Berylliose
| Klassifikation nach ICD-10 | |
|---|---|
| J63 | Pneumokoniose durch sonstige anorganische Stäube |
| J63.2 | Berylliose |
| ICD-10 online (WHO-Version 2019) | |
.jpg)
.jpg)
Als Berylliose wird die Vergiftung des Organismus mit dem Metall Beryllium bzw. berylliumhaltigen Substanzen bezeichnet. Sie gehört zur Gruppe der malignen Pneumokoniosen (Staublungen).
Exposition
Eine Beryllium-Exposition tritt bei Arbeitern von berylliumverarbeitenden Industriezweigen (z. B. Flugzeugbau, Zahntechnische Labore, Kernenergie) durch Einatmung von berylliumhaltigem Staub auf.
Beschrieben wurde sie 1946 anhand von Fällen aus der Fluoreszenzlampen-Industrie, die damals teilweise Beryllium benutzte.[1]
Formen
Akute Berylliose
Die Einatmung hoher Dosen von Beryllium führt akut zur Ausbildung einer Pneumonitis.
Chronische Berylliose
Die chronische Berylliose tritt nach Einatmung niedriger Dosen über einen längeren Zeitraum auf. Die Pathogenese beruht auf der Ausbildung einer Allergie mit Sensibilisierung von T-Helferzellen.[2]
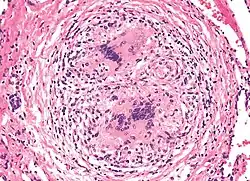
In den Lungen und den angrenzenden Lymphknoten werden epitheloidzellige Granulome ausgebildet. Selten finden sich durch Beryllium induzierte Granulome auch in der Milz, Leber und Nebenniere. Im weiteren Verlauf kommt es zu einer Fibrose der granulomatösen Veränderungen.
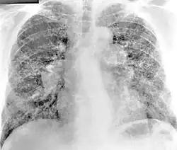
Im Röntgenbild des Brustkorbs zeigen sich unregelmäßige, knotige Veränderungen der Lungen. Bei etwa der Hälfte der Fälle findet sich ein Befall der Lymphknoten am Lungenhilus.
Betroffene Patienten leiden unter uncharakteristischen Symptome wie Atemnot, Husten, Gewichtsverlust und Gelenkschmerzen.
Diagnose
Der Verdacht auf eine Berylliose ergibt sich aus der Konstellation der Symptome und klinischen Befunde. Zur sicheren Diagnose muss in der Anamnese eine Exposition bzw. die Möglichkeit einer Exposition nachgewiesen werden. In der Lungenbiopsie finden sich epitheloidzellige Granulome. Ein Allergietest zeigt eine Sensibilisierung gegenüber Beryllium.
Differentialdiagnostisch von einer chronischen Berylliose sehr schwierig zu unterscheiden ist die Sarkoidose, die sehr ähnliche Symptome und Befunde aufweist.
Einzelnachweise
- ↑ H. L. Hardy, I. R. Tabershaw: Delayed chemical pneumonitis occurring in workers exposed to beryllium compounds, J. Indus. Hyg. Toxicol., Band 28, 1946, S. 197–211
- ↑ R. L. Naeye: Immunologic aspects of chronic berylliosis. In: CHEST. Band 63, Nr. 3, März 1973, S. 306–307, PMID 4540228.
Literatur
- M. Rossman: Chronic beryllium disease: diagnosis and management, Environmental Health Perspectives, Band 104, Suppl. 5, 1996, S. 945–947. PMID 8933039