Bandwurmdiät

Als Bandwurmdiät wird eine unwirksame Form der Schlankheitskur bezeichnet, bei der eine Gewichtsreduktion durch die bewusste orale Einnahme von Eiern oder Larven von Echten Bandwürmern erzielt werden soll.[1] Es gibt keine medizinische Studien, die eine Wirksamkeit dieser Diät belegen.[2] Die biologischen und medizinischen Fakten lassen den Schluss zu, dass es sich bei einem Großteil der Berichte über die Bandwurmdiät um eine moderne Sage handelt.
Beschreibung
Echte Bandwürmer sind Parasiten. Die Infektion, beispielsweise mit Rinder- (Taenia saginata) oder Schweinebandwürmern (Taenia solium), kann – neben anderen, deutlich ernsthafteren gesundheitlichen Veränderungen – in seltenen Fällen auch zu einer Gewichtsabnahme führen. In den meisten Fällen ist jedoch eine Infektion über Jahre symptomlos und die Diagnose meist ein Zufallsbefund beim Einsatz bildgebender Verfahren oder einer Stuhluntersuchung.[3] Im Gegensatz dazu ist eine durch Fuchsbandwürmer hervorgerufene alveoläre Echinokokkose lebensbedrohlich. Jedoch zeigen sich auch hier die ersten Symptome erst nach mehreren Jahren. Durch die Beobachtung, dass eine Infektion mit Bandwürmern zu einem Gewichtsverlust führen kann,[4] wurde die bewusste Infektion mit Bandwurmeiern ersonnen, um eine Gewichtsreduktion bei übergewichtigen Personen zu erreichen. Die postulierte Gewichtsabnahme basiert dabei auf der Vorstellung, dass der Bandwurm einen Teil der aufgenommenen Nahrung konsumiert, die dann dem Stoffwechsel des Bandwurmträgers fehlt.
Geschichte
Die Bandwurmdiät hat ihren Ursprung zu Beginn des 20. Jahrhunderts. In den Vereinigten Staaten erschienen um das Jahr 1900 die ersten Werbeplakate für „desinfizierte Bandwürmer im Glas“.[5] Der Begriff «Bandwurmdiät» findet sich allerdings spätestens seit 1840 in der Fachliteratur,[6] bezieht sich aber meist auf Ernährungsempfehlungen für Patienten, die ungewollt eine Bandwurminfektion haben. Trotz medizinischer Aufklärung und einer prinzipiellen Unwirksamkeit wird diese Form der Gewichtsreduzierung gegenwärtig noch immer beworben und offensichtlich auch angewendet. So werden beispielsweise über das Internet ‚Bandwurmeier zum Abnehmen‘ angeboten.[1] Die US-amerikanische Schriftstellerin Laura Hillenbrand behauptet in ihrem Buch Seabiscuit: mit dem Willen zum Erfolg, dass Jockeys in den 1930er Jahren absichtlich Bandwürmer zur Gewichtsreduzierung eingenommen hätten.[7] In vielen Quellen wird der Mythos verbreitet, die Opernsängerin Maria Callas hätte mittels einer Bandwurmdiät ca. 50 kg an Gewicht abgenommen.[1] 1953 wog Maria Callas über 100 kg. Danach nahm sie innerhalb von einem Jahr etwa 40 kg ab.[8] Dies war allerdings nicht einer Bandwurmdiät, sondern einer Hormontherapie geschuldet. Nach Aussage von Pia Meneghini, der Schwägerin von Maria Callas, nahm sie Ende 1953 „sehr hohe Dosen eines getrockneten Schilddrüsenextrakts sowie Hormone ein, die den gesamten Stoffwechsel stark beschleunigten, wodurch sie in sehr kurzer Zeit große Mengen überschüssiges Fett verbrannte“. Bei dieser von einem Schweizer Arzt durchgeführten Behandlung soll Callas beispielsweise auch Jod direkt in die Schilddrüse injiziert bekommen haben, um so eine gewichtsreduzierende – gesundheitlich aber sehr bedenkliche – Hyperthyreose (Schilddrüsenüberfunktion) zu induzieren. Möglicherweise wahr ist allerdings, dass Maria Callas zeitweilig eine Bandwurminfektion hatte. Elena Pozzan, Haushälterin und Köchin von Maria Callas, berichtete dem italienischen Musikkritiker Bruno Tosi für dessen Buch Maria Callas – Die Göttliche in der Küche:
„Um Kraft zu gewinnen, besonders wenn sie singen musste, aß sie rohes Fleisch oder auch rohe Leber, die sie nur mit einigen Tropfen Öl zu Brei zerstampfte.“
Durch den Verzehr von rohem Fleisch könnte sie sich mit einem Rinder- oder Schweinebandwurm infiziert haben.[9] Auf die Frage nach ihrem spektakulären Gewichtsverlust antwortete Maria Callas anfänglich Reportern, dass sie einen Bandwurm gehabt hätte.[10] Später bestritt sie diese Aussagen.[11]
Auch über Claudia Schiffer werden im Internet entsprechende Gerüchte verbreitet. Dabei handelt es sich um einen Hoax.[12]
Wirksamkeit

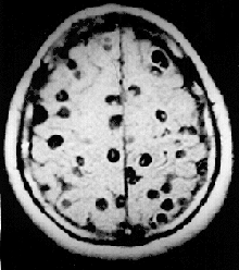
Im Gehirn des Patienten befindet sich eine Vielzahl von Finnen (MRT-Aufnahme)[13]
_032_Finnen_zwischen_den_Muskelfasern_des_Fleisches.png)
Eine Infektion mit Bandwürmern ist nur über die Aufnahme eines mit Bandwurmlarven (Finnen) befallenen Stück Fleisches oder Fisches möglich, das unvollständig gegart wurde. Die Larven befallen verschiedene Organe, wie beispielsweise das Gehirn, und die Muskulatur. Dies kann zu Entzündungen mit Gewebeverkalkungen und Krampfanfällen führen.[14]
Aus den von Quacksalbern[15] angebotenen Bandwurmeiern kann – mit Ausnahme von Eiern des Zwergbandwurms – kein adulter Bandwurm entstehen. Aus den Eiern schlüpfen Embryonen mit sechs Haken, sogenannte Sechshakenlarven (Hexacanthlarven), die die Darmwand durchbohren, um in die Blutbahn zu gelangen.[16] Von dort können sie die unterschiedlichsten Organe und die Muskulatur besiedeln. Erst im Endwirt kann sich aus den Larven ein adulter, geschlechtsreifer Bandwurm entwickeln. Lediglich der Zwergbandwurm (Hymenolepis nana) und der Schweinebandwurm (Taenia solium) bilden hier eine medizinisch relevante Ausnahme. Beim Schweinebandwurm kann der Mensch sowohl Zwischen- als auch Endwirt sein. Menschen, die Schweinebandwurmeier oral aufgenommen haben, können keinen Schweinebandwurm in ihrem Darm ansiedeln, dafür aber Zystizerkosen entwickeln. Nur Eier des Zwergbandwurms können sich nach einer oralen Aufnahme beim Menschen direkt zu einem Zwergbandwurm entwickeln. Er benötigt keinen Zwischenwirt. Allerdings erreicht der Zwergbandwurm – wie sein Name schon andeutet – bei einem Durchmesser von etwa 1 mm nur eine Körperlänge von etwa 40 mm. Infektionen mit Zwergbandwürmern sind vergleichsweise häufig, meist ohne Symptome und zur Gewichtsreduzierung prinzipiell ebenfalls nicht geeignet.[15] Selbst eine Infektion mit einem Fischbandwurm (Diphyllobothrium latum), der im Menschen eine Länge von bis zu 12 Meter erreichen kann,[17] führt im Wesentlichen zu einem Vitamin-B12-Mangel,[18] der wiederum eine perniziöse Anämie zur Folge hat. Gewichtsverluste sind eher selten[19] und sind offensichtlich durch andere, häufigere Symptome wie Magen-Darm-Beschwerden, Übelkeit, Erbrechen und Durchfall[20] bedingt.[21]
In Mexiko werden angeblich Bandwurmdiäten für etwa 1500 bis 1800 USD angeboten.[7] Dabei sollen Rinderbandwurmzysten verabreicht werden.[22] Zysten sind die Dauerform der Larven im Zwischenwirt. Durch orale Aufnahme im Darm des Endwirtes können daraus adulte Rinderbandwürmer entstehen.
-
Zwergbandwurm (Hymenolepis nana)
-
Schweinebandwurm (Taenia solium) -
Rinderbandwurm (Taenia saginata) -
Proglottis eines Fischbandwurms (Diphyllobothrium latum)
Eine moderne Sage?
| Sanitized Tapeworm Eggs |
|---|
| unbekannt, um 1910 |
|
Link zum Bild |

In den Berichten über die Bandwurmdiät finden sich keine Hinweise darüber, welche Spezies aus der Klasse der Bandwürmer, bzw. der Unterklasse der Echten Bandwürmer, verwendet wurden oder werden.[7] Schon die Unterklasse der Echten Bandwürmer hat eine Vielzahl von Familien und Gattungen. Prinzipiell am geeignetsten erscheinen für diesen Zweck Schweine- und Rinderbandwürmer.[7] Es ist auch unklar, ob die zu Beginn des 20. Jahrhunderts verkauften Produkte zur Bandwurmdiät auch wirklich Bandwurmeier enthielten. In der Zeit vor der staatlichen Regulierung von Arzneimitteln – in den Vereinigten Staaten wurde das erste Arzneimittelgesetz 1938, in Deutschland gar erst 1961 erlassen[23] – waren Falschdeklarationen von Inhaltsstoffen und unseriöse Heilungsversprechungen sehr häufig.[24] Angepriesen wurden die Produkte als sanitized tapeworm eggs (dt. etwa ‚gereinigte Bandwurmeier‘). Unabhängig davon kann durch die Einnahme von Bandwurmeiern kein Bandwurm im Darm angesiedelt werden, der in der Lage wäre, eine signifikante Gewichtsabnahme zu bewirken. Aufgrund dieser Fakten gehen zahlreiche Autoren[21][24][7] davon aus, dass es sich bei den Berichten über die Bandwurmdiät offensichtlich um eine moderne Sage handelt.
Eine funktionierende und entsprechend häufig angewendete Bandwurmdiät wäre epidemiologisch unverantwortlich. Ein Bandwurminfizierter scheidet pro Tag bis zu 200.000 Bandwurmeier aus,[25] die aufgrund ihrer geringen Größe und Widerstandsfähigkeit leicht auf andere Menschen oder andere Säugetiere als Zwischenwirt übertragen werden können. Dadurch würde die Gesundheit einer Vielzahl Unbeteiligter erheblich gefährdet werden.[26] Für den Anwender einer Bandwurmdiät hat diese erhebliche und vom pharmakologischen Standpunkt aus unverantwortliche Nebenwirkungen.
Einzelnachweise
- ↑ a b c Abnehmstrategie 3: Bandwurmeier schlucken. Bei: focus.de vom 2. Juli 2014.
- ↑ Julie-Ann Amos: The Tapeworm Diet. Stand: 28. Mai 2009, abgerufen am 4. Juli 2014.
- ↑ Parasitäre Infektionen. In: Alexander Bob, Konstantin Bob (Hrsg.): Innere Medizin. Kapitel 5, Georg Thieme Verlag, 2001, ISBN 3-13-112873-9, S. 1289. eingeschränkte Vorschau in der Google-Buchsuche
- ↑ A. V. Jesudoss, M. Kaya u. a.: Wormy surprise! In: BMJ Case Reports. Band 2012, 2012, S. , ISSN 1757-790X. doi:10.1136/bcr.12.2011.5416. PMID 22729345. PMC 3387467 (freier Volltext).
- ↑ Angela Stoll: Diäten-Wahn: Bandwurm oder Seife gegen Körperfett. In: Augsburger Allgemeine vom 5. März 2014.
- ↑ Erwähnt wird der Begriff in dem Buch Syge-diætetik von Oluf Lundt Bang aus dem Jahr 1840. Siehe dazu: J. C. G. Fricke, F. W. Oppenheim (Hrsg.): Zeitschrift für die gesammte Medicin. Band 18; Perthes, Besser & Mauke; Hamburg 1841, S. 284. eingeschränkte Vorschau in der Google-Buchsuche
- ↑ a b c d e Elizabeth Tucker: From Oral Tradition to Cyberspace – Tapeworm Diet Rumors and Legends. In: Trevor J. Blank: Folk Culture in the Digital Age. Kapitel 9, O’Reilly Media, Inc., 2013, ISBN 978-1-4571-8467-3, S. 106. eingeschränkte Vorschau in der Google-Buchsuche
- ↑ a b Josef Nyáry: Die geheime Leidenschaft der Maria Callas. In: Hamburger Abendblatt vom 18. August 2007.
- ↑ Cornelia Geissler: Ein Häppchen für die Diva. In: Berliner Zeitung vom 2. November 2007.
- ↑ George Jellinek: Callas: Portrait of a Prima Donna. Courier Dover Publications, 1986, ISBN 0-486-25047-4, S. 118. eingeschränkte Vorschau in der Google-Buchsuche
- ↑ Linda Hutcheon, Michael Hutcheon: Bodily Charm: Living Opera. University of Nebraska Press, 2000, ISBN 0-8032-2385-4, S. 139. eingeschränkte Vorschau in der Google-Buchsuche
- ↑ Tubbies melt flab away with 'miracle' diet pill. In: Weekly World News S. 31 vom 17. Dezember 2002 eingeschränkte Vorschau in der Google-Buchsuche
- ↑ C. Evans, H. H. Garcia u. a.: Controversies in the management of cysticercosis. In: Emerging infectious diseases. Band 3, Nummer 3, 1997, S. 403–405, ISSN 1080-6040. doi:10.3201/eid0303.970324. PMID 9284392. PMC 2627648 (freier Volltext). (Review).
- ↑ Susanne Schäfer: Gaga-Diäten Teil 1: Kinderriegel erlaubt, Yogurette verboten. In: Spiegel Online vom 6. Juni 2012.
- ↑ a b Alan Gunn, Sarah Jane Pitt: Parasitology – An Integrated Approach. John Wiley & Sons, 2012, ISBN 978-0-470-68424-5, S. 298. eingeschränkte Vorschau in der Google-Buchsuche
- ↑ Echinococcis – Erregerbeschreibung. ( des vom 14. Juli 2014 im Internet Archive) Info: Der Archivlink wurde automatisch eingesetzt und noch nicht geprüft. Bitte prüfe Original- und Archivlink gemäß Anleitung und entferne dann diesen Hinweis. Institut für Hygiene und Mikrobiologie der Universität Würzburg, abgerufen am 2. Juli 2014.
- ↑ C. Stanciu, A. Trifan u. a.: Diphyllobothrium latum identified by capsule endoscopy–an unusual cause of iron-deficiency anemia. ( vom 26. Juni 2013 im Internet Archive) In: Journal of gastrointestinal and liver diseases : JGLD. Band 18, Nummer 2, Juni 2009, S. 142, ISSN 1841-8724. PMID 19565041.
- ↑ S. Lal, A. H. Steinhart: Diphyllobothrium latum: a case of an incidental finding. In: World journal of gastroenterology : WJG. Band 13, Nummer 12, März 2007, S. 1875–1876, ISSN 1007-9327. PMID 17465485.
- ↑ M. M. Llaguno, J. Cortez-Escalante u. a.: Diphyllobothrium latum infection in a non-endemic country: case report. In: Revista da Sociedade Brasileira de Medicina Tropical. Band 41, Nummer 3, 2008 May-Jun, S. 301–303, ISSN 0037-8682. PMID 18719813.
- ↑ Y. Jackson, R. Pastore u. a.: Diphyllobothrium latum outbreak from marinated raw perch, Lake Geneva, Switzerland. In: Emerging infectious diseases. Band 13, Nummer 12, Dezember 2007, S. 1957–1958, ISSN 1080-6040. doi:10.3201/eid1312.071034. PMID 18258060. PMC 2876774 (freier Volltext).
- ↑ a b Natalie de Souza: Ingestion / The Beast Within – The tale of the tapeworm. In: Cabinet Nummer 34, 2009.
- ↑ Tapeworm Diet: Using Beef Tapeworms in Humans. Abgerufen am 4. Juli 2014.
- ↑ Brigitte M. Gensthaler: Was Ethikkommissionen leisten. In: Pharmazeutische Zeitung 28/2009.
- ↑ a b Barbara Mikkelson: As the Worm Squirms. Bei: snopes.com vom 8. Juli 2006, abgerufen am 4. Juli 2014.
- ↑ Intestinal Worms. Informationsblatt der WHO, S. 112.
- ↑ Abnehmen mit der Bandwurmdiät. Abgerufen am 5. Juli 2014.