Babesia microti
| Babesia microti | ||||||||||||
|---|---|---|---|---|---|---|---|---|---|---|---|---|
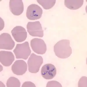
Babesia microti in roten Blutkörperchen | ||||||||||||
| Systematik | ||||||||||||
| ||||||||||||
| Wissenschaftlicher Name | ||||||||||||
| Babesia microti | ||||||||||||
| (França, 1912) |
Babesia microti (altgriechisch μικρό mikro „klein“, altgriechisch οὖς oús [Genitiv ὠτός ōtós] „Ohr“) ist ein auch (in seltenen Fällen[1]) für den Menschen pathogener Einzeller, der zu den „kleinen“ Babesien gehört. Er kommt endemisch im Osten und im nördlichen Mittelwesten der USA vor, Einzelfallberichte gibt es auch aus den gemäßigten Zonen außerhalb der USA. Er löst bei Menschen eine malariaähnliche Erkrankung mit Fieber und Hämolyse aus, die die häufigste Babesiose des Menschen ist. Als Überträger fungiert die Hirschzecke (Ixodes scapularis).
Babesien sind durch Zecken übertragene intraerythrozytäre Parasiten. Erkrankungen beim Menschen kommen nur in Ausnahmefällen vor, zum Beispiel bei immunsupprimierten oder splenektomierten Patenten nach einer Infektion mit Babesia microti oder mit Babesia divergens.[2] Namensgebend für einen Befall von Nagetieren[3] mit Babesia microti war das Symptom einer Mikrotie im Rahmen einer Babesiasis oder Babesiose.
Die systematische Stellung von Babesia microti ist umstritten. Studien zur ribosomalen RNA ordneten die Art der Gattung Theileria zu, neuere genetische Untersuchungen zeigen, dass sie vermutlich weder zu Babesia noch Theileria gehört, sondern einer eigenen Gattung zuzuordnen wäre. In der medizinischen Literatur wird jedoch immer noch der Name Babesia microti verwendet. Das Genom wurde erstmals 2012 analysiert. Es besteht aus vier Chromosomen mit etwa 6,5 Megabasenpaaren, die etwa 3500 Polypeptide kodieren. Das Erbgut ist damit eines der kleinsten innerhalb der Apicomplexa. Eine neuere Analyse identifizierte 3615 Gene, die 3567 Proteine kodieren.[4]

Siehe auch
Literatur
- Tinsley Randolph Harrison: Harrisons Innere Medizin. 20. Auflage, Georg Thieme Verlag, Berlin 2020, ISBN 978-3-13-243524-7, Band 2, Kapitel: 220 Babesiose, S. 1984–1988.
- Tinsley Randolph Harrison: Harrison's Principles of Internal Medicine. 21. Auflage, Band 2, McGraw-Hill 2022, ISBN 978-1-264-26848-1, Kapitel: 225 Babesiosis, S. 1736–1741.
- The Merck Manual: 20th Edition, Kenilworth 2018, ISBN 978-0-911910-42-1, 1544 f.
Einzelnachweise
- ↑ Maxim Zetkin, Herbert Schaldach: Lexikon der Medizin, 16. Auflage, Ullstein Medical, Wiesbaden 1999, ISBN 978-3-86126-126-1, S. 197.
- ↑ Willibald Pschyrembel: Klinisches Wörterbuch. 268. Auflage. Verlag Walter de Gruyter, Berlin/Boston 2020, ISBN 978-3-11-068325-7, S. 185.
- ↑ Peter Reuter: Springer Klinisches Wörterbuch 2007/2008. Heidelberg 2007, ISBN 978-3-540-34601-2, S. 177.
- ↑ A. Puri, S. Bajpai, S. Meredith, L. Aravind, P. J. Krause, S. Kumar: Pathogen Genomics, Genetic Variability, Immunodominant Antigens, and Pathogenesis. In: Frontiers in Microbiology. Band 12, 2021, S. 697669, doi:10.3389/fmicb.2021.697669, PMID 34539601, PMC 8446681 (freier Volltext) (Review).
