Becherzelle

(von oben nach unten):
Mikrovilli
Vesikel mit Mucinen
Raues ER
Golgi-Apparat
Zellkern
Die Becherzelle, auch Goblet-Zelle (von englisch goblet, „Becher“) genannt, ist eine einzellige, becherförmige, Schleim produzierende Drüse, die innerhalb eines Epithelverbands liegt. Becherzellen finden sich in den Luftwegen sowie zwischen den Saumzellen im zylindrischen Zottenepithel des Dünn- und Dickdarms, wo sie zahlenmäßig zum After hin zunehmen. Sie sind der Prototyp von mukösen Drüsenzellen.
Sie sind verantwortlich für die Bildung von Mucinen, den strukturgebenden Bestandteilen des Schleims, den sie als Sekret auf dem merokrinen Sekretionsweg direkt auf die Oberfläche abgeben. Die Synthese beginnt im Ergastoplasma. In den Dictyosomen werden die Promuzingranula (Vorsekretkörnchen) gebildet und gestapelt. Bei Aufnahme von Wasser quillt das Sekret zu Schleim und wird ausgestoßen.
Die Becherzellen wurden erstmals 1837 von Jakob Henle beschrieben und 1851 von Franz von Leydig als Schleim produzierende Zellen erkannt. 1866 gab ihnen Franz Eilhard Schulze aufgrund ihrer Ähnlichkeit mit einem Trinkgefäß die Bezeichnung Becherzelle.[1]
-
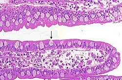
Becherzelle (Pfeil) in einer Schleimhaut -
Schnitt durch einen Mausdarm. Zellkerne in grün, Schleim der Becherzellen in blau, Aktin (Phalloidin-Färbung) in rot.
Literatur
- Renate Lüllmann-Rauch, Friedrich Paulsen: Taschenlehrbuch Histologie. 4. Auflage. Georg Thieme, Stuttgart 2012, ISBN 978-3-13-151664-0, S. 112.
Einzelnachweise
- ↑ N.N.: The Goblet Cells of the Conjunctiva. In: Acta Ophthalmologica. Band 46, Nr. S95, 1968, S. 25, doi:10.1111/j.1755-3768.1968.tb05926.x
Franz Eilhard Schulze: Proximal und distal. In: Zoologischer Anzeiger. Band 33, Nr. 17/18, 1908, S. 622