Bowenoide Papulose
| Klassifikation nach ICD-10 | |
|---|---|
| D07 | Carcinoma in situ sonstiger und nicht näher bezeichneter Genitalorgane |
| ICD-10 online (WHO-Version 2019) | |
Die Bowenoide Papulose bezeichnet eine durch humane Papillomviren (HPV) ausgelöste Hautveränderung im äußeren Genitalbereich und um den Anus, die bevorzugt sexuell aktive Frauen und Männer ca. zwischen dem 20. und 40. Lebensjahr betrifft. Es finden sich multiple kleine, häufig bräunliche Knötchen, die plaqueartig konfluieren können und zumeist symptomlos sind. Eine Therapie ist mit äußerlich anzuwendenden Arzneimitteln oder mittels Laser, Elektrokauter, Kryotherapie und Kürettage möglich.[1][2]
Ähnlich wie die HPV-Infektion des Gebärmutterhalses kann die Bowenoide Papulose Vorstufe einer Krebserkrankung sein. Sie wird deshalb gemäß neuerer Terminologie als vulväre, penile oder perianale intraepitheliale Neoplasie (VIN, PeIN, PAIN) bezeichnet. Unter dieser Bezeichnung werden heute auch der anogenitale Morbus Bowen inklusive der Erythroplasie Queyrat (Morbus Bowen des Penis) zusammengefasst.[3] Dennoch weisen die Krankheitsbilder teilweise unterschiedliche Merkmale auf: der Morbus Bowen wird nicht zwingend durch HPV verursacht, betrifft in der Regel ältere Patienten[4] und zeigt sich eher als leicht erhabener, schuppender rötlicher Plaque. Häufig tritt er auch im Kopf-Hals-Bereich und an den Beinen auf.[5]
Verbreitung
Von der Bowenoiden Papulose sind zumeist jüngere Patienten zwischen dem 20. und 40. Lebensjahr betroffen.[6][1]
Ursache
Ursache ist eine in der Regel sexuell erworbene Infektion mit humanen Papillomviren zumeist der Hochrisiko-Typen 16 oder 18, gelegentlich werden aber auch die Typen 31–35, 39, 42, 49, und 51–54 in den Läsionen nachgewiesen. Mischinfektionen sind möglich.[7]
Die Bezeichnung als Hochrisiko-Typ beruht auf dem erhöhten Risiko einer Krebserkrankung im Vergleich zur Infektion mit anderen (Niedrigrisiko-)HPV-Typen.
Klinische Erscheinung
Innerhalb kurzer Zeit entstehen an Penis, Vulva, Damm und um den Anus mehrere gruppiert stehende, linsengroße und rötlich-braune Papeln, die zu größeren Plaques konfluieren können. Selten treten die Läsionen im Gesicht[8], am Hals[9] oder an den Fingern[10] auf. Eine lokale oder allgemeine Begleitsymptomatik besteht in der Regel nicht.[7]
Diagnostik
Die Diagnostik umfasst eine hautärztliche und/oder gynäkologische Untersuchung, gegebenenfalls ergänzt um die Entnahme einer Gewebeprobe zur lichtmikroskopischen Untersuchung. Zusätzlich kann anhand des Probenmaterials eine PCR-Untersuchung zum Virusnachweis und zur Bestimmung des Virustyps erfolgen.
Bei Frauen sollte auch eine Untersuchung des Gebärmutterhalses, ggf. mit Entnahme eines Gebärmutterhalsabstrichs, erfolgen.[7]
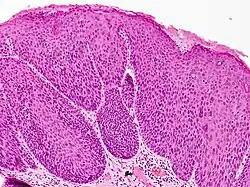
Pathologie
In der lichtmikroskopischen Untersuchung sieht man eine umschriebene Verbreiterung der Epidermis (Oberhaut) mit Hyper- und/oder Parakeratose (überschießende bzw. gestörte Verhornung). Die Schichtung der Epidermis ist aufgehoben und die Zellkerne der Keratinozyten (hornbildende Zellen der Oberhaut) variieren in Form, Größe und Chromatindichte. Als Zeichen der unkontrollierten Zellteilung findet man Mitosen (Kernteilungsfiguren) in der gesamten Epithelbreite sowie Dyskeratosen (vorzeitig verhornte Keratinozyten). Besonders in den oberflächlichen Anteilen der Epidermis kann sich eine HPV-typische Koilozytose (zytoplasmatische Hofbildung um den Zellkern) zeigen.[11][7]

In der immunhistochemischen Färbung auf p16 färben sich Zellkerne und Zytoplasma der Keratinozyten in der gesamten Breite der Epidermis kräftig an.[12]
Therapie
Zwar gilt der Übergang der Bowenoiden Papulose in ein Plattenepithelkarzinom als selten,[7] dennoch sollte unter diesem Gesichtspunkt eine Therapie erfolgen. Die Läsionen können mittels Kohlendioxidlaser, Elektrokauter, Kryotherapie, Diathermie oder Kürettage abgetragen werden. Eine medikamentöse Therapie mit Imiquimod als Creme oder Podophyllotoxin als Lösung zum Auftragen[2][1] ist ebenfalls möglich.
Bei mehrmaligem Rezidiv kann ein Therapieversuch mittels Beschneidung versucht werden.[2]
Heilungsaussicht
Läsionen der Bowenoiden Papulose bilden sich selten von alleine zurück[13] und neigen zu Rezidiven. Besonders bei Patienten mit einem beeinträchtigten Immunsystem kann es zu langwierigen Verläufen kommen.[14]
Prophylaxe
Das Risiko einer Ansteckung mit Humanen Papillomviren kann durch geschützten Geschlechtsverkehr gesenkt werden. Bei Kindern und Jugendlichen vor dem ersten Geschlechtsverkehr kann außerdem eine Impfung gegen bestimmte Virustypen erfolgen, die auch für Erwachsene und nach bereits erfolgter HPV-Infektion sinnvoll sein kann.[15]
Weblinks
- Prävention Diagnostik und Therapie der HPV-Infektion, 2010 Leitlinie der Arbeitsgemeinschaft der wissenschaftlichen Fachgesellschaften
- emedicine.com: Bowenoid Papulosis (engl.)
Einzelnachweise
- ↑ a b c Thomas Brinkmeier: Bowenoide Papulose. In: Wikiderm. Abgerufen am 3. Mai 2021 (deutsch).
- ↑ a b c Peter Altmeyer: Bowenoide Papulose. In: Altmeyers Enzyklopädie. Abgerufen am 3. Mai 2021 (deutsch).
- ↑ Jacob Bornstein, Fabrizio Bogliatto, Hope K. Haefner, Colleen K. Stockdale, Mario Preti: The 2015 International Society for the Study of Vulvovaginal Disease (ISSVD) Terminology of Vulvar Squamous Intraepithelial Lesions. In: Obstetrics and Gynecology. Band 127, Nr. 2, Februar 2016, ISSN 1873-233X, S. 264–268, doi:10.1097/AOG.0000000000001285, PMID 26942352.
- ↑ Peter Altmeyer: Morbus Bowen. In: Altmeyers Enzyklopädie. Abgerufen am 3. Mai 2021.
- ↑ Eduardo Calonje, Thomas Brenn, Alexander Lazar, Steven D. Billings: McKee's pathology of the skin with clinical correlations. Fifth edition Auflage. ohne Ort 2020, ISBN 978-0-7020-7552-0, S. 1192.
- ↑ James W. Patterson: Practical skin pathology : a diagnostic approach. Philadelphia, PA 2013, ISBN 978-1-4557-3827-4, S. 338 (OCLC 851516987).
- ↑ a b c d e Eduardo Calonje, Thomas Brenn, Alexander Lazar, Steven D. Billings: McKee's pathology of the skin with clinical correlations. 5. Auflage. 2020, ISBN 978-0-7020-7552-0, S. 835.
- ↑ I. H. Olhoffer, D. Davidson, J. Longley, E. J. Glusac, D. Leffell: Facial bowenoid papulosis secondary to human papillomavirus type 16. In: The British Journal of Dermatology. Band 140, Nr. 4, 1999, ISSN 0007-0963, S. 761–762, PMID 10233343.
- ↑ T. M. Johnson, A. Saluja, D. Fader, D. Blum, J. Cotton: Isolated extragenital bowenoid papulosis of the neck. In: Journal of the American Academy of Dermatology. Band 41, 5 Pt 2, 1999, ISSN 0190-9622, S. 867–870, doi:10.1016/s0190-9622(99)70355-5, PMID 10534673.
- ↑ D. Purnell, A. Ilchyshyn, D. Jenkins, A. Salim, R. Seth: Isolated human papillomavirus 18-positive extragenital bowenoid papulosis and idiopathic CD4+ lymphocytopenia. In: The British Journal of Dermatology. Band 144, Nr. 3, März 2001, ISSN 0007-0963, S. 619–621, doi:10.1046/j.1365-2133.2001.04097.x, PMID 11260028.
- ↑ Thomas R. Wade, Alfred W. Kopf, A. Bernard Ackerman: Bowenoid papulosis of the penis. In: Cancer. Band 42, Nr. 4, 1978, S. 1890–1903, doi:10.1002/1097-0142(197810)42:4<1890::AID-CNCR2820420430>3.0.CO;2-C.
- ↑ Sabine Riethdorf, Eduardo F. Neffen, Aida Cviko, Thomas Löning, Christopher P. Crum: p16INK4A expression as biomarker for HPV 16-related vulvar neoplasias. In: Human Pathology. Band 35, Nr. 12, 2004, S. 1477–1483, doi:10.1016/j.humpath.2004.09.004 (elsevier.com).
- ↑ J. W. Patterson, G. F. Kao, J. H. Graham, E. B. Helwig: Bowenoid papulosis. A clinicopathologic study with ultrastructural observations. In: Cancer. Band 57, Nr. 4, 15. Februar 1986, ISSN 0008-543X, S. 823–836, doi:10.1002/1097-0142(19860215)57:43.0.co;2-3, PMID 3002589.
- ↑ S. B. Feldman, F. M. Sexton, J. D. Glenn, D. P. Lookingbill: Immunosuppression in men with bowenoid papulosis. In: Archives of Dermatology. Band 125, Nr. 5, 1989, ISSN 0003-987X, S. 651–654, PMID 2565705.
- ↑ HPV-Impfung gegen Gebärmutterhalskrebs. In: gesundheitsinformation.de. Abgerufen am 3. Mai 2021.