Autoimmunhepatitis
| Klassifikation nach ICD-10 | |
|---|---|
| K75.4 | Autoimmune Hepatitis |
| ICD-10 online (WHO-Version 2019) | |
| Klassifikation nach ICD-11 | |
|---|---|
| DB96.0 | Autoimmune Hepatitis |
| ICD-11: Englisch • Deutsch (Entwurf) | |

Die Autoimmunhepatitis (AIH) ist eine seltene, akute oder chronisch-entzündliche Autoimmunkrankheit der Leber. Das eigene Immunsystem greift hierbei Leberzellen an, wodurch es zur Leberentzündung (Hepatitis) kommt. Bei der Autoimmunhepatitis erkennen die T-Zellen des Organismus Oberflächenantigene der Leber als fremd. Somit hat das Immunsystem in Bezug auf die Leber seine Immuntoleranz verloren.
Vorkommen
In Europa und Nordamerika werden rund 0,2–1,2 Neuerkrankungen pro 100.000 Menschen in einem Jahr diagnostiziert. Damit ist die Autoimmunhepatitis für rund 10–20 % der chronischen Lebererkrankungen verantwortlich.[1][2] Die Erkrankung kommt bei Frauen rund viermal häufiger vor als bei Männern. Rund die Hälfte der Neuerkrankungen betreffen Menschen vor dem Erreichen des 30. Lebensjahres.[3]
Ursachen
Sie kann möglicherweise durch andere Erkrankungen ausgelöst werden. Als Auslöser der Autoimmunhepatitis werden Umwelttoxine, bakterielle Antigene (z. B. Salmonellen-Antigene) und Viren diskutiert, wie z. B. die Viren der Hepatitis A, B, C und D oder auch Masern- und Herpesviren, die zwar als Auslöser der Krankheit in Frage kommen, in der Phase der Autoimmunhepatitis aber nicht nachweisbar sind.
Krankheitsentstehung
Durch die fehlende Immuntoleranz kommt es zu einem Angriff der T-Zellen gegen Antigene auf der Membran der Leberzellen. Ebenso tritt auch eine antikörpervermittelte Reaktion gegen die Leberzellen auf. Der genaue Krankheitsmechanismus ist dabei noch ungeklärt.[4]
Klinische Erscheinungen
Die Autoimmunhepatitis geht vor allem mit schweren Krankheitszeichen einher. Darunter fallen Müdigkeit, Übelkeit, Appetitverlust, Fieber, Gelenkschmerzen und der typische Ikterus, sobald die Leberleistung nicht mehr ausreicht, das anfallende Bilirubin abzubauen. Außerdem kommt es häufig zu autoimmunen Entzündungen der Schilddrüse, der Gefäße, des Dickdarms, des Brustfells oder der Haut. Ebenso treten autoimmun bedingte Anämien gehäuft auf. Bei älteren Patienten kommt es häufiger zu einem schleichenden Verlauf der Erkrankung mit weniger schweren Symptomen.[4][1]
Diagnostik
Laborchemisch zeichnet sich die Krankheit durch Transaminasenerhöhung und durch einen Anstieg der Antikörper, besonders von Immunglobulin (IgG), aus. Bei jedem Dritten findet sich eine Erhöhung des Bilirubins. Charakteristisch ist aber das Vorkommen von Antikörpern, wie Antikörper gegen Zellkerne (ANA), glatte Muskelfasern (SMA), Mikrosomen von Leber- und Nierenzellen (LKM) oder ein lösliches Leberprotein (Soluble Liver Antigen SLA, korrekt eigentlich anti-Soluble Liver Antigen, abgekürzt ASLA, synonym Liver-Pancreas-Antigen LP). Diese Antikörper finden sich nur bei ca. 80 % der Erkrankten und gelegentlich auch bei anderen Krankheiten. Sie sind nicht für die Pathogenese der chronischen Autoimmunhepatitis verantwortlich, stellen aber für die Diagnose führende serologische Marker der Krankheit dar. Aufgrund verschiedener Antikörperspektren unterscheidet man heute drei Hepatitistypen, zwischen denen es allerdings Überlappungen gibt. Die Behandlung der drei Typen unterscheidet sich nicht. Essentiell für das Abschätzen des Krankheitsfortschritts ist die Beurteilung der Leberhistologie.
Dennoch werden auch erhöhte Autoantikörper bei medikamentös- toxischer Hepatitis gefunden, die die Differentialdiagnose zur Autoimmunhepatitis darstellt. Im Gegensatz zur Autoimmunhepatitis reagiert die medikamentös toxische Hepatitis recht zügig auf Immunsuppressiva mit rascher Normalisierung der Transaminasen und es gibt nach Absetzen der Immunsuppressiva in der Regel kein Relaps.
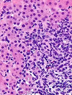
Pathologie
Die feingewebliche Untersuchung der Leber kann den Grad der Entzündung und deren Folgen bestimmen. Bei der leichten Form der Entzündung ist die Invasion von Lymphozyten auf das Portalfeld beschränkt. Bei der schwereren Form kommt es zum Übergreifen der Entzündungszellen auf das Leberläppchen selbst. Dabei treten sowohl Einzelzellnekrosen wie auch Nekrosen an der Grenzplatte des Läppchens auf. Im fortgeschrittenen Stadium kommt es zum fibrotischen Umbau der Leber und schließlich zur Leberzirrhose.[4]
Formen
Typ I
Als Typ I (früher: lupoide Hepatitis) bezeichnet man den häufigsten Typ der Autoimmunhepatitis. Sie macht rund vier Fünftel der Erkrankungen aus. Der Typ I tritt gehäuft im Alter von 20 bis 40 Jahren auf. 40–70 % der Patienten zeigen einen erhöhten Wert für Antikörper. SMA-Antikörper treten in 70–100 % der Fälle auf. Antinukleäre Antikörper treten oft erst im Verlauf der Erkrankung auf. Der Typ I zeigt sehr gute Therapieergebnisse. Trotzdem entwickeln 40–45 % der Erkrankten eine Leberzirrhose.[2]
Typ II
Der Typ 2 zeichnet sich durch LKM-Antikörper aus, welche bei anderen Formen der AIH nicht vorkommen. Er betrifft rund 10 % der Erkrankten und manifestiert sich vor allem in der Kindheit oder Jugend. Typisch ist ebenso eine starke klinische Symptomatik, die einer akuten Hepatitis ähnelt. Rund vier Fünftel der Patienten entwickeln im Lauf ihres Lebens eine Zirrhose.[2]
Typ III
Der Typ III wurde früher beim Vorhandensein von LP/SLA-Antikörpern angenommen. Der klinische Verlauf ähnelt dem Typ I. Mittlerweile wird er nicht mehr als eigenständige Entität gesehen und in neueren Publikationen dem Typ I zugeschlagen.[2]
Verteilungsmuster der Antikörper
| Autoantikörper | ANA | SMA | SLA | LKM | pANCA | AMA |
|---|---|---|---|---|---|---|
| Autoimmunhepatitis Typ I (lupoide Hepatitis) | 100 % | 60–90 % | Ø | Ø | Ø | Ø |
| Autoimmunhepatitis Typ II (LKM-positive Hepatitis) | Ø | Ø | 100 % | |||
| Autoimmunhepatitis Typ III (SLA-positive Hepatitis) | Ø | 100 % | Ø | |||
| primär biliäre Cholangitis (PBC) | <10 % | 10 % | Ø | Ø | <10 % | 95 % |
| primär sklerosierende Cholangitis | 50 % | <10 % | Ø | Ø | 80 % | Ø |
| Typ II bei chronischer Hepatitis C | 5 % | 5 % | Ø | 100 % | Ø | Ø |
Erläuterungen der Abkürzungen
| Abk. | englisch | deutsch |
|---|---|---|
| SMA | smooth muscle antibody | Antikörper gegen glatte Muskulatur |
| SLA | soluble liver antigen | lösliches Leberantigen |
| LKM | liver kidney microsome | Antikörper gegen endoplasmatisches Retikulum (Mikrosomen) der Leber und Niere |
| pANCA | perinuclear staining pattern of anti-neutrophil cytoplasmatic antibodies | antineutrophile cytoplasmatische Antikörper mit perinukleärem Muster |
| AMA | anti mitochondrial antibody | antimitochondriale Antikörper |
| ANA | anti nuclear antibody | antinukleäre Antikörper |
Therapie
Kern der Therapie ist das Kortikosteroid Prednison. Es sollte in Kombination mit dem Purinanalogon Azathioprin eingesetzt werden, um die Prednisondosis möglichst gering zu halten, da Prednison wie alle Kortikosteroide dosisabhängig ein Cushing-Syndrom als Nebenwirkung auslösen kann. Die Behandlung sollte zwei bis vier Jahre fortgeführt werden, bis ein Auslassversuch erfolgt. In 80 % der Fälle muss sie lebenslang weitergeführt werden. Zusätzlich sollte eine medikamentöse Osteoporoseprophylaxe durchgeführt werden, um die knochenabbauende Wirkung von Prednison abzuschwächen.[1][3] Im Jahr 2012 wurde in Deutschland auch die Behandlung mit dem synthetischen Glucocorticoid Budesonid zugelassen, Vorteile waren hier vor allem die geringeren Nebenwirkungen, auch Budesonid wird mit Azathioprin kombiniert.[5]
Bei Therapieversagen liegen nur Daten aus kleinen Fallserien vor. In Einzelfällen wurden gute Ergebnisse mit Cyclophosphamid erzielt. Für Patienten mit Typ I wurden auch mit Tacrolimus, Mycophenolatmofetil und Methotrexat zufriedenstellende Ergebnisse erzielt. Die Anwendung von Cyclosporin A ist umstritten. Wenn alle medikamentösen Maßnahmen ausgeschöpft sind, kann eine Lebertransplantation versucht werden. Die Autoimmunhepatitis kann auch das transplantierte Organ befallen. So kommt es in 7–10 % der Fälle im ersten Jahr zu einem Rückfall, binnen fünf Jahren steigt die Zahl auf 60–70 %. Bei Patienten mit dem HLA-Typ DR3 sind bisher keine Rückfälle beschrieben.[2]
Heilungsaussicht
Ohne Behandlung endet die Autoimmunhepatitis tödlich. Bei adäquater Behandlung haben 90 % der Patienten, die auf die Therapie ansprechen, eine nur unmerklich reduzierte Lebenserwartung. Dies betrifft jedoch nur Patienten, bei denen noch keine Leberzirrhose aufgetreten ist. Rund 10 % der Patienten sprechen nicht auf die Kombinationstherapie mit Prednison und Azathioprin an. Für diese Gruppe können Behandlungsversuche mit nicht zugelassenen Medikamenten oder eine Lebertransplantation durchgeführt werden.[1][3]
Weblinks
- Artikel auf leberhilfe.org
- S2k-Leitlinie Autoimmune Lebererkrankungen der Deutschen Gesellschaft für Gastroenterologie, Verdauungs- und Stoffwechselkrankheiten (DGVS. In: AWMF online (Stand 02/2017))
Einzelnachweise
- ↑ a b c d Wolfgang Piper: Innere Medizin. Heidelberg 2007, S. 406f.
- ↑ a b c d e E. Kuntz, H.-D. Kuntz: Hepatology – Textbook and Atlas. 3. Auflage. Heidelberg 2008, S. 656–667.
- ↑ a b c Gerd Herold u. a.: Innere Medizin. Köln 2009, S. 507.
- ↑ a b c H. Denk, H. P. Dienes, W. Jochum, P. Schirmacher, M. Trauner: Leber und intrahepatische Gallenwege. In: W. Böcker, H. Denk, Ph. U. Heitz, H. Moch: Pathologie. 4. Auflage. München 2008, S. 791 f.
- ↑ M. P. Manns, M. Woynarowski, W. Kreisel, Y. Lurie, C. Rust, E. Zuckerman, M. J. Bahr, R. Günther, R. W. Hultcrantz, U. Spengler, A. W. Lohse, F. Szalay, M. Färkkilä, M. Pröls, C. P. Strassburg, European AIH-BUC-Study Group: Budesonide induces remission more effectively than prednisone in a controlled trial of patients with autoimmune hepatitis. In: Gastroenterology. 2010; 139, S. 1198–1206, doi:10.1053/j.gastro.2010.06.046.