific Variation in Symbiont Genomes: Bottlenecks and the Aphid-Buchnera Association, in: Genetics, Band 157, Nr. 2, 1. Februar 2001, S. 477–489, PMID 11156972, PMC 1461510 (freier Volltext)
Anmerkungen
- ↑ Die Autoren benutzen das Adjektiv „primär“ offenbar zur Unterscheidung von weiteren nachrangigen Endosymbionten, die für das Überleben der Insektenwirte nicht unbedingt erforderlich sind, nicht im Sinn der Endosymbiontentheorie zur Unterscheidung von einer sekundären („verschachtelten“) Endosymbiose, bei der ein Wirt selbst wieder zum Endosymbionten wird — obwohl die Bezeichnung „primär“ hier auch in diesem Sinn zutrifft. „Sekundäre“ Symbionten wie hier verstanden werden so genannt, wenn sie sie mit einem „primären“ Symbionten koexistieren, der offenbar eine ältere Infektion desselben Wirtsstamms darstellt und mit diesem bereits eine engere Verbindung mit (gegenseitigen) Abhängigkeiten eingegangen ist; vgl. N. A. Moran et al. (2005)
Einzelnachweise
- ↑ NCBI: Buchnera (eudicots) (genus); graphisch: Buchnera, auf: Lifemap, NCBI Version.
- ↑ A. E. Douglas: Nutritional Interactions in Insect-Microbial Symbioses: Aphids and Their Symbiotic Bacteria Buchnera. In: Annual Review of Entomology. Band 43, Nr. 1, Januar 1998, ISSN 0066-4170, S. 17–37, doi:10.1146/annurev.ento.43.1.17, PMID 15012383 (englisch).
- ↑ a b IAGC: Genome Sequence of the Pea Aphid Acyrthosiphon pisum, in: Plos Biol, Band 8, Nr. 2, 23. Februar 2010, doi:10.1371/journal.pbio.1000313. The International Aphid Genomics Consortium.
- ↑ Lilia Brinza, José Viñuelas, Ludovic Cottret, Federica Calevro, Yvan Rahbé, Gérard Febvay, Gabrielle Duport, Stefano Colella, Andréane Rabatel, Christian Gautier, Jean-Michel Fayard, Marie-France Sagot, Hubert Charles: Systemic analysis of the symbiotic function of Buchnera aphidicola, the primary endosymbiont of the pea aphid Acyrthosiphon pisum, in: Cr Biol, Band 332, Nr. 11, S. 1034–1049, November 2009, doi:10.1016/j.crvi.2009.09.007, PMID 19909925.
- ↑ S. Shigenobu et al.: Genome sequence of the endocellular bacterial symbiont of aphids Buchnera sp. APS. In: Nature. Band 407, Nr. 6800, 2000, S. 81–86, doi:10.1038/35024074, PMID 10993077, bibcode:2000Natur.407...81S.
- ↑ Paul Baumann: Biology of Bacteriocyte-Associated Endosymbionts of Plant Sap-Sucking Insects. In: Annual Review of Microbiology. Band 59, Nr. 1, Oktober 2005, ISSN 0066-4227, S. 155–189, doi:10.1146/annurev.micro.59.030804.121041, PMID 16153167 (englisch).
- ↑ Roeland C. H. J. van Ham, Judith Kamerbeek, Carmen Palacios, Carolina Rausell, Federico Abascal, Ugo Bastolla, Jose M. Fernández, Luis Jiménez, Marina Postigo: Reductive genome evolution in Buchnera aphidicola. In: Proceedings of the National Academy of Sciences of the United States of America. Band 100, Nr. 2, 21. Januar 2003, ISSN 0027-8424, S. 581–586, doi:10.1073/pnas.0235981100, PMID 12522265, PMC 141039 (freier Volltext).
- ↑ a b Rosario Gil, Beatriz Sabater-Muñoz, Amparo Latorre, Francisco J. Silva, Andrés Moya: Extreme Genome Reduction in Buchnera spp.: Toward the Minimal Genome Needed for Symbiotic Life. In: Proceedings of the National Academy of Sciences of the United States of America. Band 99, Nr. 7, 2002, ISSN 0027-8424, S. 4454–4458, doi:10.1073/pnas.062067299, PMID 11904373, PMC 123669 (freier Volltext), JSTOR:3058325.
- ↑ a b S. Banerjee, D. Hess, P. Majumder, D. Roy, S. Das: The Interactions of Allium sativum Leaf Agglutinin with a Chaperonin Group of Unique Receptor Protein Isolated from a Bacterial Endosymbiont of the Mustard Aphid. In: The Journal of Biological Chemistry. Band 279, Nr. 22, 2004, S. 23782–23789, doi:10.1074/jbc.M401405200, PMID 15028723.
- ↑ formae speciales, auf Spektrum.de, Lexikon der Biologie. Sing.: forma specialis (f. sp.), Plural: formae speciales (ff. spp.)
- ↑ a b c M. A. Munson, P. Baumann, M. G. Kinsey: Buchnera gen. nov. and Buchnera aphidicola sp. nov., a taxon consisting of the mycetocyte-associated, primary endosymbionts of aphids, in: Int. J. Syst. Bacteriol. 1991; 41, S. 566–568, doi:10.1099/00207713-41-4-566
- ↑ a b c LPSN: Genus Buchnera Munson et al. 1991
- ↑ a b NCBI: Buchnera Munson et al. 1991 (genus, aphid P-endosymbionts); graphisch: Buchnera, auf: Lifemap, NCBI Version.
- ↑ NCBI: Buchnera aphidicola (Acyrthosiphon pisum) (forma specialis)
- ↑ NCBI: Buchnera aphidicola (Acyrthosiphon kondoi) (forma specialis)
- ↑ NCBI: Acyrthosiphon kondoi endosymbiont (species)
- ↑ NCBI: Buchnera aphidicola (Acyrthosiphon lactucae) (forma specialis)
- ↑ NCBI: Buchnera aphidicola (Acyrthosiphon solani) (forma specialis)
- ↑ NCBI: Aulacorthum solani, homotypic synonym: Acyrthosiphon solani (species)
- ↑ NCBI: Buchnera endosymbiont of Lasius sp. (species)
- ↑ Brian L. Weiss, Rosa Mouchotte, Rita V. M. Rio, Yi-Neng Wu, Zheyang Wu, Abdelaziz Heddi, Serap Aksoy: Interspecific transfer of bacterial endosymbionts between tsetse fly species: infection establishment and effect on host fitness, in: Appl Environ Microbiol, Band 72, Nr. 11, November 2006, S. 7013–7021, doi:10.1128/AEM.01507-06, PMID 16950907, PMC 1636136 (freier Volltext), Epub 1. September 2006
- ↑ Prof. Dr. Roy Gross, Lehrstuhl für Mikrobiologie, Biozentrum der Julius-Maximilians-Universität Würzburg
- ↑ Doris Schröder, Heike Deppisch, Malu Obermayer, Georg Krohne, Erko Stackebrandt, Bert Hölldobler, Werner Goebel, Roy Gross: Intracellular endosymbiotic bacteria of Camponotus species (carpenter ants): systematics, evolution and ultrastructural characterization, in: Molecular Microbiology, August 1996, doi:10.1111/j.1365-2958.1996.tb02557.x
