Analrandkarzinom
| Klassifikation nach ICD-10 | |
|---|---|
| C44.5 | Sonstige bösartige Neubildungen der Haut Haut des Rumpfes; Anus: Haut, Rand(-Gebiet); Haut der Brustdrüse; Perianalhaut |
| ICD-10 online (WHO-Version 2019) | |



Das Analrandkarzinom (engl. carcinoma of the anal margin oder carcinoma of the perianal area) ist ein Hautkarzinom mit vorwiegend flächiger und ulzeröser Ausbreitung.[2] Es gehört zusammen mit dem Analkanalkarzinom zu den Analkarzinomen. Das Analrandkarzinom entsteht meist aus einer perianalen intraepithelialen Neoplasie (PAIN, eine Gewebeneubildung innerhalb der den Anus umgebenden Epithelzellen (eine Präkanzerose))[3]. Die Erkrankung ist relativ selten.
Definition und Beschreibung
Analrandkarzinome werden als maligne Tumoren definiert, die unterhalb (distal) der Linea anocutanea und 5 cm in deren Umkreis entstehen. Maligne Tumoren, die proximal (oberhalb, in oraler Richtung) der Linea anocutanea und unterhalb der Linea dentata liegen, sind definitionsgemäß Analkanalkarzinome.
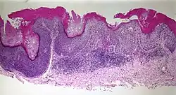
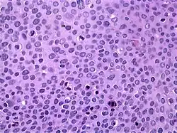
In den meisten Fällen handelt es sich um Plattenepithelkarzinome, die auch als Spinaliome oder Stachelzellkarzinome bezeichnet werden. Wesentlich seltener sind Adenokarzinome.[4] Analrandkarzinome wachsen relativ langsam und metastasieren bevorzugt in Lymphknoten der Leistenregion. Fernmetastasen sind eher selten und betreffen im Wesentlichen Leber und Lunge.[2]
Häufigkeit
Etwa jedes fünfte Analkarzinom ist ein Analrandkarzinom. Männer und Frauen sind gleich häufig betroffen. Der Altersgipfel liegt zwischen dem 60. und 70. Lebensjahr.[5][6] Etwa 0,2 bis 0,4 % aller gastrointestinalen Karzinome sind Analrandkarzinome. Die Inzidenz liegt bei etwa 0,2 pro 100.000 Einwohner und Jahr.[4]
Ursachen
Die genaue Ätiologie des Analrandkarzinoms ist unklar. Bedeutende Risikofaktoren sind vorgeschädigte Bereiche der Perianalhaut. Dazu gehören chronische Entzündungen, wie beispielsweise Morbus Crohn[7][8] und Infektionen mit Humanen Papillomviren (HPV),[9] speziell mit den krebserregenden Hoch-Risiko-Typen 16, 18 und 58. Entsprechend können Feigwarzen (Condylomata acuminata), die durch die HPV-Hoch-Risiko-Typen entstehen, der Ausgangspunkt für die Entartung des Plattenepithels sein.[9][10][11][12] Auch eine Knötchenflechte (Lichen ruber planus)[13] eine Acne inversa,[14][15][16][17] und ein Lichen sclerosus[18][19][20], sowie Infektionen mit dem Herpes-simplex-Virus Typ 2[4] können den Boden für die Entstehung eines Analrandkarzinoms bilden. Ein weiterer bedeutender Risikofaktor ist eine Immunsuppression, beispielsweise nach einer Organtransplantation,[21] oder bei immuninkompetenten HIV-positiven Patienten.[22][23]
Symptomatik und Diagnose
In der Vorstufe der perianalen intraepithelialen Neoplasie (PAIN, der Begriff Präkanzerose gilt als veraltet[23]) liegen ekzemartige Hautveränderungen vor. Ein sich daraus entwickelndes Analrandkarzinom präsentiert sich als warzenartiger (verruköser) hautfarbener bis rötlicher Knoten, der von derber, seltener glatter Morphologie ist. Das Karzinom breitet sich über Monate und Jahre peripher und in die Tiefe aus. Dabei kann es tiefer liegende Gewebe und Organe infiltrieren. Mit dem Beginn der Geschwürbildung (Exulzeration) stellen sich bei den Patienten Juckreiz, Nässen, Blutungen und Schmerzen ein.[23]
Der behandelnde Arzt, meist ein Dermatologe oder Proktologe, führt in der Regel eine genaue Inspektion und Palpation des Anus durch. Mit Hilfe der Entnahme einer kleinen Gewebemenge kann die Verdachtsdiagnose histologisch abgesichert werden. Für die Behandlung des Tumors ist die Kenntnis seines Ausbreitungsgrades (Klassifikation) und seiner Dicke notwendig. Mit Hilfe der Gewebeprobe kann der Differenzierungsgrad (Grading) des Tumors bestimmt werden. Hat der Tumor eine Dicke von 2 cm überschritten, so wird eine Ultraschalluntersuchung der Lymphknoten in der Leistengegend (inguinale Lymphknotensonografie) empfohlen. Damit kann festgestellt werden, ob der Tumor Metastasen in den Lymphknoten gebildet hat. Bei Tumoren der Klasse 4 werden meist bildgebende Verfahren wie Magnetresonanztomographie oder Computertomographie eingesetzt, um mögliche Fernmetastasen aufzuspüren.[23]
Bei der Differentialdiagnose sind Basaliome, anorektale Melanome, Keratoakanthome, Warzen und nach außen wachsende Analkanalkarzinome zu unterscheiden.[23]
Klassifikation
Die TNM-Klassifikation des Analrandkarzinoms:[4]
| Klassifikation | Beschreibung |
| Tis | Carcinoma in situ |
| T1 | Tumor 2 cm oder weniger in der größten Ausdehnung |
| T2 | Tumor mehr als 2 cm aber nicht mehr als 5 cm in größter Ausdehnung |
| T3 | Tumor mehr als 5 cm in größter Ausdehnung |
| T4 | Tumor jeder Größe mit Infiltration benachbarter Organe (der Befall der Sphinktermuskulatur allein wird nicht als T4 klassifiziert)[2] |
| N0 | keine Lymphknotenmetastasen |
| N1–N3 | regionäre Lymphknotenmetastasen |
| M0 | kein Nachweis von Fernmetastasen |
| M1 | Nachweis von Fernmetastasen |
Therapie
Wenn die Ergebnisse der histologischen und gegebenenfalls bildgebenden Untersuchungen vorliegen, das Ausmaß und die Differenzierung des Analrandkarzinoms somit bekannt sind, kann – abhängig vom Diagnoseergebnis – die Behandlung erfolgen.[4] Das vollständige Herausschneiden des Tumors (Exzision) ist beim Analrandkarzinom die Methode der Wahl und Standardtherapie. Der Exzisionsrand muss dabei histologisch betrachtet tumorfrei sein. Bei der Entfernung des Karzinoms wird daher meist ein Sicherheitsabstand von 1 cm eingehalten. Ein Ziel der Operation ist es, die Stuhlkontinenz des Patienten zu erhalten. Ist dieses Ziel durch operative Maßnahmen gefährdet, so kann alternativ eine Strahlentherapie erfolgen.[24] In vielen Fällen kann die bei der Exzision entstehende Wunde offen bleiben oder direkt vernäht werden. Eine Lappenplastik ist daher meist nicht notwendig.[23]
Zusätzlich zur chirurgischen Entfernung kann die photodynamische Therapie (PDT) angewendet werden.[25] Die PDT kann auch zur Behandlung von perianalen intraepithelialen Neoplasien (Präkanzerosen) eingesetzt werden.[26][27]
Sind die regionären Lymphknoten befallen, so wird in den meisten Fällen eine radikale Lymphadenektomie (operative Entfernung der betroffenen Lymphknoten) durchgeführt. Unter Umständen können strahlentherapeutische Maßnahmen erfolgen.[28][29][23]
Analrandkarzinome der Klasse T3, die den Schließmuskelapparat infiltriert haben, oder der Klasse T4 (Befall anderer Organe) werden meist wie ein Analkanalkarzinom behandelt.[23]
Prognose
Aufgrund der geringen Häufigkeit der Erkrankung finden sich in der Literatur keine zuverlässigen Daten bezüglich Letalität und Überlebensrate. Wie bei den meisten Krebserkrankungen hängt die Prognose von den Faktoren Tumorgröße, Primär- oder Rezidivtumor, Ausbreitungsstadium, histologische Differenzierung und Immunstatus ab.[23]
Weiterführende Literatur
- D. Leonard, D. Beddy, E. J. Dozois: Neoplasms of anal canal and perianal skin. In: Clinics in Colon and Rectal Surgery. Band 24, Nummer 1, März 2011, S. 54–63, ISSN 1530-9681. doi:10.1055/s-0031-1272824. PMID 22379406. PMC 3140334 (freier Volltext).
- V. Wienert: Perianal squamous cell carcinoma. In: Journal der Deutschen Dermatologischen Gesellschaft. Band 4, Nummer 11, November 2006, S. 984–985, ISSN 1610-0387. doi:10.1111/j.1610-0387.2006.06096.x. PMID 17081276. (Review).
- G. Plewig, P. Thomas (Hrsg.): Fortschritte der praktischen Dermatologie und Venerologie 2006. Band 20, Gabler Wissenschaftsverlage, 2007, ISBN 3-540-30514-9, S. 774. eingeschränkte Vorschau in der Google-Buchsuche
- G. H. Hoffman: Perianal Cancers—Multimodality Treatment. In: Clinical Review. Band 38, Nummer 4, 2011.
- C. S. Nahas, O. Lin u. a.: Prevalence of perianal intraepithelial neoplasia in HIV-infected patients referred for high-resolution anoscopy. In: Diseases of the Colon and Rectum. Band 49, Nummer 10, Oktober 2006, S. 1581–1586, ISSN 0012-3706. doi:10.1007/s10350-006-0658-3. PMID 16977374.
Einzelnachweise
- ↑ a b c J. Shehan, J. F. Wang u. a.: Perianal squamous cell carcinoma in-situ: a report of two human papilloma virus-negative cases. In: Cases journal. Band 1, Nummer 1, 2008, S. 114, ISSN 1757-1626. doi:10.1186/1757-1626-1-114. PMID 18715505. PMC 2527493 (freier Volltext).
- ↑ a b c Peter Altmeyer: Eintrag zum Analkarzinom. in: Enzyklopädie der Dermatologie, Venerologie, Allergologie, Umweltmedizin. Springer-online, aufgerufen am 15. November 2018.
- ↑ W. Hartschuh, C. Breitkopf: Anale intraepitheliale Neoplasie (AIN) und perianale intraepitheliale Neoplasie (PAIN). (PDF) Leitlinie der Deutschen Dermatologischen Gesellschaft (DDG), Deutsche Gesellschaft für Koloproktologie (DGK), Entwicklungsstufe 1, Stand Juli 2009.
- ↑ a b c d e J. M. Mayer: Anus. In: N. T. Schwarz, K. H. Reutter: Allgemein- und Viszeralchirurgie. 6. Auflage, Georg Thieme Verlag, 2009, ISBN 3-13-159056-4, S. 267. eingeschränkte Vorschau in der Google-Buchsuche
- ↑ O. H. Beahrs, S. M. Wilson: Carcinoma of the anus. In: Annals of Surgery. Band 184, Nummer 4, Oktober 1976, S. 422–428, ISSN 0003-4932. PMID 189707. PMC 1345433 (freier Volltext).
- ↑ J. Papillon, J. L. Chassard: Respective roles of radiotherapy and surgery in the management of epidermoid carcinoma of the anal margin. Series of 57 patients. In: Diseases of the Colon and Rectum. Band 35, Nummer 5, Mai 1992, S. 422–429, ISSN 0012-3706. PMID 1568392.
- ↑ A. Ky, N. Sohn u. a.: Carcinoma arising in anorectal fistulas of Crohn's disease. In: Diseases of the Colon and Rectum. Band 41, Nummer 8, August 1998, S. 992–996, ISSN 0012-3706. PMID 9715154. (Review).
- ↑ G. Slater, A. Greenstein, A. H. Aufses: Anal carcinoma in patients with Crohn's disease. In: Annals of Surgery. Band 199, Nummer 3, März 1984, S. 348–350, ISSN 0003-4932. PMID 6703795. PMC 1353403 (freier Volltext).
- ↑ a b M. Frisch, C. Fenger u. a.: Variants of squamous cell carcinoma of the anal canal and perianal skin and their relation to human papillomaviruses. In: Cancer Research. Band 59, Nummer 3, Februar 1999, S. 753–757, ISSN 0008-5472. PMID 9973228.
- ↑ S. H. Lee, D. H. McGregor, M. N. Kuziez: Malignant transformation of perianal condyloma acuminatum: a case report with review of the literature. In: Diseases of the Colon and Rectum. Band 24, Nummer 6, September 1981, S. 462–467, ISSN 0012-3706. PMID 7273984.
- ↑ W. E. Longo, G. H. Ballantyne u. a.: Squamous cell carcinoma in situ in condyloma acuminatum. In: Diseases of the Colon and Rectum. Band 29, Nummer 8, August 1986, S. 503–506, ISSN 0012-3706. PMID 3731966.
- ↑ A. Yoneta, T. Yamashita u. a.: Development of squamous cell carcinoma by two high-risk human papillomaviruses (HPVs), a novel HPV-67 and HPV-31 from bowenoid papulosis. In: British Journal of Dermatology. Band 143, Nummer 3, September 2000, S. 604–608, ISSN 0007-0963. PMID 10971337.
- ↑ S. Fundarò, A. Spallanzani u. a.: Squamous-cell carcinoma developing within anal lichen planus: report of a case. In: Diseases of the Colon and Rectum. Band 41, Nummer 1, Januar 1998, S. 111–114, ISSN 0012-3706. PMID 9510320.
- ↑ T. Ishizawa, S. Koseki u. a.: Squamous cell carcinoma arising in chronic perianal pyoderma a case report and review of Japanese literature. In: The Journal of Dermatology. Band 27, Nummer 11, November 2000, S. 734–739, ISSN 0385-2407. PMID 11138541. (Review).
- ↑ M. Li, M. J. Hunt, C. A. Commens: Hidradenitis suppurativa, Dowling Degos disease and perianal squamous cell carcinoma. In: Australasian Journal of Dermatology. Band 38, Nummer 4, November 1997, S. 209–211, ISSN 0004-8380. PMID 9431718.
- ↑ V. K. Shukla, L. E. Hughes: A case of squamous cell carcinoma complicating hidradenitis suppurativa. In: European Journal of Surgical Oncology. Band 21, Nummer 1, Februar 1995, S. 106–109, ISSN 0748-7983. PMID 7851542. (Review).
- ↑ S. T. Williams, R. C. Busby u. a.: Perineal hidradenitis suppurativa: presentation of two unusual complications and a review. In: Annals of plastic surgery. Band 26, Nummer 5, Mai 1991, S. 456–462, ISSN 0148-7043. PMID 1952719. (Review).
- ↑ E. K. Derrick, C. M. Ridley u. a.: A clinical study of 23 cases of female anogenital carcinoma. In: The British journal of dermatology. Band 143, Nummer 6, Dezember 2000, S. 1217–1223, ISSN 0007-0963. PMID 11122024.
- ↑ P. J. Sloan, J. Goepel: Lichen sclerosus et atrophicus and perianal carcinoma: a case report. In: Clinical and experimental dermatology. Band 6, Nummer 4, Juli 1981, S. 399–402, ISSN 0307-6938. PMID 7307331.
- ↑ R. H. Thomas, C. M. Ridley u. a.: Anogenital lichen sclerosus in women. In: Journal of the Royal Society of Medicine. Band 89, Nummer 12, Dezember 1996, S. 694–698, ISSN 0141-0768. PMID 9014881. PMC 1296033 (freier Volltext).
- ↑ G. F. Hofbauer, R. Dummer u. a.: Skin cancers in organ transplant recipients: two cases of virus-induced neoplasms. In: Dermatology. Band 202, Nummer 4, 2001, S. 359–361, ISSN 1018-8665. PMID 11455161.
- ↑ J. H. Kim, B. Sarani u. a.: HIV-positive patients with anal carcinoma have poorer treatment tolerance and outcome than HIV-negative patients. In: Diseases of the Colon and Rectum. Band 44, Nummer 10, Oktober 2001, S. 1496–1502, ISSN 0012-3706. PMID 11598480.
- ↑ a b c d e f g h i V. Wienert: Analrandkarzinom. ( vom 19. Februar 2014 im Internet Archive) (PDF; 160 kB) Leitlinien der Deutschen Gesellschaft für Koloproktologie, Entwicklungsstufe S1, Stand Dezember 2002.
- ↑ K. H. Reutter: Chirurgie. Auflage 5, Georg Thieme Verlag, 2004, ISBN 3-13-126345-8, S. 156. eingeschränkte Vorschau in der Google-Buchsuche
- ↑ M. A. Runfola, T. K. Weber u. a.: Photodynamic therapy for residual neoplasms of the perianal skin. In: Diseases of the Colon and Rectum. Band 43, Nummer 4, April 2000, S. 499–502, ISSN 0012-3706. PMID 10789745.
- ↑ D. E. Beck, V. W. Fazio: Premalignant lesions of the anal margin. In: Southern medical journal. Band 82, Nummer 4, April 1989, S. 470–474, ISSN 0038-4348. PMID 2539650.
- ↑ N. J. Petrelli, J. A. Cebollero u. a.: Photodynamic therapy in the management of neoplasms of the perianal skin. In: Archives of surgery (Chicago, Ill. : 1960). Band 127, Nummer 12, Dezember 1992, S. 1436–1438, ISSN 0004-0010. PMID 1365690.
- ↑ D. K. Brown, A. B. Oglesby u. a.: Squamous cell carcinoma of the anus: a twenty-five year retrospective. In: The American surgeon. Band 54, Nummer 6, Juni 1988, S. 337–342, ISSN 0003-1348. PMID 2454044.
- ↑ R. D. James, R. S. Pointon, S. Martin: Local radiotherapy in the management of squamous carcinoma of the anus. In: British Journal of Surgery. Band 72, Nummer 4, April 1985, S. 282–285, ISSN 0007-1323. PMID 3986477.
Weblinks
- Squamous Cell Carcinoma of the Anal Margin. (englisch)